ARG46730
anti-Hemoglobin Alpha Chain antibody
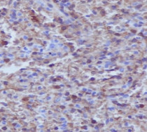
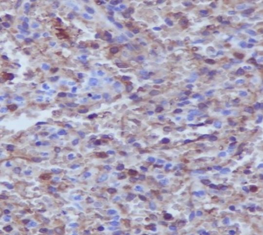
anti-Hemoglobin Alpha Chain antibody for IHC-Formalin-fixed paraffin-embedded sections,Western blot and Human,Mouse,Rat
Overview
| Product Description | Rabbit Monoclonal antibody recognizes Hemoglobin Alpha Chain |
|---|---|
| Tested Reactivity | Hu, Ms, Rat |
| Tested Application | IHC-P, WB |
| Host | Rabbit |
| Clonality | Monoclonal |
| Isotype | IgG |
| Target Name | Hemoglobin Alpha Chain |
| Antigen Species | Human |
| Immunogen | Synthetic peptide derived from human hemoglobin alpha chain protein. |
| Conjugation | Un-conjugated |
| Alternate Names | HBA-T3; Alpha-globin; HBH; Hemoglobin subunit alpha; Hemoglobin alpha chain |
Application Instructions
| Application Suggestion |
|
||||||
|---|---|---|---|---|---|---|---|
| Application Note | * The dilutions indicate recommended starting dilutions and the optimal dilutions or concentrations should be determined by the scientist. |
Properties
| Form | Liquid |
|---|---|
| Purification | Affinity chromatography purified |
| Buffer | PBS, 150 mM Sodium chloride, 0.02% Sodium azide, 0.05% BSA and 50% Glycerol. |
| Preservative | 0.02% Sodium azide |
| Stabilizer | 0.05% BSA and 50% Glycerol |
| Storage Instruction | For continuous use, store undiluted antibody at 2-8°C for up to a week. For long-term storage, aliquot and store at -20°C or below. Storage in frost free freezers is not recommended. Avoid repeated freeze/thaw cycles. Suggest spin the vial prior to opening. The antibody solution should be gently mixed before use. |
| Note | For laboratory research only, not for drug, diagnostic or other use. |
Bioinformation
| Database Links | |
|---|---|
| Gene Symbol | HBA1 |
| Background | Hemoglobin A, A2, and F are the three major forms of hemoglobin in human. Hemoglobin is a heterotetramer of two alpha chains and two beta chains in adult hemoglobin A (HbA); two alpha chains and two delta chains in adult hemoglobin A2 (HbA2); two alpha chains and two gamma chains in fetal hemoglobin F (HbF). Antibody against hemoglobin alpha chain can recognize all three forms of hemoglobins (A, A2, and F). Hemoglobin can be used as an erythroid marker for the detection of immature, dysplastic, and megaloblastic erythroid cells in various hemopoietic disorders and hemoglobinopathies. |
| Function | Involved in oxygen transport from the lung to the various peripheral tissues. [UniProt] |
| Cellular Localization | Cytoplasm |
| Calculated MW | 15 kDa |
| PTM | The initiator Met is not cleaved in variant Thionville and is acetylated. |
Images (2) Click the Picture to Zoom In
