ARG44651
anti-ICAD antibody
anti-ICAD antibody for IHC-Formalin-fixed paraffin-embedded sections,Immunoprecipitation,Western blot and Human
Overview
| Product Description | Mouse Monoclonal antibody recognizes ICAD |
|---|---|
| Tested Reactivity | Hu |
| Tested Application | IHC-P, IP, WB |
| Host | Mouse |
| Clonality | Monoclonal |
| Isotype | IgG1 |
| Target Name | ICAD |
| Antigen Species | Human |
| Conjugation | Un-conjugated |
| Alternate Names | DFFA; DNA Fragmentation Factor Subunit Alpha; DFF-45; DFF45; ICAD; DFF1; DNA Fragmentation Factor, 45kDa, Alpha Polypeptide; DNA Fragmentation Factor 45 KDa Subunit; Inhibitor Of CAD; DNA Fragmentation Factor, 45 KD, Alpha Polypeptide; DNA Fragmentation Factor, 45 KD, Alpha Subunit |
Application Instructions
| Application Suggestion |
|
||||||||
|---|---|---|---|---|---|---|---|---|---|
| Application Note | * The dilutions indicate recommended starting dilutions and the optimal dilutions or concentrations should be determined by the scientist. |
Properties
| Form | Liquid |
|---|---|
| Purification | Protein A purification |
| Buffer | PBS with 0.09% sodium azide |
| Storage Instruction | For continuous use, store undiluted antibody at 2-8°C for up to a week. For long-term storage, aliquot and store at -20°C or below. Storage in frost free freezers is not recommended. Avoid repeated freeze/thaw cycles. Suggest spin the vial prior to opening. The antibody solution should be gently mixed before use. |
| Note | For laboratory research only, not for drug, diagnostic or other use. |
Bioinformation
| Database Links |
Swiss-port # O00273 Human DNA fragmentation factor subunit alpha |
|---|---|
| Gene Symbol | DFFA |
| Gene Full Name | DNA Fragmentation Factor Subunit Alpha |
| Background | Apoptosis is a cell death process that removes toxic and/or useless cells during mammalian development. The apoptotic process is accompanied by shrinkage and fragmentation of the cells and nuclei and degradation of the chromosomal DNA into nucleosomal units. DNA fragmentation factor (DFF) is a heterodimeric protein of 40-kD (DFFB) and 45-kD (DFFA) subunits. DFFA is the substrate for caspase-3 and triggers DNA fragmentation during apoptosis. DFF becomes activated when DFFA is cleaved by caspase-3. The cleaved fragments of DFFA dissociate from DFFB, the active component of DFF. DFFB has been found to trigger both DNA fragmentation and chromatin condensation during apoptosis. Two alternatively spliced transcript variants encoding distinct isoforms have been found for this gene. [provided by RefSeq, Jul 2008] |
| Function | Inhibitor of the caspase-activated DNase (DFF40). [UniProt] |
| Cellular Localization | Cytoplasm. [UniProt] |
| PTM | Acetylation, Phosphoprotein. [UniProt] |
Images (3) Click the Picture to Zoom In
-
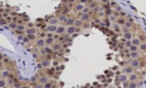
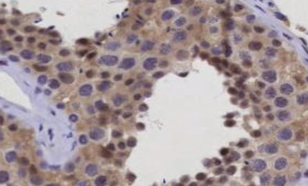
ARG44651 anti-ICAD antibody IHC-P image
Immunohistochemistry: Human Testis stained with ARG44651 anti-ICAD antibody at 5 µg/mL dilution.
-
ARG44651 anti-ICAD antibody WB image
Western blot: Jurkat, HepG2 and HeLa stained with ARG44651 anti-ICAD antibody at 1 µg/mL dilution.
-
ARG44651 anti-ICAD antibody IP image
Immunoprecipitation: Jurkat lysate immunoprecipitated with 2.5 µg of ARG44651 anti-ICAD antibody.
