ARG42153
anti-HOXC9 antibody
anti-HOXC9 antibody for IHC-Formalin-fixed paraffin-embedded sections,Western blot and Human
Overview
| Product Description | Rabbit Polyclonal antibody recognizes HOXC9 |
|---|---|
| Tested Reactivity | Hu |
| Predict Reactivity | Ms, Rat, Cow, Dog, Goat, Hrs, Pig, Rb, Sheep |
| Tested Application | IHC-P, WB |
| Host | Rabbit |
| Clonality | Polyclonal |
| Isotype | IgG |
| Target Name | HOXC9 |
| Antigen Species | Human |
| Immunogen | Synthetic peptide around the middle region of Human HOXC9. (within the following region: DRAPQ TLPSP EADAL AGSKH KEEKA DLDPS NPVAN WIHAR STRKK RCPYT) |
| Conjugation | Un-conjugated |
| Alternate Names | HOX3; Homeobox protein Hox-3B; Homeobox protein Hox-C9; HOX3B |
Application Instructions
| Predict Reactivity Note | Predicted Homology Based on Immunogen Sequence: Cow: 100%; Dog: 100%; Goat: 100%; Horse: 100%; Mouse: 100%; Pig: 79%; Rabbit: 93%; Rat: 100%; Sheep: 100% | ||||||
|---|---|---|---|---|---|---|---|
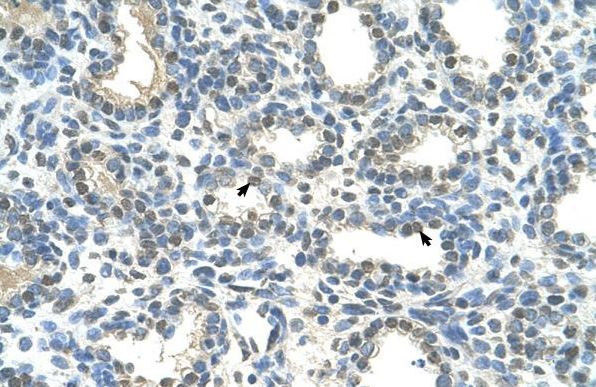
| Application Suggestion |
|
||||||
| Application Note | * The dilutions indicate recommended starting dilutions and the optimal dilutions or concentrations should be determined by the scientist. | ||||||
| Positive Control | Jurkat | ||||||
| Observed Size | ~ 31 kDa |
Properties
| Form | Liquid |
|---|---|
| Purification | Purification with Protein A. |
| Buffer | PBS, 0.09% (w/v) Sodium azide and 2% Sucrose. |
| Preservative | 0.09% (w/v) Sodium azide |
| Stabilizer | 2% Sucrose |
| Concentration | Batch dependent: 0.5 - 1 mg/ml |
| Storage Instruction | For continuous use, store undiluted antibody at 2-8°C for up to a week. For long-term storage, aliquot and store at -20°C or below. Storage in frost free freezers is not recommended. Avoid repeated freeze/thaw cycles. Suggest spin the vial prior to opening. The antibody solution should be gently mixed before use. |
| Note | For laboratory research only, not for drug, diagnostic or other use. |
Bioinformation
| Database Links | |
|---|---|
| Gene Symbol | HOXC9 |
| Gene Full Name | homeobox C9 |
| Background | This gene belongs to the homeobox family of genes. The homeobox genes encode a highly conserved family of transcription factors that play an important role in morphogenesis in all multicellular organisms. Mammals possess four similar homeobox gene clusters, HOXA, HOXB, HOXC and HOXD, which are located on different chromosomes and consist of 9 to 11 genes arranged in tandem. This gene is one of several homeobox HOXC genes located in a cluster on chromosome 12. [provided by RefSeq, Jul 2008] |
| Function | Sequence-specific transcription factor which is part of a developmental regulatory system that provides cells with specific positional identities on the anterior-posterior axis. [UniProt] |
| Cellular Localization | Nucleus. [UniProt] |
| Calculated MW | 29 kDa |
Images (2) Click the Picture to Zoom In
