ARG63454
anti-HPK1 / MAP4K1 antibody
anti-HPK1 / MAP4K1 antibody for IHC-Formalin-fixed paraffin-embedded sections,Western blot and Human
Signaling Transduction antibody
Overview
| Product Description | Goat Polyclonal antibody recognizes HPK1 / MAP4K1 |
|---|---|
| Tested Reactivity | Hu |
| Predict Reactivity | Ms, Rat, Cow, Dog, Pig |
| Tested Application | IHC-P, WB |
| Specificity | This antibody is expected to recognise isoform 1 (NP_001036065.1) and isoform 2 (NP_009112.1). |
| Host | Goat |
| Clonality | Polyclonal |
| Isotype | IgG |
| Target Name | HPK1 / MAP4K1 |
| Antigen Species | Human |
| Immunogen | DVVDPDIFNRDPR-C |
| Conjugation | Un-conjugated |
| Alternate Names | MAPK/ERK kinase kinase kinase 1; HPK1; Mitogen-activated protein kinase kinase kinase kinase 1; MEKKK 1; EC 2.7.11.1; Hematopoietic progenitor kinase; MEK kinase kinase 1 |
Application Instructions
| Application Suggestion |
|
||||||
|---|---|---|---|---|---|---|---|
| Application Note | WB: Recommend incubate at RT for 1h. IHC-P: Antigen Retrieval: Steam tissue section in Citrate buffer (pH 6.0). * The dilutions indicate recommended starting dilutions and the optimal dilutions or concentrations should be determined by the scientist. |
Properties
| Form | Liquid |
|---|---|
| Purification | Purified from goat serum by antigen affinity chromatography. |
| Buffer | Tris saline (pH 7.3), 0.02% Sodium azide and 0.5% BSA. |
| Preservative | 0.02% Sodium azide |
| Stabilizer | 0.5% BSA |
| Concentration | 0.5 mg/ml |
| Storage Instruction | For continuous use, store undiluted antibody at 2-8°C for up to a week. For long-term storage, aliquot and store at -20°C or below. Storage in frost free freezers is not recommended. Avoid repeated freeze/thaw cycles. Suggest spin the vial prior to opening. The antibody solution should be gently mixed before use. |
| Note | For laboratory research only, not for drug, diagnostic or other use. |
Bioinformation
| Database Links |
Swiss-port # Q92918 Human Mitogen-activated protein kinase kinase kinase kinase 1 |
|---|---|
| Gene Symbol | MAP4K1 |
| Gene Full Name | mitogen-activated protein kinase kinase kinase kinase 1 |
| Function | Serine/threonine-protein kinase, which may play a role in the response to environmental stress. Appears to act upstream of the JUN N-terminal pathway. May play a role in hematopoietic lineage decisions and growth regulation. Able to autophosphorylate. [UniProt] |
| Research Area | Signaling Transduction antibody |
| Calculated MW | 91 kDa |
| PTM | Autophosphorylates: phosphorylation promotes ubiquitination by the Cul7-RING(FBXW8) ubiquitin-protein ligase complex, leading to its degradation by the proteasome. Ubiquitinated by the Cul7-RING(FBXW8) ubiquitin-protein ligase complex following autophosphorylation, leading to its degradation by the proteasome. |
Images (2) Click the Picture to Zoom In
-
ARG63454 anti-HPK1 / MAP4K1 antibody WB image
Western Blot: Jurkat lysate (RIPA buffer, 35 µg total protein per lane) stained with ARG63454 anti-HPK1 / MAP4K1 antibody at 0.5 µg/ml dilution.
-
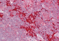
ARG63454 anti-HPK1 / MAP4K1 antibody IHC-P image
Immunohistochemistry: Paraffin-embedded Human thymus tissue. Antigen Retrieval: Steam tissue section in Citrate buffer (pH 6.0). The tissue section was stained with ARG63454 anti-HPK1 / MAP4K1 antibody at 2.5 µg/ml dilution followed by AP-staining.
