ARG41902
anti-Hepatocyte / Hep Par-1 antibody [HepPar1]
anti-Hepatocyte / Hep Par-1 antibody [HepPar1] for ICC/IF,IHC-Formalin-fixed paraffin-embedded sections and Human
Overview
| Product Description | Mouse Monoclonal antibody [HepPar1] recognizes Hepatocyte / Hep Par-1 |
|---|---|
| Tested Reactivity | Hu |
| Tested Application | ICC/IF, IHC-P |
| Host | Mouse |
| Clonality | Monoclonal |
| Clone | HepPar1 |
| Isotype | IgG1, kappa |
| Target Name | Hepatocyte / Hep Par-1 |
| Antigen Species | Human |
| Immunogen | Extract of a formalin-fixed, rejected-allograft of a Human liver. |
| Conjugation | Un-conjugated |
Application Instructions
| Application Suggestion |
|
||||||
|---|---|---|---|---|---|---|---|
| Application Note | * The dilutions indicate recommended starting dilutions and the optimal dilutions or concentrations should be determined by the scientist. |
Properties
| Form | Liquid |
|---|---|
| Purification | Purification with Protein G. |
| Buffer | PBS, 0.05% Sodium azide and 0.1 mg/ml BSA. |
| Preservative | 0.05% Sodium azide |
| Stabilizer | 0.1 mg/ml BSA |
| Concentration | 0.2 mg/ml |
| Storage Instruction | For continuous use, store undiluted antibody at 2-8°C for up to a week. For long-term storage, aliquot and store at -20°C or below. Storage in frost free freezers is not recommended. Avoid repeated freeze/thaw cycles. Suggest spin the vial prior to opening. The antibody solution should be gently mixed before use. |
| Note | For laboratory research only, not for drug, diagnostic or other use. |
Images (2) Click the Picture to Zoom In
-
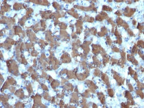
ARG41902 anti-Hepatocyte / Hep Par-1 antibody [HepPar1] IHC-P image
Immunohistochemistry: Formalin-fixed and paraffin-embedded Human hepatocellular carcinoma stained with ARG41902 anti-Hepatocyte / Hep Par-1 antibody [HepPar1].
-
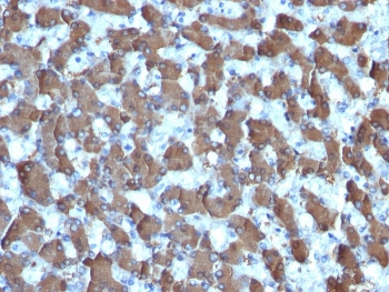
ARG41902 anti-Hepatocyte / Hep Par-1 antibody [HepPar1] IHC-P image
Immunohistochemistry: Formalin-fixed and paraffin-embedded Human liver tissue stained with ARG41902 anti-Hepatocyte / Hep Par-1 antibody [HepPar1].
