ARG63877
anti-HP1 alpha antibody
anti-HP1 alpha antibody for Flow cytometry,IHC-Formalin-fixed paraffin-embedded sections,Western blot and Human,Mouse
Controls and Markers antibody; Gene Regulation antibody
Overview
| Product Description | Goat Polyclonal antibody recognizes HP1 alpha |
|---|---|
| Tested Reactivity | Hu, Ms |
| Predict Reactivity | Dog |
| Tested Application | FACS, IHC-P, WB |
| Specificity | Variants (NP_036249.1; NP_001120793.1; NP_001120794.1) encode the same protein. |
| Host | Goat |
| Clonality | Polyclonal |
| Isotype | IgG |
| Target Name | HP1 alpha |
| Antigen Species | Human |
| Immunogen | C-NKRKSNFSNSADDIK |
| Conjugation | Un-conjugated |
| Alternate Names | Heterochromatin protein 1 homolog alpha; Chromobox protein homolog 5; HP1; HP1 alpha; Antigen p25; HEL25; HP1A |
Application Instructions
| Application Suggestion |
|
||||||||
|---|---|---|---|---|---|---|---|---|---|
| Application Note | WB: Recommend incubate at RT for 1h. IHC-P: Antigen Retrieval: Steam tissue section in Citrate buffer (pH 6.0). * The dilutions indicate recommended starting dilutions and the optimal dilutions or concentrations should be determined by the scientist. |
Properties
| Form | Liquid |
|---|---|
| Purification | Purified from goat serum by antigen affinity chromatography. |
| Buffer | Tris saline (pH 7.3), 0.02% Sodium azide and 0.5% BSA. |
| Preservative | 0.02% Sodium azide |
| Stabilizer | 0.5% BSA |
| Concentration | 0.5 mg/ml |
| Storage Instruction | For continuous use, store undiluted antibody at 2-8°C for up to a week. For long-term storage, aliquot and store at -20°C or below. Storage in frost free freezers is not recommended. Avoid repeated freeze/thaw cycles. Suggest spin the vial prior to opening. The antibody solution should be gently mixed before use. |
| Note | For laboratory research only, not for drug, diagnostic or other use. |
Bioinformation
| Database Links | |
|---|---|
| Background | This gene encodes a highly conserved nonhistone protein, which is a member of the heterochromatin protein family. The protein is enriched in the heterochromatin and associated with centromeres. The protein has a single N-terminal chromodomain which can bind to histone proteins via methylated lysine residues, and a C-terminal chromo shadow-domain (CSD) which is responsible for the homodimerization and interaction with a number of chromatin-associated nonhistone proteins. The encoded product is involved in the formation of functional kinetochore through interaction with essential kinetochore proteins. The gene has a pseudogene located on chromosome 3. Multiple alternatively spliced variants, encoding the same protein, have been identified. [provided by RefSeq, Jul 2008] |
| Research Area | Controls and Markers antibody; Gene Regulation antibody |
| Calculated MW | 22 kDa |
| PTM | Phosphorylation of HP1 and LBR may be responsible for some of the alterations in chromatin organization and nuclear structure which occur at various times during the cell cycle (By similarity). Phosphorylated during interphase and possibly hyper-phosphorylated during mitosis. Ubiquitinated. |
Images (3) Click the Picture to Zoom In
-
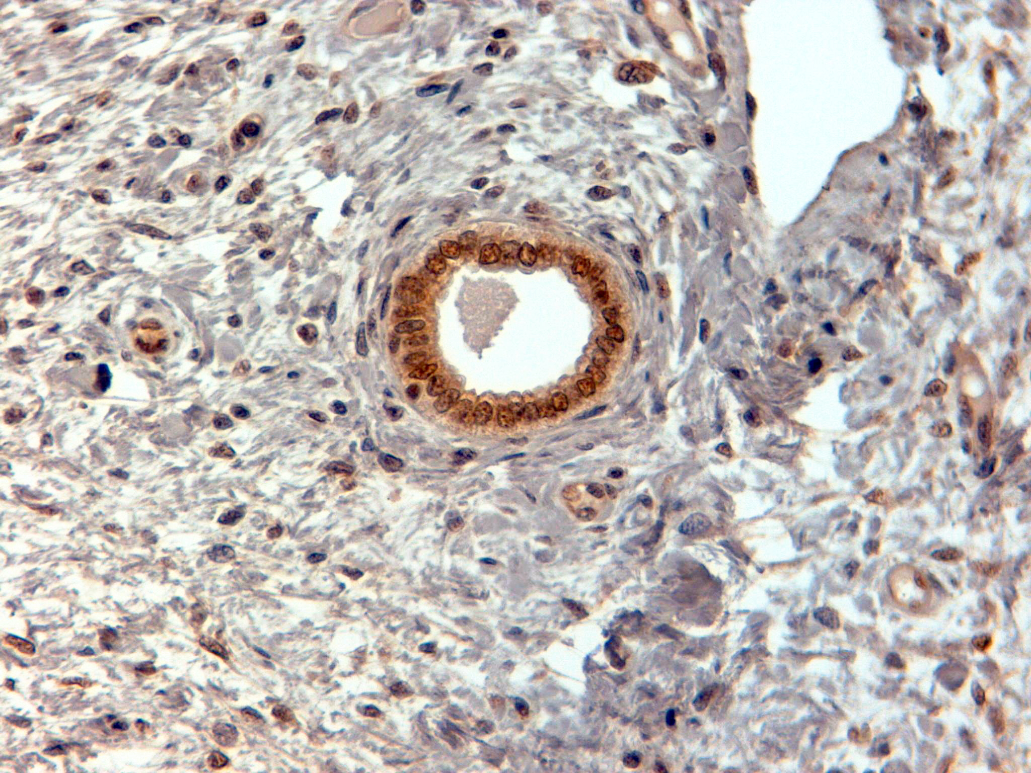
ARG63877 anti-HP1 alpha antibody IHC-P image
Immunohistochemistry: Paraffin-embedded Human uterus tissue. Antigen Retrieval: Steam tissue section in Citrate buffer (pH 6.0). The tissue section was stained with ARG63877 anti-HP1 alpha antibody at 2 µg/ml dilution followed by HRP-staining.
-
ARG63877 anti-HP1 alpha antibody WB image
Western blot: 35 µg of K562 (A), MCF7 (B) and NIH/3T3 (C) cell lysates (in RIPA buffer) stained with ARG63877 anti-HP1 alpha antibody at 0.1 µg/ml dilution and incubated at RT for 1 hour.
-
ARG63877 anti-HP1 alpha antibody FACS image
Flow Cytometry: Paraformaldehyde-fixed HeLa cells permeabilized with 0.5% Triton. Cells were stained with ARG63877 anti-HP1 alpha antibody (blue line) at 10 µg/ml dilution for 1 hour, followed by incubation with Alexa FluorR 488 labelled secondary antibody. IgG control: Unimmunized goat IgG (black line).
