ARG42111
anti-IDH1 antibody [16H7]
anti-IDH1 antibody [16H7] for Flow cytometry,ICC/IF,Western blot and Human,Mouse,Rat
Overview
| Product Description | Mouse Monoclonal antibody [16H7] recognizes IDH1 |
|---|---|
| Tested Reactivity | Hu, Ms, Rat |
| Tested Application | FACS, ICC/IF, WB |
| Host | Mouse |
| Clonality | Monoclonal |
| Clone | 16H7 |
| Isotype | IgG |
| Target Name | IDH1 |
| Antigen Species | Human |
| Immunogen | Synthetic peptide corresponding to aa. 381-413 of Human IDH1. (KGLPNVQRSDYLNTFEFMDKLGENLKIKLAQAK) |
| Conjugation | Un-conjugated |
| Alternate Names | IDPC; EC 1.1.1.42; Cytosolic NADP-isocitrate dehydrogenase; IDP; HEL-S-26; HEL-216; Isocitrate dehydrogenase [NADP] cytoplasmic; IDH; PICD; IDCD; NADP; Oxalosuccinate decarboxylase |
Application Instructions
| Application Suggestion |
|
||||||||
|---|---|---|---|---|---|---|---|---|---|
| Application Note | * The dilutions indicate recommended starting dilutions and the optimal dilutions or concentrations should be determined by the scientist. | ||||||||
| Observed Size | ~ 47 kDa |
Properties
| Form | Liquid |
|---|---|
| Purification | Affinity purification with immunogen. |
| Purity | > 95% (by SDS-PAGE) |
| Buffer | 0.2% Na2HPO4, 0.9% NaCl, 0.05% Sodium azide and 4% Trehalose. |
| Preservative | 0.05% Sodium azide |
| Stabilizer | 4% Trehalose |
| Concentration | 0.5 mg/ml |
| Storage Instruction | For continuous use, store undiluted antibody at 2-8°C for up to a week. For long-term storage, aliquot and store at -20°C or below. Storage in frost free freezers is not recommended. Avoid repeated freeze/thaw cycles. Suggest spin the vial prior to opening. The antibody solution should be gently mixed before use. |
| Note | For laboratory research only, not for drug, diagnostic or other use. |
Bioinformation
| Database Links | |
|---|---|
| Gene Symbol | IDH1 |
| Gene Full Name | isocitrate dehydrogenase 1 (NADP+), soluble |
| Background | Isocitrate dehydrogenases catalyze the oxidative decarboxylation of isocitrate to 2-oxoglutarate. These enzymes belong to two distinct subclasses, one of which utilizes NAD(+) as the electron acceptor and the other NADP(+). Five isocitrate dehydrogenases have been reported: three NAD(+)-dependent isocitrate dehydrogenases, which localize to the mitochondrial matrix, and two NADP(+)-dependent isocitrate dehydrogenases, one of which is mitochondrial and the other predominantly cytosolic. Each NADP(+)-dependent isozyme is a homodimer. The protein encoded by this gene is the NADP(+)-dependent isocitrate dehydrogenase found in the cytoplasm and peroxisomes. It contains the PTS-1 peroxisomal targeting signal sequence. The presence of this enzyme in peroxisomes suggests roles in the regeneration of NADPH for intraperoxisomal reductions, such as the conversion of 2, 4-dienoyl-CoAs to 3-enoyl-CoAs, as well as in peroxisomal reactions that consume 2-oxoglutarate, namely the alpha-hydroxylation of phytanic acid. The cytoplasmic enzyme serves a significant role in cytoplasmic NADPH production. Alternatively spliced transcript variants encoding the same protein have been found for this gene. [provided by RefSeq, Sep 2013] |
| Cellular Localization | Cytoplasm. Peroxisome. [UniProt] |
| Highlight | Related products: Isocitrate Dehydrogenase antibodies; Isocitrate Dehydrogenase ELISA Kits; Anti-Mouse IgG secondary antibodies; Related news: TCA intermediate fumarate promotes mitobiogenesis |
| Calculated MW | 47 kDa |
| PTM | Acetylation at Lys-374 dramatically reduces catalytic activity. [UniProt] |
Images (4) Click the Picture to Zoom In
-
ARG42111 anti-IDH1 antibody [16H7] ICC/IF image
Immunofluorescence: U2OS cells stained with ARG42111 anti-IDH1 antibody [16H7] (green) at 2 µg/ml dilution, overnight at 4°C. DAPI (blue) for nuclear staining.
-
ARG42111 anti-IDH1 antibody [16H7] WB image
Western blot: 50 µg of samples under reducing conditions. HepG2, Caco-2, U-87MG, THP-1, HeLa, K562, PC-3 and HEK293 whole cell lysates stained with ARG42111 anti-IDH1 antibody [16H7] at 0.5 µg/ml dilution, overnight at 4°C.
-
ARG42111 anti-IDH1 antibody [16H7] FACS image
Flow Cytometry: Caco-2 cells were blocked with 10% normal goat serum and then stained with ARG42111 anti-IDH1 antibody [16H7] (blue) at 1 µg/10^6 cells for 30 min at 20°C, followed by incubation with DyLight®488 labelled secondary antibody. Isotype control antibody (green) was mouse IgG (1 µg/10^6 cells) used under the same conditions. Unlabelled sample (red) was also used as a control.
-
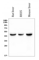
ARG42111 anti-IDH1 antibody [16H7] WB image
Western blot: 50 µg of samples under reducing conditions. Rat liver, Rat RH35 and Mouse liver lysates stained with ARG42111 anti-IDH1 antibody [16H7] at 0.5 µg/ml dilution, overnight at 4°C.
