ARG44839
anti-Histone H2B type 2-K1 antibody
anti-Histone H2B type 2-K1 antibody for IHC-Formalin-fixed paraffin-embedded sections,Immunoprecipitation and Human
Overview
| Product Description | Mouse Monoclonal antibody recognizes Histone H2B type 2-K1 |
|---|---|
| Tested Reactivity | Hu |
| Tested Application | IHC-P, IP |
| Host | Mouse |
| Clonality | Monoclonal |
| Isotype | IgG1 |
| Target Name | Histone H2B type 2-K1 |
| Antigen Species | Human |
| Epitope | GTKAVTKYTS |
| Conjugation | Un-conjugated |
| Alternate Names | H2BK1; H2B.K Variant Histone 1; H2BE1 H2B.E Variant Histone 1; Histone H2B Type 2-K1; Histone H2B Type 2-E1; Novel Histone H2B-Like Protein |
Application Instructions
| Application Suggestion |
|
||||||
|---|---|---|---|---|---|---|---|
| Application Note | * The dilutions indicate recommended starting dilutions and the optimal dilutions or concentrations should be determined by the scientist. |
Properties
| Form | Liquid |
|---|---|
| Purification | Protein A purification |
| Buffer | PBS with 0.09% sodium azide |
| Preservative | 0.09% sodium azide |
| Storage Instruction | For continuous use, store undiluted antibody at 2-8°C for up to a week. For long-term storage, aliquot and store at -20°C or below. Storage in frost free freezers is not recommended. Avoid repeated freeze/thaw cycles. Suggest spin the vial prior to opening. The antibody solution should be gently mixed before use. |
| Note | For laboratory research only, not for drug, diagnostic or other use. |
Bioinformation
| Gene Symbol | H2BK1 |
|---|---|
| Gene Full Name | H2B.K Variant Histone 1 |
| Background | Predicted to enable DNA binding activity. Predicted to be involved in nucleosome assembly. Predicted to be located in nucleus. Predicted to be part of nucleosome. [provided by Alliance of Genome Resources, Apr 2022] |
| Function | Core component of nucleosome. Nucleosomes wrap and compact DNA into chromatin, limiting DNA accessibility to the cellular machineries which require DNA as a template. Histones thereby play a central role in transcription regulation, DNA repair, DNA replication and chromosomal stability. DNA accessibility is regulated via a complex set of post-translational modifications of histones, also called histone code, and nucleosome remodeling. [UniProt] |
| Cellular Localization | Chromosome, Nucleosome core, Nucleus. [UniProt] |
| PTM | Glycoprotein, Hydroxylation, Isopeptide bond, Methylation, Phosphoprotein, Ubl conjugation. [UniProt] |
Images (2) Click the Picture to Zoom In
-
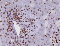
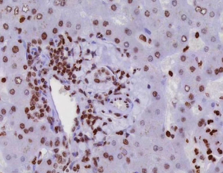
ARG44839 anti-Histone H2B type 2-K1 antibody IHC-P image
Immunohistochemistry: Human liver stained with ARG44839 anti-Histone H2B type 2-K1 antibody at 3.7 µg/mL dilution.
-
ARG44839 anti-Histone H2B type 2-K1 antibody IP image
Immunoprecipitation: lysate immunoprecipitated with 2.5 µg of ARG44839 anti-Histone H2B type 2-K1 antibody.
