ARG45897
anti-HLCS antibody
anti-HLCS antibody for Western blot,IHC-Formalin-fixed paraffin-embedded sections,Flow cytometry and Human,Mouse,Rat
Overview
| Product Description | Rabbit Polyclonal antibody recognizes HLCS |
|---|---|
| Tested Reactivity | Hu, Ms, Rat |
| Tested Application | FACS, IHC-P, WB |
| Host | Rabbit |
| Clonality | Polyclonal |
| Isotype | IgG |
| Target Name | HLCS |
| Antigen Species | Human |
| Immunogen | Recombinant protein containing to human HLCS. |
| Conjugation | Un-conjugated |
| Alternate Names | HLCS; Biotin--protein ligase; EC 6.3.4.-; Biotin apo-protein ligase [Includes: Biotin--[methylmalonyl-CoA-carboxytransferase] ligase; EC 6.3.4.9; Biotin--[propionyl-CoA-carboxylase [ATP-hydrolyzing]] ligase; EC 6.3.4.10; Holocarboxylase synthetase; HCS; Biotin--[methylcrotonoyl-CoA-carboxylase] ligase; EC 6.3.4.11; Biotin--[acetyl-CoA-carboxylase] ligase; EC 6.3.4.15] |
Application Instructions
| Application Suggestion |
|
||||||||
|---|---|---|---|---|---|---|---|---|---|
| Application Note | * The dilutions indicate recommended starting dilutions and the optimal dilutions or concentrations should be determined by the scientist. | ||||||||
| Observed Size | 81 kDa |
Properties
| Form | Liquid |
|---|---|
| Purification | Affinity chromatography purified |
| Buffer | 0.2% Na2HPO4, 0.9% NaCl and 4% Trehalose. |
| Stabilizer | 4% Trehalose |
| Concentration | 0.5 mg/ml |
| Storage Instruction | For continuous use, store undiluted antibody at 2-8°C for up to a week. For long-term storage, aliquot and store at -22°C or below. Storage in frost free freezers is not recommended. Avoid repeated freeze/thaw cycles. Suggest spin the vial prior to opening. The antibody solution should be gently mixed before use. |
| Note | For laboratory research only, not for drug, diagnostic or other use. |
Bioinformation
| Database Links | |
|---|---|
| Gene Symbol | HLCS |
| Gene Full Name | Holocarboxylase Synthetase |
| Background | This gene encodes an enzyme that catalyzes the binding of biotin to carboxylases and histones. The protein plays an important role in gluconeogenesis, fatty acid synthesis and branched chain amino acid catabolism. Defects in this gene are the cause of holocarboxylase synthetase deficiency. Multiple alternatively spliced variants, encoding the same protein, have been identified.[provided by RefSeq, Jun 2011] |
| Function | Biotin--protein ligase catalyzing the biotinylation of the 4 biotin-dependent carboxylases acetyl-CoA-carboxylase, pyruvate carboxylase, propionyl-CoA carboxylase, and methylcrotonyl-CoA carboxylase. [UniProt] |
| Cellular Localization | Cytoplasm; Mitochondrion. [UniProt] |
| Calculated MW | 81 kDa |
| PTM | Phosphoprotein. [UniProt] |
Images (5) Click the Picture to Zoom In
-
ARG45897 anti-HLCS antibody WB image
Western blot: HEL stained with ARG45897 anti-HLCS antibody at 0.5 μg/ml dilution.
-
ARG45897 anti-HLCS antibody FACS image
Flow Cytometry: RT4 stained with ARG45897 anti-HLCS antibody at 1 µg/10^6 cells dilution.
-
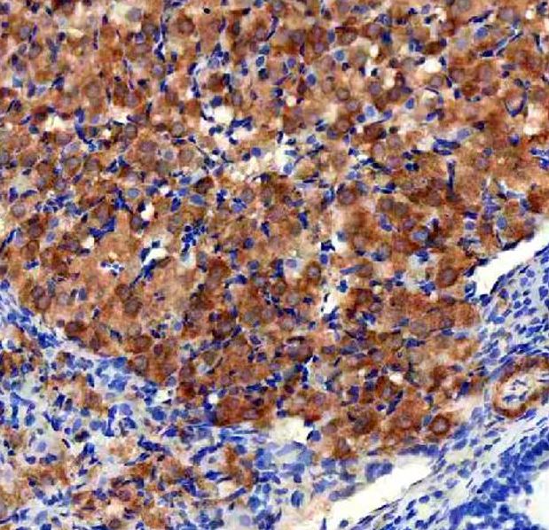
ARG45897 anti-HLCS antibody IHC-P image
Immunohistochemistry: Rat ovary stained with ARG45897 anti-HLCS antibody at 2 μg/ml dilution.
-
ARG45897 anti-HLCS antibody WB image
Western blot: Rat heart stained with ARG45897 anti-HLCS antibody at 0.5 μg/ml dilution.
-
ARG45897 anti-HLCS antibody WB image
Western blot: Mouse heart stained with ARG45897 anti-HLCS antibody at 0.5 μg/ml dilution.
