ARG54855
anti-HIPK3 antibody
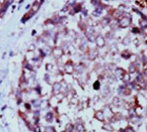
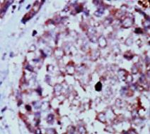
anti-HIPK3 antibody for IHC-Formalin-fixed paraffin-embedded sections,Western blot and Human
Cell Biology and Cellular Response antibody; Cell Death antibody; Gene Regulation antibody; Signaling Transduction antibody
Overview
| Product Description | Rabbit Polyclonal antibody recognizes HIPK3 |
|---|---|
| Tested Reactivity | Hu |
| Predict Reactivity | Ms, Rat |
| Tested Application | IHC-P, WB |
| Host | Rabbit |
| Clonality | Polyclonal |
| Isotype | IgG |
| Target Name | HIPK3 |
| Antigen Species | Human |
| Immunogen | KLH-conjugated synthetic peptide corresponding to aa. 1127-1156 (C-terminus) of Human HIPK3. |
| Conjugation | Un-conjugated |
| Alternate Names | FIST3; Fas-interacting serine/threonine-protein kinase; Androgen receptor-interacting nuclear protein kinase; YAK1; PKY; Homeodomain-interacting protein kinase 3; FIST; DYRK6; EC 2.7.11.1; Homolog of protein kinase YAK1; ANPK |
Application Instructions
| Application Suggestion |
|
||||||
|---|---|---|---|---|---|---|---|
| Application Note | * The dilutions indicate recommended starting dilutions and the optimal dilutions or concentrations should be determined by the scientist. |
Properties
| Form | Liquid |
|---|---|
| Purification | Purification with Protein G. |
| Buffer | PBS and 0.09% (W/V) Sodium azide |
| Preservative | 0.09% (W/V) Sodium azide |
| Storage Instruction | For continuous use, store undiluted antibody at 2-8°C for up to a week. For long-term storage, aliquot and store at -20°C or below. Storage in frost free freezers is not recommended. Avoid repeated freeze/thaw cycles. Suggest spin the vial prior to opening. The antibody solution should be gently mixed before use. |
| Note | For laboratory research only, not for drug, diagnostic or other use. |
Bioinformation
| Database Links |
Swiss-port # Q9H422 Human Homeodomain-interacting protein kinase 3 |
|---|---|
| Gene Symbol | HIPK3 |
| Gene Full Name | homeodomain interacting protein kinase 3 |
| Function | Serine/threonine-protein kinase involved in transcription regulation, apoptosis and steroidogenic gene expression. Phosphorylates JUN and RUNX2. Seems to negatively regulate apoptosis by promoting FADD phosphorylation. Enhances androgen receptor-mediated transcription. May act as a transcriptional corepressor for NK homeodomain transcription factors. The phosphorylation of NR5A1 activates SF1 leading to increased steroidogenic gene expression upon cAMP signaling pathway stimulation. In osteoblasts, supports transcription activation: phosphorylates RUNX2 that synergizes with SPEN/MINT to enhance FGFR2-mediated activation of the osteocalcin FGF-responsive element (OCFRE). [UniProt] |
| Cellular Localization | Cytoplasm. Nucleus |
| Research Area | Cell Biology and Cellular Response antibody; Cell Death antibody; Gene Regulation antibody; Signaling Transduction antibody |
| Calculated MW | 134 kDa |
| PTM | Autophosphorylated, but autophosphorylation is not required for catalytic activity. May be sumoylated. |
Images (1) Click the Picture to Zoom In
