ARG59731
anti-IDH3B antibody
anti-IDH3B antibody for IHC-Formalin-fixed paraffin-embedded sections,Western blot and Human
Overview
| Product Description | Rabbit Polyclonal antibody recognizes IDH3B |
|---|---|
| Tested Reactivity | Hu |
| Tested Application | IHC-P, WB |
| Host | Rabbit |
| Clonality | Polyclonal |
| Isotype | IgG |
| Target Name | IDH3B |
| Antigen Species | Human |
| Immunogen | KLH-conjugated synthetic peptide corresponding to aa. 15-49 of Human IDH3B. |
| Conjugation | Un-conjugated |
| Alternate Names | RP46; Isocitric dehydrogenase subunit beta; NAD; Isocitrate dehydrogenase [NAD] subunit beta, mitochondrial; H-IDHB; EC 1.1.1.41; + |
Application Instructions
| Application Suggestion |
|
||||||
|---|---|---|---|---|---|---|---|
| Application Note | * The dilutions indicate recommended starting dilutions and the optimal dilutions or concentrations should be determined by the scientist. | ||||||
| Positive Control | Human placenta |
Properties
| Form | Liquid |
|---|---|
| Purification | Purification with Protein A and immunogen peptide. |
| Buffer | PBS and 0.09% (W/V) sodium azide. |
| Preservative | 0.09% (W/V) sodium azide. |
| Storage Instruction | For continuous use, store undiluted antibody at 2-8°C for up to a week. For long-term storage, aliquot and store at -20°C or below. Storage in frost free freezers is not recommended. Avoid repeated freeze/thaw cycles. Suggest spin the vial prior to opening. The antibody solution should be gently mixed before use. |
| Note | For laboratory research only, not for drug, diagnostic or other use. |
Bioinformation
| Database Links |
Swiss-port # O43837 Human Isocitrate dehydrogenase [NAD] subunit beta, mitochondrial |
|---|---|
| Gene Symbol | IDH3B |
| Gene Full Name | isocitrate dehydrogenase 3 (NAD+) beta |
| Background | Isocitrate dehydrogenases catalyze the oxidative decarboxylation of isocitrate to 2-oxoglutarate. These enzymes belong to two distinct subclasses, one of which utilizes NAD(+) as the electron acceptor and the other NADP(+). Five isocitrate dehydrogenases have been reported: three NAD(+)-dependent isocitrate dehydrogenases, which localize to the mitochondrial matrix, and two NADP(+)-dependent isocitrate dehydrogenases, one of which is mitochondrial and the other predominantly cytosolic. NAD(+)-dependent isocitrate dehydrogenases catalyze the allosterically regulated rate-limiting step of the tricarboxylic acid cycle. Each isozyme is a heterotetramer that is composed of two alpha subunits, one beta subunit, and one gamma subunit. The protein encoded by this gene is the beta subunit of one isozyme of NAD(+)-dependent isocitrate dehydrogenase. Three alternatively spliced transcript variants encoding different isoforms have been described for this gene. [provided by RefSeq, Jul 2008] |
| Cellular Localization | Mitochondrion. [UniProt] |
| Calculated MW | 42 kDa |
Images (2) Click the Picture to Zoom In
-
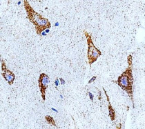
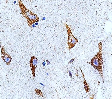
ARG59731 anti-IDH3B antibody IHC-P image
Immunohistochemistry: Paraffin-embedded Human brain tissue stained with ARG59731 anti-IDH3B antibody at 1:25 dilution.
-
ARG59731 anti-IDH3B antibody WB image
Western blot: 35 µg of Human placenta lysate stained with ARG59731 anti-IDH3B antibody at 1:1000 dilution.
