ARG42152
anti-HOXC8 antibody
anti-HOXC8 antibody for ICC/IF,IHC-Formalin-fixed paraffin-embedded sections,Western blot and Human,Mouse
Overview
| Product Description | Rabbit Polyclonal antibody recognizes HOXC8 |
|---|---|
| Tested Reactivity | Hu, Ms |
| Predict Reactivity | Cow, Rat, Dog, Hrs, Rb, Sheep, Zfsh |
| Tested Application | ICC/IF, IHC-P, WB |
| Host | Rabbit |
| Clonality | Polyclonal |
| Isotype | IgG |
| Target Name | HOXC8 |
| Antigen Species | Human |
| Immunogen | Synthetic peptide around the N-terminal region of Human HOXC8. (within the following region: SHALV YGPGG SAPGF QHASH HVQDF FHHGT SGISN SGYQQ NPCSL SCHGD) |
| Conjugation | Un-conjugated |
| Alternate Names | HOX3; HOX3A; Homeobox protein Hox-C8; Homeobox protein Hox-3A |
Application Instructions
| Predict Reactivity Note | Predicted Homology Based on Immunogen Sequence: Cow: 100%; Dog: 100%; Horse: 100%; Rabbit: 100%; Rat: 100%; Sheep: 100%; Zebrafish: 77% | ||||||||
|---|---|---|---|---|---|---|---|---|---|
| Application Suggestion |
|
||||||||
| Application Note | IHC-P: Antigen Retrieval: Heat mediation was performed. * The dilutions indicate recommended starting dilutions and the optimal dilutions or concentrations should be determined by the scientist. |
||||||||
| Positive Control | Human fetal muscle | ||||||||
| Observed Size | ~ 32 kDa |
Properties
| Form | Liquid |
|---|---|
| Purification | Affinity purified. |
| Buffer | PBS, 0.09% (w/v) Sodium azide and 2% Sucrose. |
| Preservative | 0.09% (w/v) Sodium azide |
| Stabilizer | 2% Sucrose |
| Concentration | Batch dependent: 0.5 - 1 mg/ml |
| Storage Instruction | For continuous use, store undiluted antibody at 2-8°C for up to a week. For long-term storage, aliquot and store at -20°C or below. Storage in frost free freezers is not recommended. Avoid repeated freeze/thaw cycles. Suggest spin the vial prior to opening. The antibody solution should be gently mixed before use. |
| Note | For laboratory research only, not for drug, diagnostic or other use. |
Bioinformation
| Database Links | |
|---|---|
| Gene Symbol | HOXC8 |
| Gene Full Name | homeobox C8 |
| Background | This gene belongs to the homeobox family of genes. The homeobox genes encode a highly conserved family of transcription factors that play an important role in morphogenesis in all multicellular organisms. Mammals possess four similar homeobox gene clusters, HOXA, HOXB, HOXC and HOXD, which are located on different chromosomes and consist of 9 to 11 genes arranged in tandem. This gene is one of several homeobox HOXC genes located in a cluster on chromosome 12. The product of this gene may play a role in the regulation of cartilage differentiation. It could also be involved in chondrodysplasias or other cartilage disorders. [provided by RefSeq, Jul 2008] |
| Function | Sequence-specific transcription factor which is part of a developmental regulatory system that provides cells with specific positional identities on the anterior-posterior axis. [UniProt] |
| Cellular Localization | Nucleus. [UniProt] |
| Calculated MW | 28 kDa |
Images (4) Click the Picture to Zoom In
-
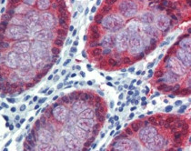
ARG42152 anti-HOXC8 antibody IHC-P image
Immunohistochemistry: Formalin-fixed and paraffin-embedded Human colon tissue. Antigen Retrieval: Heat mediation was performed. The tissue section was stained with ARG42152 anti-HOXC8 antibody at 5 µg/ml dilution.
-
ARG42152 anti-HOXC8 antibody WB image
Western blot: Human fetal muscle lysate stained with ARG42152 anti-HOXC8 antibody at 1 µg/ml dilution.
-
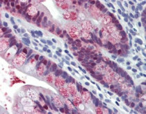
ARG42152 anti-HOXC8 antibody IHC-P image
Immunohistochemistry: Formalin-fixed and paraffin-embedded Human small intestine tissue. Antigen Retrieval: Heat mediation was performed. The tissue section was stained with ARG42152 anti-HOXC8 antibody at 5 µg/ml dilution.
-
ARG42152 anti-HOXC8 antibody IHC-P image
Immunohistochemistry: Paraffin-embedded Human colon tissue stained with ARG42152 anti-HOXC8 antibody at 5 µg/ml dilution.
