ARG63716
anti-HPS6 antibody
anti-HPS6 antibody for IHC-Formalin-fixed paraffin-embedded sections,Western blot and Human
Signaling Transduction antibody
Overview
| Product Description | Goat Polyclonal antibody recognizes HPS6 |
|---|---|
| Tested Reactivity | Hu |
| Predict Reactivity | Ms, Rat, Cow, Pig |
| Tested Application | IHC-P, WB |
| Host | Goat |
| Clonality | Polyclonal |
| Isotype | IgG |
| Target Name | HPS6 |
| Antigen Species | Human |
| Immunogen | LRTELRDYRGLEC |
| Conjugation | Un-conjugated |
| Alternate Names | Ru; Ruby-eye protein homolog; Hermansky-Pudlak syndrome 6 protein |
Application Instructions
| Application Suggestion |
|
||||||
|---|---|---|---|---|---|---|---|
| Application Note | WB: Recommend incubate at RT for 1h. IHC-P: Antigen Retrieval: Steam tissue section in Citrate buffer (pH 6.0). * The dilutions indicate recommended starting dilutions and the optimal dilutions or concentrations should be determined by the scientist. |
Properties
| Form | Liquid |
|---|---|
| Purification | Purified from goat serum by antigen affinity chromatography. |
| Buffer | Tris saline (pH 7.3), 0.02% Sodium azide and 0.5% BSA. |
| Preservative | 0.02% Sodium azide |
| Stabilizer | 0.5% BSA |
| Concentration | 0.5 mg/ml |
| Storage Instruction | For continuous use, store undiluted antibody at 2-8°C for up to a week. For long-term storage, aliquot and store at -20°C or below. Storage in frost free freezers is not recommended. Avoid repeated freeze/thaw cycles. Suggest spin the vial prior to opening. The antibody solution should be gently mixed before use. |
| Note | For laboratory research only, not for drug, diagnostic or other use. |
Bioinformation
| Database Links |
Swiss-port # Q86YV9 Human Hermansky-Pudlak syndrome 6 protein |
|---|---|
| Background | This intronless gene encodes a protein that may play a role in organelle biogenesis associated with melanosomes, platelet dense granules, and lysosomes. This protein interacts with Hermansky-Pudlak syndrome 5 protein. Mutations in this gene are associated with Hermansky-Pudlak syndrome type 6. [provided by RefSeq, Jul 2008] |
| Research Area | Signaling Transduction antibody |
| Calculated MW | 83 kDa |
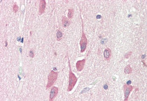
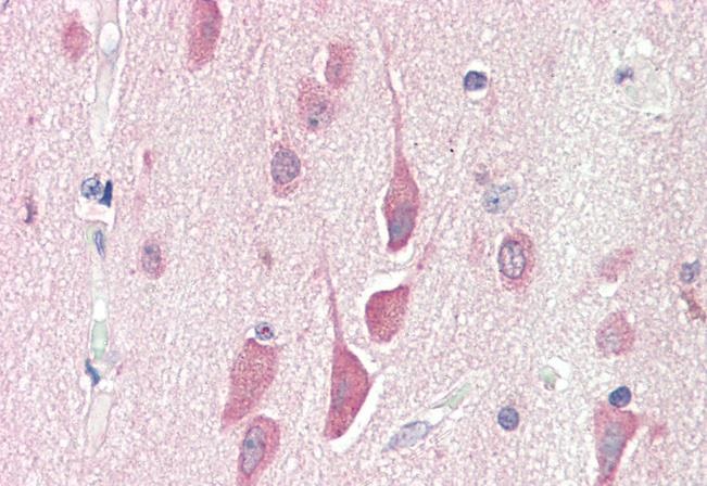
Images (2) Click the Picture to Zoom In
-
ARG63716 anti-HPS6 antibody WB image
Western Blot: Human Lung lysate (RIPA buffer, 30µg total protein per lane) stained with ARG63716 anti-HPS6 antibody at 1 µg/ml dilution.
-
ARG63716 anti-HPS6 antibody IHC-P image
Immunohistochemistry: Paraffin-embedded Human cortex tissue. Antigen Retrieval: Steam tissue section in Citrate buffer (pH 6.0). The tissue section was stained with ARG63716 anti-HPS6 antibody at 5 µg/ml dilution followed by AP-staining.
