ARG51735
anti-Hsp 27 phospho (Ser82) antibody
anti-Hsp 27 phospho (Ser82) antibody for IHC-Formalin-fixed paraffin-embedded sections,Western blot and Human
Cancer antibody; Cell Biology and Cellular Response antibody; Signaling Transduction antibody
Overview
| Product Description | Rabbit Polyclonal antibody recognizes Hsp 27 phospho (Ser82) |
|---|---|
| Tested Reactivity | Hu |
| Tested Application | IHC-P, WB |
| Host | Rabbit |
| Clonality | Polyclonal |
| Isotype | IgG |
| Target Name | Hsp 27 |
| Antigen Species | Human |
| Immunogen | Peptide sequence around phosphorylation site of serine 82 (Q-L-S(p)-S-G) derived from Human Hsp27. |
| Conjugation | Un-conjugated |
| Alternate Names | HSP 27; Heat shock 27 kDa protein; HMN2B; HS.76067; SRP27; HEL-S-102; HspB1; CMT2F; 28 kDa heat shock protein; HSP27; Heat shock protein beta-1; Hsp25; Estrogen-regulated 24 kDa protein; Stress-responsive protein 27; HSP28 |
Application Instructions
| Application Suggestion |
|
||||||
|---|---|---|---|---|---|---|---|
| Application Note | * The dilutions indicate recommended starting dilutions and the optimal dilutions or concentrations should be determined by the scientist. |
Properties
| Form | Liquid |
|---|---|
| Purification | Antibodies were produced by immunizing rabbits with KLH-conjugated synthetic phosphopeptide. Antibodies were purified by affinity-chromatography using epitope-specific phosphopeptide. In addition, non-phospho specific antibodies were removed by chromatogramphy using non-phosphopeptide. |
| Buffer | PBS (without Mg2+ and Ca2+, pH 7.4), 150mM NaCl, 0.02% Sodium azide and 50% Glycerol. |
| Preservative | 0.02% Sodium azide |
| Stabilizer | 50% Glycerol |
| Concentration | 1 mg/ml |
| Storage Instruction | For continuous use, store undiluted antibody at 2-8°C for up to a week. For long-term storage, aliquot and store at -20°C. Storage in frost free freezers is not recommended. Avoid repeated freeze/thaw cycles. Suggest spin the vial prior to opening. The antibody solution should be gently mixed before use. |
| Note | For laboratory research only, not for drug, diagnostic or other use. |
Bioinformation
| Database Links | |
|---|---|
| Gene Symbol | HSPB1 |
| Gene Full Name | heat shock 27kDa protein 1 |
| Background | Involved in stress resistance and actin organization. |
| Function | Involved in stress resistance and actin organization. [UniProt] |
| Research Area | Cancer antibody; Cell Biology and Cellular Response antibody; Signaling Transduction antibody |
| Calculated MW | 23 kDa |
| PTM | Phosphorylated upon exposure to protein kinase C activators and heat shock (PubMed:8325890). Phosphorylation by MAPKAPK2 and MAPKAPK3 in response to stress dissociates HSPB1 from large small heat-shock protein (sHsps) oligomers and impairs its chaperone activity and ability to protect against oxidative stress effectively. Phosphorylation by MAPKAPK5 in response to PKA stimulation induces F-actin rearrangement (PubMed:1332886, PubMed:8093612, PubMed:19166925). |
Images (3) Click the Picture to Zoom In
-
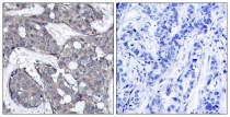
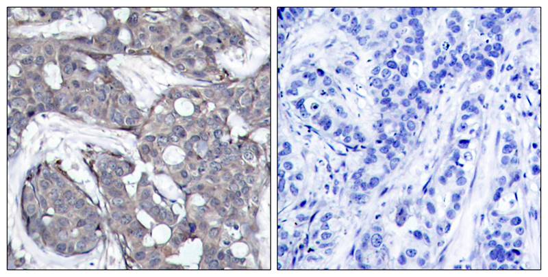
ARG51735 anti-Hsp 27 phospho (Ser82) antibody IHC-P image
Immunohistochemistry: Paraffin-embedded Human breast carcinoma tissue stained with ARG51735 anti-Hsp 27 phospho (Ser82) antibody (left) or the same antibody preincubated with blocking peptide (right).
-
ARG51735 anti-Hsp 27 phospho (Ser82) antibody WB image
Western blot: Extracts from HL60 cells untreated or treated with UV and stained with ARG51735 anti-Hsp 27 phospho (Ser82) antibody.
-
ARG51735 anti-Hsp 27 phospho (Ser82) antibody WB image
Western blot: Extracts from HeLa cells, treated with UV or calf intestinal phosphatase (CIP), stained with ARG51735 anti-Hsp 27 phospho (Ser82) antibody.
