ARG44504
anti-HSPA1L antibody
anti-HSPA1L antibody for Flow cytometry,ICC/IF,IHC-Formalin-fixed paraffin-embedded sections,Western blot and Human,Mouse,Rat
Overview
| Product Description | Rabbit Polyclonal antibody recognizes HSPA1L |
|---|---|
| Tested Reactivity | Hu, Ms, Rat |
| Tested Application | FACS, ICC/IF, IHC-P, WB |
| Host | Rabbit |
| Clonality | Polyclonal |
| Isotype | IgG |
| Target Name | HSPA1L |
| Antigen Species | Human |
| Immunogen | Human HSPA1L recombinant protein |
| Conjugation | Un-conjugated |
| Alternate Names | HSPA1L; Heat Shock Protein Family A (Hsp70) Member 1 Like; HSP70-HOM; Hum70t; Heat Shock 70 KDa Protein 1-Like; Heat Shock 70kDa Protein 1-Like; eat Shock 70 KDa Protein 1-Hom; Heat Shock 70kD Protein-Like 1; Heat Shock 70 KDa Protein 1L; Epididymis Secretory Sperm Binding Protein; Heat Shock 10kDa Protein 1-Like; HSP70-Hom; HSP70-1L; HSP70 |
Application Instructions
| Application Suggestion |
|
||||||||||
|---|---|---|---|---|---|---|---|---|---|---|---|
| Application Note | The dilutions indicate recommended starting dilutions and the optimal dilutions or concentrations should be determined by the scientist. |
Properties
| Form | Liquid |
|---|---|
| Purification | Affinity purified with Immunogen. |
| Buffer | 0.9% NaCl, 0.2% Na2HPO4, 0.05% Sodium azide and 4% Trehalose. |
| Preservative | 0.05% Sodium azide |
| Stabilizer | 4% Trehalose |
| Concentration | 0.5 mg/ml |
| Storage Instruction | For continuous use, store undiluted antibody at 2-8°C for up to a week. For long-term storage, aliquot and store at -20°C or below. Storage in frost free freezers is not recommended. Avoid repeated freeze/thaw cycles. Suggest spin the vial prior to opening. The antibody solution should be gently mixed before use. |
| Note | For laboratory research only, not for drug, diagnostic or other use. |
Bioinformation
| Database Links | |
|---|---|
| Gene Symbol | HSPA1L |
| Gene Full Name | Heat Shock Protein Family A (Hsp70) Member 1 Like |
| Background | This gene encodes a 70kDa heat shock protein. In conjunction with other heat shock proteins, this protein stabilizes existing proteins against aggregation and mediates the folding of newly translated proteins in the cytosol and in organelles. The gene is located in the major histocompatibility complex class III region, in a cluster with two closely related genes which also encode isoforms of the 70kDa heat shock protein. |
| Function | Molecular chaperone implicated in a wide variety of cellular processes, including protection of the proteome from stress, folding and transport of newly synthesized polypeptides, activation of proteolysis of misfolded proteins and the formation and dissociation of protein complexes. Plays a pivotal role in the protein quality control system, ensuring the correct folding of proteins, the re-folding of misfolded proteins and controlling the targeting of proteins for subsequent degradation. This is achieved through cycles of ATP binding, ATP hydrolysis and ADP release, mediated by co-chaperones. The affinity for polypeptides is regulated by its nucleotide bound state. In the ATP-bound form, it has a low affinity for substrate proteins. However, upon hydrolysis of the ATP to ADP, it undergoes a conformational change that increases its affinity for substrate proteins. It goes through repeated cycles of ATP hydrolysis and nucleotide exchange, which permits cycles of substrate binding and release. |
| Calculated MW | 70 kDa |
Images (6) Click the Picture to Zoom In
-
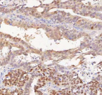
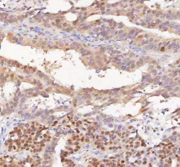
ARG44504 anti-HSPA1L antibody IHC-P image
Immunohistochemistry: Human ovarian cancer stained with ARG44504 anti-HSPA1L antibody at 2 μg/mL dilution.
-
ARG44504 anti-HSPA1L antibody ICC/IF image
Immunofluorescence: HeLa stained with ARG44504 anti-HSPA1L antibody at 5 μg/mL dilution.
-
ARG44504 anti-HSPA1L antibody WB image
Western blot: Hela and HepG2 stained with ARG44504 anti-HSPA1L antibody at 0.5 μg/mL dilution.
-
ARG44504 anti-HSPA1L antibody FACS image
Flow Cytometry: HepG2 stained with ARG44504 anti-HSPA1L antibody at 1 μg/10^6 cells dilution.
-
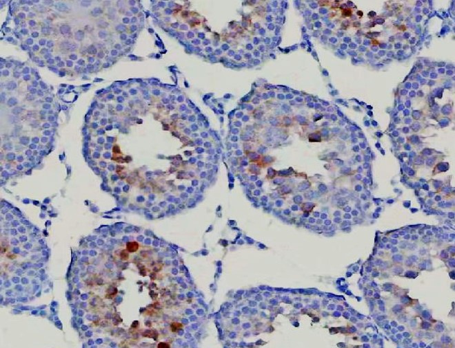
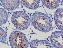
ARG44504 anti-HSPA1L antibody IHC-P image
Immunohistochemistry: Rat testis stained with ARG44504 anti-HSPA1L antibody at 2 μg/mL dilution.
-
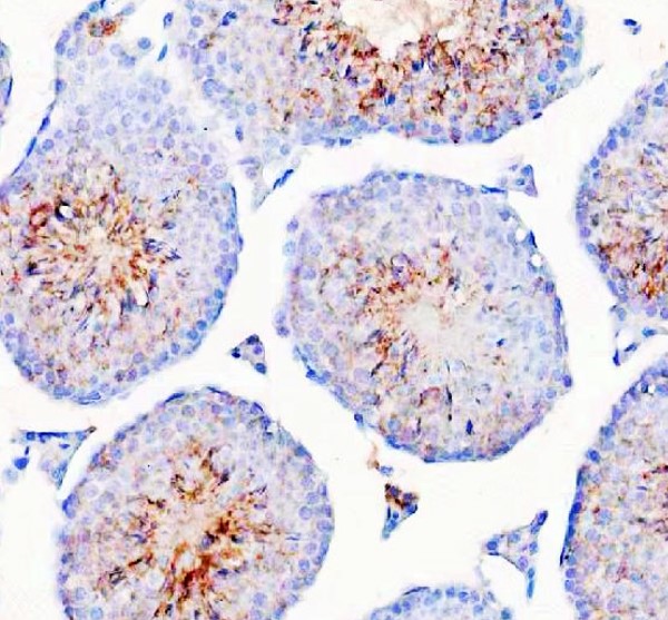
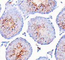
ARG44504 anti-HSPA1L antibody IHC-P image
Immunohistochemistry: Mouse testis stained with ARG44504 anti-HSPA1L antibody at 2 μg/mL dilution.
