ARG55701
anti-ICT1 antibody
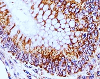
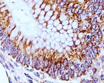
anti-ICT1 antibody for IHC-Formalin-fixed paraffin-embedded sections,Western blot and Human
Overview
| Product Description | Rabbit Polyclonal antibody recognizes ICT1 |
|---|---|
| Tested Reactivity | Hu |
| Tested Application | IHC-P, WB |
| Host | Rabbit |
| Clonality | Polyclonal |
| Isotype | IgG |
| Target Name | ICT1 |
| Antigen Species | Human |
| Immunogen | KLH-conjugated synthetic peptide corresponding to aa. 153-179 (C-terminus) of Human ICT1. |
| Conjugation | Un-conjugated |
| Alternate Names | 39S ribosomal protein L58, mitochondrial; DS-1; MRP-L58; DS1; Peptidyl-tRNA hydrolase ICT1, mitochondrial; EC 3.1.1.29; Digestion substraction 1; Immature colon carcinoma transcript 1 protein |
Application Instructions
| Application Suggestion |
|
||||||
|---|---|---|---|---|---|---|---|
| Application Note | * The dilutions indicate recommended starting dilutions and the optimal dilutions or concentrations should be determined by the scientist. | ||||||
| Positive Control | K562 |
Properties
| Form | Liquid |
|---|---|
| Purification | Purification with Protein A and immunogen peptide. |
| Buffer | PBS and 0.09% (W/V) Sodium azide. |
| Preservative | 0.09% (W/V) Sodium azide. |
| Storage Instruction | For continuous use, store undiluted antibody at 2-8°C for up to a week. For long-term storage, aliquot and store at -20°C or below. Storage in frost free freezers is not recommended. Avoid repeated freeze/thaw cycles. Suggest spin the vial prior to opening. The antibody solution should be gently mixed before use. |
| Note | For laboratory research only, not for drug, diagnostic or other use. |
Bioinformation
| Database Links |
Swiss-port # Q14197 Human Peptidyl-tRNA hydrolase ICT1, mitochondrial |
|---|---|
| Gene Symbol | ICT1 |
| Gene Full Name | immature colon carcinoma transcript 1 |
| Background | The protein encoded by this gene is a peptidyl-tRNA hydrolase and a vital component of the large mitochondrial ribosome. The encoded protein serves as a ribosome release factor for this ribosome, which translates mitochondrial genes. This protein may be responsible for degrading prematurely-terminated polypeptides and for reusing stalled ribosomes. Two transcript variants encoding different isoforms have been found for this gene. [provided by RefSeq, Dec 2014] |
| Function | Essential peptidyl-tRNA hydrolase component of the mitochondrial large ribosomal subunit. Acts as a codon-independent translation release factor that has lost all stop codon specificity and directs the termination of translation in mitochondrion, possibly in case of abortive elongation. May be involved in the hydrolysis of peptidyl-tRNAs that have been prematurely terminated and thus in the recycling of stalled mitochondrial ribosomes. [UniProt] |
| Cellular Localization | Mitochondrion |
| Calculated MW | 24 kDa |
Images (2) Click the Picture to Zoom In
