ARG57226
anti-Histone H2A.Z antibody [RM215]
anti-Histone H2A.Z antibody [RM215] for ICC/IF,Western blot and Human
Overview
| Product Description | Rabbit Monoclonal antibody [RM215] recognizes Histone H2A.Z |
|---|---|
| Tested Reactivity | Hu |
| Tested Application | ICC/IF, WB |
| Specificity | This antibody reacts to Histone H2AZ protein, independent of post-translational modifications. No cross reactivity with other histone proteins. |
| Host | Rabbit |
| Clonality | Monoclonal |
| Clone | RM215 |
| Isotype | IgG |
| Target Name | Histone H2A.Z |
| Antigen Species | Human |
| Immunogen | Synthetic peptide around the C-terminus of Human Histone H2AZ. |
| Conjugation | Un-conjugated |
| Alternate Names | H2A/z; H2A.Z-1; H2AZ; Histone H2A.Z; H2A.z |
Application Instructions
| Application Suggestion |
|
||||||
|---|---|---|---|---|---|---|---|
| Application Note | * The dilutions indicate recommended starting dilutions and the optimal dilutions or concentrations should be determined by the scientist. |
Properties
| Form | Liquid |
|---|---|
| Purification | Purification with Protein A. |
| Buffer | PBS, 0.09% Sodium azide, 50% Glycerol and 1% BSA. |
| Preservative | 0.09% Sodium azide |
| Stabilizer | 50% Glycerol and 1% BSA |
| Concentration | 1 mg/ml |
| Storage Instruction | For continuous use, store undiluted antibody at 2-8°C for up to a week. For long-term storage, aliquot and store at -20°C. Storage in frost free freezers is not recommended. Avoid repeated freeze/thaw cycles. Suggest spin the vial prior to opening. The antibody solution should be gently mixed before use. |
| Note | For laboratory research only, not for drug, diagnostic or other use. |
Bioinformation
| Database Links | |
|---|---|
| Gene Symbol | H2AFZ |
| Gene Full Name | H2A histone family, member Z |
| Background | Histones are basic nuclear proteins that are responsible for the nucleosome structure of the chromosomal fiber in eukaryotes. Nucleosomes consist of approximately 146 bp of DNA wrapped around a histone octamer composed of pairs of each of the four core histones (H2A, H2B, H3, and H4). The chromatin fiber is further compacted through the interaction of a linker histone, H1, with the DNA between the nucleosomes to form higher order chromatin structures. This gene encodes a replication-independent member of the histone H2A family that is distinct from other members of the family. Studies in mice have shown that this particular histone is required for embryonic development and indicate that lack of functional histone H2A leads to embryonic lethality. [provided by RefSeq, Jul 2008] |
| Function | Variant histone H2A which replaces conventional H2A in a subset of nucleosomes. Nucleosomes wrap and compact DNA into chromatin, limiting DNA accessibility to the cellular machineries which require DNA as a template. Histones thereby play a central role in transcription regulation, DNA repair, DNA replication and chromosomal stability. DNA accessibility is regulated via a complex set of post-translational modifications of histones, also called histone code, and nucleosome remodeling. May be involved in the formation of constitutive heterochromatin. May be required for chromosome segregation during cell division. [UniProt] |
| Highlight | Related products: Anti-Rabbit IgG secondary antibodies; Related poster download: Organelle Markers & Loading Control |
| Calculated MW | 14 kDa |
| PTM | Monoubiquitination of Lys-122 gives a specific tag for epigenetic transcriptional repression. Acetylated on Lys-5, Lys-8 and Lys-12 during interphase. Acetylation disappears at mitosis (By similarity). Monomethylated on Lys-5 and Lys-8 by SETD6. SETD6 predominantly methylates Lys-8, lys-5 being a possible secondary site. Not phosphorylated. |
Images (2) Click the Picture to Zoom In
-
ARG57226 anti-Histone H2A.Z antibody [RM215] ICC/IF image
Immunofluorescence: HeLa cells stained with ARG57226 anti-Histone H2A.Z antibody [RM215] (red). Actin filaments have been labeled with fluorescein phalloidin (green).
-
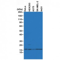
ARG57226 anti-Histone H2A.Z antibody [RM215] WB image
Western blot: A375, HEK293, HeLa and SK-MEL-2 whole cell lysates, stained with ARG57226 anti-Histone H2A.Z antibody [RM215] at 0.5 µg/ml.
