ARG42162
anti-HOXC10 antibody
anti-HOXC10 antibody for IHC-Formalin-fixed paraffin-embedded sections,Western blot and Human,Mouse
Overview
| Product Description | Rabbit Polyclonal antibody recognizes HOXC10 |
|---|---|
| Tested Reactivity | Hu, Ms |
| Tested Application | IHC-P, WB |
| Host | Rabbit |
| Clonality | Polyclonal |
| Isotype | IgG |
| Target Name | HOXC10 |
| Antigen Species | Mouse |
| Immunogen | KLH-conjugated synthetic peptide between aa. 217-246 of Mouse HOXC10. |
| Conjugation | Un-conjugated |
| Alternate Names | HOX3I; Homeobox protein Hox-3I; Homeobox protein Hox-C10 |
Application Instructions
| Application Suggestion |
|
||||||
|---|---|---|---|---|---|---|---|
| Application Note | * The dilutions indicate recommended starting dilutions and the optimal dilutions or concentrations should be determined by the scientist. | ||||||
| Positive Control | HeLa | ||||||
| Observed Size | ~ 50 kDa |
Properties
| Form | Liquid |
|---|---|
| Purification | Purification with Protein A and immunogen peptide. |
| Buffer | PBS and 0.09% (W/V) Sodium azide. |
| Preservative | 0.09% (W/V) Sodium azide |
| Storage Instruction | For continuous use, store undiluted antibody at 2-8°C for up to a week. For long-term storage, aliquot and store at -20°C or below. Storage in frost free freezers is not recommended. Avoid repeated freeze/thaw cycles. Suggest spin the vial prior to opening. The antibody solution should be gently mixed before use. |
| Note | For laboratory research only, not for drug, diagnostic or other use. |
Bioinformation
| Database Links | |
|---|---|
| Gene Symbol | HOXC10 |
| Gene Full Name | homeobox C10 |
| Background | This gene belongs to the homeobox family of genes. The homeobox genes encode a highly conserved family of transcription factors that play an important role in morphogenesis in all multicellular organisms. Mammals possess four similar homeobox gene clusters, HOXA, HOXB, HOXC and HOXD, which are located on different chromosomes and consist of 9 to 11 genes arranged in tandem. This gene is one of several homeobox HOXC genes located in a cluster on chromosome 12. The protein level is controlled during cell differentiation and proliferation, which may indicate this protein has a role in origin activation. [provided by RefSeq, Jul 2008] |
| Function | Sequence-specific transcription factor which is part of a developmental regulatory system that provides cells with specific positional identities on the anterior-posterior axis. [UniProt] |
| Cellular Localization | Nucleus. [UniProt] |
| Calculated MW | 38 kDa |
Images (2) Click the Picture to Zoom In
-
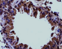
ARG42162 anti-HOXC10 antibody IHC-P image
Immunohistochemistry: Formalin-fixed and paraffin-embedded Mouse lung tissue stained with ARG42162 anti-HOXC10 antibody.
-
ARG42162 anti-HOXC10 antibody WB image
Western blot: 35 µg of HeLa cell lysate stained with ARG42162 anti-HOXC10 antibody at 1:1000 dilution.
