ARG45043
anti-Histone H3.3 (G34R Mutant) antibody [RM240]
anti-Histone H3.3 (G34R Mutant) antibody [RM240] for ELISA,IHC-Formalin-fixed paraffin-embedded sections,Western blot and Human
Overview
| Product Description | Rabbit monoclonal antibody [RM240] recognizes Histone H3.3 G34R; Histone H3.3 G34R Mutant |
|---|---|
| Tested Reactivity | Hu |
| Tested Application | ELISA, IHC-P, WB |
| Host | Rabbit |
| Clonality | Monoclonal |
| Clone | RM240 |
| Isotype | IgG |
| Target Name | Histone H3.3 (G34R Mutant) |
| Conjugation | Un-conjugated |
Application Instructions
| Application Suggestion |
|
||||||||
|---|---|---|---|---|---|---|---|---|---|
| Application Note | * The dilutions indicate recommended starting dilutions and the optimal dilutions or concentrations should be determined by the scientist. |
Properties
| Form | Liquid |
|---|---|
| Purification | Protein A affinity purified. |
| Buffer | PBS with 50% Glycerol, 1% BSA and 0.09% sodium azide |
| Preservative | 0.09% sodium azide |
| Stabilizer | 50% Glycerol, 1% BSA and 0.09% |
| Concentration | 1 mg/ml |
| Storage Instruction | For continuous use, store undiluted antibody at 2-8°C for up to a week. For long-term storage, aliquot and store at -20°C or below. Storage in frost free freezers is not recommended. Avoid repeated freeze/thaw cycles. Suggest spin the vial prior to opening. The antibody solution should be gently mixed before use. |
| Note | For laboratory research only, not for drug, diagnostic or other use. |
Bioinformation
| Database Links |
|---|
Images (2) Click the Picture to Zoom In
-
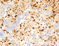
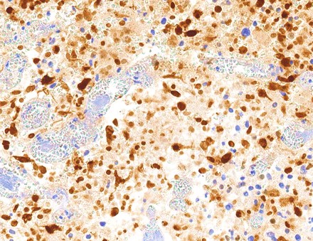
ARG45043 anti-Histone H3.3 (G34R Mutant) antibody [RM240] IHC-P image
Immunohistochemistry: Human Glioblastoma tumor tissues stained with ARG45043 anti-Histone H3.3 (G34R Mutant) antibody [RM240].
-
ARG45043 anti-Histone H3.3 (G34R Mutant) antibody [RM240] WB image
Western blot: G34R mutant transfected 293T stained with ARG45043 anti-Histone H3.3 (G34R Mutant) antibody [RM240].
