ARG67283
anti-Histone H4 antibody [1A02]
anti-Histone H4 antibody [1A02] for ICC/IF,IHC-Formalin-fixed paraffin-embedded sections,Western blot and Human,Mouse,Rat
Gene Regulation antibody
Overview
| Product Description | Rabbit Monoclonal antibody [1A02] recognizes Histone H4 |
|---|---|
| Tested Reactivity | Hu, Ms, Rat |
| Tested Application | ICC/IF, IHC-P, WB |
| Host | Rabbit |
| Clonality | Monoclonal |
| Clone | 1A02 |
| Isotype | IgG,Kappa |
| Target Name | Histone H4 |
| Conjugation | Un-conjugated |
| Alternate Names | H4/p; Histone H4 |
Application Instructions
| Application Suggestion |
|
||||||||
|---|---|---|---|---|---|---|---|---|---|
| Application Note | * The dilutions indicate recommended starting dilutions and the optimal dilutions or concentrations should be determined by the scientist. |
Properties
| Form | Liquid |
|---|---|
| Purification | Purification with Protein A |
| Buffer | PBS, 0.05% Proclin 300, 50% Glycerol and 0.05% BSA |
| Preservative | 0.05% Proclin 300 |
| Stabilizer | 50% Glycerol and 0.05% BSA |
| Storage Instruction | For continuous use, store undiluted antibody at 2-8°C for up to a week. For long-term storage, aliquot and store at -20°C. Storage in frost free freezers is not recommended. Avoid repeated freeze/thaw cycles. Suggest spin the vial prior to opening. The antibody solution should be gently mixed before use. |
| Note | For laboratory research only, not for drug, diagnostic or other use. |
Bioinformation
| Database Links | |
|---|---|
| Gene Symbol | HIST4H4 |
| Gene Full Name | histone cluster 4, H4 |
| Background | Histones are basic nuclear proteins that are responsible for the nucleosome structure of the chromosomal fiber in eukaryotes. Nucleosomes consist of approximately 146 bp of DNA wrapped around a histone octamer composed of pairs of each of the four core histones (H2A, H2B, H3, and H4). The chromatin fiber is further compacted through the interaction of a linker histone, H1, with the DNA between the nucleosomes to form higher order chromatin structures. This gene is intronless and encodes a member of the histone H4 family. Transcripts from this gene lack polyA tails; instead, they contain a palindromic termination element. [provided by RefSeq, Jul 2008] |
| Highlight | Related products: Histone H4 antibodies; Anti-Rabbit IgG secondary antibodies; |
| Research Area | Gene Regulation antibody |
| Calculated MW | 11 kDa |
| PTM | Acetylation at Lys-6 (H4K5ac), Lys-9 (H4K8ac), Lys-13 (H4K12ac) and Lys-17 (H4K16ac) occurs in coding regions of the genome but not in heterochromatin. Citrullination at Arg-4 (H4R3ci) by PADI4 impairs methylation. Monomethylation and asymmetric dimethylation at Arg-4 (H4R3me1 and H4R3me2a, respectively) by PRMT1 favors acetylation at Lys-9 (H4K8ac) and Lys-13 (H4K12ac). Demethylation is performed by JMJD6. Symmetric dimethylation on Arg-4 (H4R3me2s) by the PRDM1/PRMT5 complex may play a crucial role in the germ-cell lineage. Monomethylated, dimethylated or trimethylated at Lys-21 (H4K20me1, H4K20me2, H4K20me3). Monomethylation is performed by SET8. Trimethylation is performed by KMT5B and KMT5C and induces gene silencing. Phosphorylated by PAK2 at Ser-48 (H4S47ph). This phosphorylation increases the association of H3.3-H4 with the histone chaperone HIRA, thus promoting nucleosome assembly of H3.3-H4 and inhibiting nucleosome assembly of H3.1-H4. Ubiquitinated by the CUL4-DDB-RBX1 complex in response to ultraviolet irradiation. This may weaken the interaction between histones and DNA and facilitate DNA accessibility to repair proteins. Monoubiquitinated at Lys-92 of histone H4 (H4K91ub1) in response to DNA damage. The exact role of H4K91ub1 in DNA damage response is still unclear but it may function as a licensing signal for additional histone H4 post-translational modifications such as H4 Lys-21 methylation (H4K20me). Sumoylated, which is associated with transcriptional repression. Crotonylation (Kcr) is specifically present in male germ cells and marks testis-specific genes in post-meiotic cells, including X-linked genes that escape sex chromosome inactivation in haploid cells. Crotonylation marks active promoters and enhancers and confers resistance to transcriptional repressors. It is also associated with post-meiotically activated genes on autosomes. |
Images (5) Click the Picture to Zoom In
-
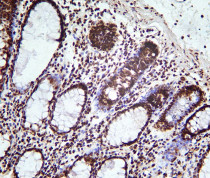
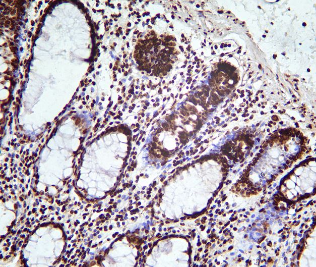
ARG67283 anti-Histone H4 antibody [1A02] IHC-P image
Immunohistochemistry: Human colon stained with ARG67283 anti-Histone H4 antibody [1A02].
-
ARG67283 anti-Histone H4 antibody [1A02] ICC/IF image
Immunofluorescence: Rat heart stained with ARG67283 anti-Histone H4 antibody [1A02].
-
ARG67283 anti-Histone H4 antibody [1A02] WB image
Western blot: Hela stained with ARG67283 anti-Histone H4 antibody [1A02].
-
ARG67283 anti-Histone H4 antibody [1A02] WB image
Western blot: C6 stained with ARG67283 anti-Histone H4 antibody [1A02].
-
ARG67283 anti-Histone H4 antibody [1A02] WB image
Western blot: NIH3T3 stained with ARG67283 anti-Histone H4 antibody [1A02].
