ARG59578
anti-HPD antibody
anti-HPD antibody for IHC-Formalin-fixed paraffin-embedded sections,Western blot and Human,Mouse,Rat
Overview
| Product Description | Rabbit Polyclonal antibody recognizes HPD |
|---|---|
| Tested Reactivity | Hu, Ms, Rat |
| Tested Application | IHC-P, WB |
| Host | Rabbit |
| Clonality | Polyclonal |
| Isotype | IgG |
| Target Name | HPD |
| Antigen Species | Human |
| Immunogen | Recombinant fusion protein corresponding to aa. 1-393 of Human HPD (NP_002141.1). |
| Conjugation | Un-conjugated |
| Alternate Names | 4-hydroxyphenylpyruvic acid oxidase; 4-HPPD; HPPDase; HPPDASE; PPD; EC 1.13.11.27; GLOD3; 4-hydroxyphenylpyruvate dioxygenase; 4HPPD; HPD |
Application Instructions
| Application Suggestion |
|
||||||
|---|---|---|---|---|---|---|---|
| Application Note | * The dilutions indicate recommended starting dilutions and the optimal dilutions or concentrations should be determined by the scientist. | ||||||
| Positive Control | Rat kidney, Mouse kidney and HL-60 | ||||||
| Observed Size | 45 kDa |
Properties
| Form | Liquid |
|---|---|
| Purification | Affinity purified. |
| Buffer | PBS (pH 7.3), 0.02% Sodium azide and 50% Glycerol. |
| Preservative | 0.02% Sodium azide |
| Stabilizer | 50% Glycerol |
| Storage Instruction | For continuous use, store undiluted antibody at 2-8°C for up to a week. For long-term storage, aliquot and store at -20°C. Storage in frost free freezers is not recommended. Avoid repeated freeze/thaw cycles. Suggest spin the vial prior to opening. The antibody solution should be gently mixed before use. |
| Note | For laboratory research only, not for drug, diagnostic or other use. |
Bioinformation
| Database Links | |
|---|---|
| Gene Symbol | HPD |
| Gene Full Name | 4-hydroxyphenylpyruvate dioxygenase |
| Background | The protein encoded by this gene is an enzyme in the catabolic pathway of tyrosine. The encoded protein catalyzes the conversion of 4-hydroxyphenylpyruvate to homogentisate. Defects in this gene are a cause of tyrosinemia type 3 (TYRO3) and hawkinsinuria (HAWK). Two transcript variants encoding different isoforms have been found for this gene. [provided by RefSeq, Jan 2010] |
| Function | Key enzyme in the degradation of tyrosine. [UniProt] |
| Calculated MW | 45 kDa |
Images (3) Click the Picture to Zoom In
-
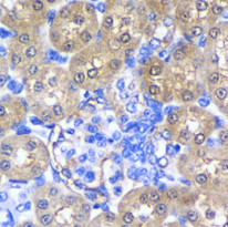
ARG59578 anti-HPD antibody IHC-P image
Immunohistochemistry: Paraffin-embedded Rat kidney stained with ARG59578 anti-HPD antibody at 1:100 dilution.
-
ARG59578 anti-HPD antibody WB image
Western blot: 25 µg of Rat kidney, Mouse kidney and HL-60 cell lysates stained with ARG59578 anti-HPD antibody at 1:1000 dilution.
-
ARG59578 anti-HPD antibody IHC-P image
Immunohistochemistry: Paraffin-embedded Mouse kidney stained with ARG59578 anti-HPD antibody at 1:100 dilution.
