ARG41602
anti-HOXB9 antibody
anti-HOXB9 antibody for IHC-Formalin-fixed paraffin-embedded sections and Human
Overview
| Product Description | Rabbit Polyclonal antibody recognizes HOXB9 |
|---|---|
| Tested Reactivity | Hu |
| Predict Reactivity | Ms, Rat, Cow, Dog, Hrs, Pig, Rb |
| Tested Application | IHC-P |
| Host | Rabbit |
| Clonality | Polyclonal |
| Isotype | IgG |
| Target Name | HOXB9 |
| Antigen Species | Human |
| Immunogen | Synthetic peptide around the N-terminal region of Human HOXB9. (within the following region: SPHASGSLPSVYHPYIQPQGVPPAESRYLRTWLEPAPRGEAAPGQGQAAV) |
| Conjugation | Un-conjugated |
| Alternate Names | HOX2; Homeobox protein Hox-2.5; HOX2E; Homeobox protein Hox-2E; Homeobox protein Hox-B9; HOX-2.5 |
Application Instructions
| Predict Reactivity Note | Predicted Homology Based On Immunogen Sequence: Cow: 100%; Dog: 93%; Horse: 100%; Mouse: 79%; Pig: 100%; Rabbit: 100%; Rat: 79% | ||||
|---|---|---|---|---|---|
| Application Suggestion |
|
||||
| Application Note | * The dilutions indicate recommended starting dilutions and the optimal dilutions or concentrations should be determined by the scientist. | ||||
| Positive Control | Human fetal liver |
Properties
| Form | Liquid |
|---|---|
| Purification | Affinity purified. |
| Buffer | PBS, 0.09% (w/v) Sodium azide and 2% Sucrose. |
| Preservative | 0.09% (w/v) Sodium azide |
| Stabilizer | 2% Sucrose |
| Concentration | Batch dependent: 0.5 - 1 mg/ml |
| Storage Instruction | For continuous use, store undiluted antibody at 2-8°C for up to a week. For long-term storage, aliquot and store at -20°C or below. Storage in frost free freezers is not recommended. Avoid repeated freeze/thaw cycles. Suggest spin the vial prior to opening. The antibody solution should be gently mixed before use. |
| Note | For laboratory research only, not for drug, diagnostic or other use. |
Bioinformation
| Database Links | |
|---|---|
| Gene Symbol | HOXB9 |
| Gene Full Name | homeobox B9 |
| Background | This gene is a member of the Abd-B homeobox family and encodes a protein with a homeobox DNA-binding domain. It is included in a cluster of homeobox B genes located on chromosome 17. The encoded nuclear protein functions as a sequence-specific transcription factor that is involved in cell proliferation and differentiation. Increased expression of this gene is associated with some cases of leukemia, prostate cancer and lung cancer. [provided by RefSeq, Jul 2008] |
| Function | Sequence-specific transcription factor which is part of a developmental regulatory system that provides cells with specific positional identities on the anterior-posterior axis. [UniProt] |
| Cellular Localization | Nucleus. [UniProt] |
| Calculated MW | 28 kDa |
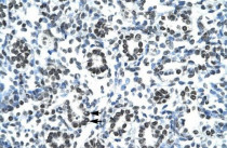
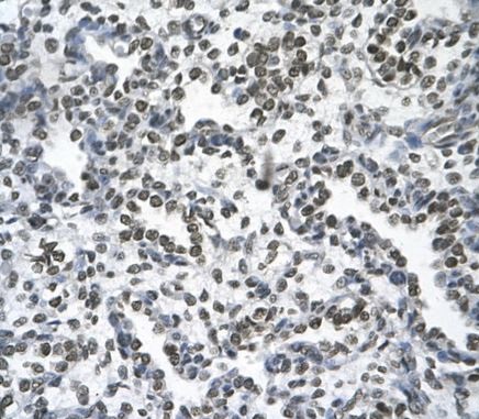
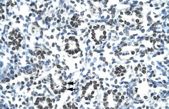
Images (3) Click the Picture to Zoom In
-
ARG41602 anti-HOXB9 antibody IHC-P image
Immunohistochemistry: Paraffin-embedded Human heart tissue stained with ARG41602 anti-HOXB9 antibody.
-
ARG41602 anti-HOXB9 antibody IHC-P image
Immunohistochemistry: Paraffin-embedded Human lung tissue stained with ARG41602 anti-HOXB9 antibody.
-
ARG41602 anti-HOXB9 antibody IHC-P image
Immunohistochemistry: Paraffin-embedded Human alveolar tissue (epithelial cells of renal tubule) stained with ARG41602 anti-HOXB9 antibody at 4 - 8 µg/ml dilution.
