ARG64708
anti-HOXD10 antibody
anti-HOXD10 antibody for IHC-Formalin-fixed paraffin-embedded sections,Western blot and Human
Gene Regulation antibody
Overview
| Product Description | Goat Polyclonal antibody recognizes HOXD10 |
|---|---|
| Tested Reactivity | Hu |
| Predict Reactivity | Ms, Rat, Cow, Hrs |
| Tested Application | IHC-P, WB |
| Host | Goat |
| Clonality | Polyclonal |
| Isotype | IgG |
| Target Name | HOXD10 |
| Antigen Species | Human |
| Immunogen | PNRSCRIEQPVTQQ |
| Conjugation | Un-conjugated |
| Alternate Names | Homeobox protein Hox-4E; Homeobox protein Hox-4D; HOX4; HOX4D; HOX4E; Hox-4.4; Homeobox protein Hox-D10 |
Application Instructions
| Application Suggestion |
|
||||||
|---|---|---|---|---|---|---|---|
| Application Note | IHC-P: Antigen Retrieval: Steam tissue section in Citrate buffer (pH 6.0). WB: Recommend incubate at RT for 1h. * The dilutions indicate recommended starting dilutions and the optimal dilutions or concentrations should be determined by the scientist. |
Properties
| Form | Liquid |
|---|---|
| Purification | Purified from goat serum by antigen affinity chromatography. |
| Buffer | Tris saline (pH 7.3), 0.02% Sodium azide and 0.5% BSA. |
| Preservative | 0.02% Sodium azide |
| Stabilizer | 0.5% BSA |
| Concentration | 0.5 mg/ml |
| Storage Instruction | For continuous use, store undiluted antibody at 2-8°C for up to a week. For long-term storage, aliquot and store at -20°C or below. Storage in frost free freezers is not recommended. Avoid repeated freeze/thaw cycles. Suggest spin the vial prior to opening. The antibody solution should be gently mixed before use. |
| Note | For laboratory research only, not for drug, diagnostic or other use. |
Bioinformation
| Database Links | |
|---|---|
| Background | This gene is a member of the Abd-B homeobox family and encodes a protein with a homeobox DNA-binding domain. It is included in a cluster of homeobox D genes located on chromosome 2. The encoded nuclear protein functions as a sequence-specific transcription factor that is expressed in the developing limb buds and is involved in differentiation and limb development. Mutations in this gene have been associated with Wilm's tumor and congenital vertical talus (also known as "rocker-bottom foot" deformity or congenital convex pes valgus) and/or a foot deformity resembling that seen in Charcot-Marie-Tooth disease. [provided by RefSeq, Jul 2008] |
| Research Area | Gene Regulation antibody |
| Calculated MW | 38 kDa |
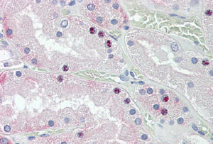
Images (2) Click the Picture to Zoom In
-
ARG64708 anti-HOXD10 antibody WB image
Western Blot: Human Kidney lysate (35 µg protein in RIPA buffer) stained with ARG64708 anti-HOXD10 antibody at 0.2 µg/ml dilution.
-
ARG64708 anti-HOXD10 antibody IHC-P image
Immunohistochemistry: paraffin embedded Human Kidney. (Steamed antigen retrieval with citrate buffer pH 6) stained with ARG64708 anti-HOXD10 antibody at 3.8 µg/ml dilution followed by AP-staining.
