ARG63890
anti-IDO1 / INDO antibody
anti-IDO1 / INDO antibody for Western blot and Human
Cell Biology and Cellular Response antibody; Metabolism antibody; Signaling Transduction antibody
Overview
| Product Description | Goat Polyclonal antibody recognizes IDO1 / INDO |
|---|---|
| Tested Reactivity | Hu |
| Predict Reactivity | Ms, Rat, Dog |
| Tested Application | WB |
| Host | Goat |
| Clonality | Polyclonal |
| Isotype | IgG |
| Target Name | IDO1 / INDO |
| Antigen Species | Human |
| Immunogen | Synthetic peptide around the internal region of Human INDO / IDO. (NP_002155.1, CVLANWKKKDPNK) |
| Conjugation | Un-conjugated |
| Alternate Names | IDO-1; Indoleamine 2,3-dioxygenase 1; IDO; Indoleamine-pyrrole 2,3-dioxygenase; INDO; EC 1.13.11.52 |
Application Instructions
| Application Suggestion |
|
||||
|---|---|---|---|---|---|
| Application Note | WB: Recommend incubate at RT for 1h. * The dilutions indicate recommended starting dilutions and the optimal dilutions or concentrations should be determined by the scientist. |
||||
| Observed Size | ~ 50 kDa |
Properties
| Form | Liquid |
|---|---|
| Purification | Purified from goat serum by antigen affinity chromatography. |
| Buffer | Tris saline (pH 7.3), 0.02% Sodium azide and 0.5% BSA. |
| Preservative | 0.02% Sodium azide |
| Stabilizer | 0.5% BSA |
| Concentration | 0.5 mg/ml |
| Storage Instruction | For continuous use, store undiluted antibody at 2-8°C for up to a week. For long-term storage, aliquot and store at -20°C or below. Storage in frost free freezers is not recommended. Avoid repeated freeze/thaw cycles. Suggest spin the vial prior to opening. The antibody solution should be gently mixed before use. |
| Note | For laboratory research only, not for drug, diagnostic or other use. |
Bioinformation
| Database Links | |
|---|---|
| Background | This gene encodes indoleamine 2,3-dioxygenase (IDO) - a heme enzyme that catalyzes the first and rate-limiting step in tryptophan catabolism to N-formyl-kynurenine. This enzyme acts on multiple tryptophan substrates including D-tryptophan, L-tryptophan, 5-hydroxy-tryptophan, tryptamine, and serotonin. This enzyme is thought to play a role in a variety of pathophysiological processes such as antimicrobial and antitumor defense, neuropathology, immunoregulation, and antioxidant activity. Through its expression in dendritic cells, monocytes, and macrophages this enzyme modulates T-cell behavior by its peri-cellular catabolization of the essential amino acid tryptophan.[provided by RefSeq, Feb 2011] |
| Highlight | Related products: INDO antibodies; Anti-Goat IgG secondary antibodies; Related news: More effective cocktail therapy for cancer immune evasion |
| Research Area | Cell Biology and Cellular Response antibody; Metabolism antibody; Signaling Transduction antibody |
| Calculated MW | 45 kDa |
Images (3) Click the Picture to Zoom In
-
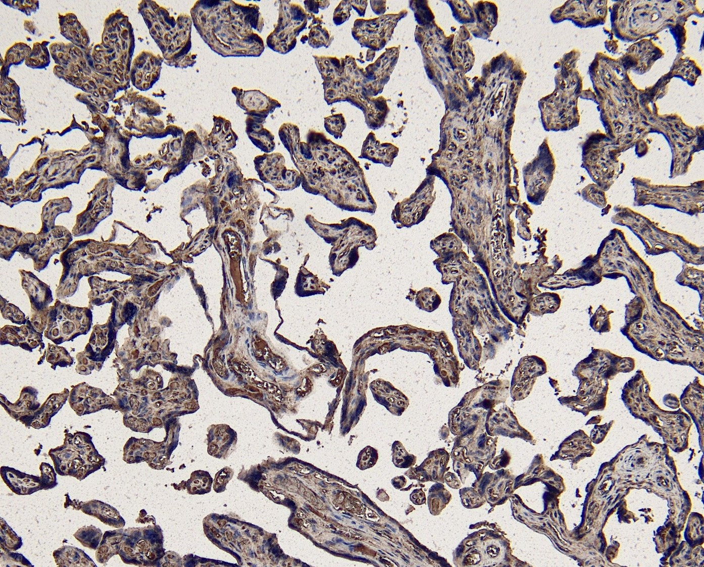
ARG63890 anti-IDO1 / INDO antibody IHC-P image
Immunohistochemistry: Human Placenta stained with ARG63890 anti-IDO1 / INDO antibody at 6 µg/ml dilution.
-
ARG63890 anti-IDO1 / INDO antibody WB image
Western blot: Human lymph node stained with ARG63890 anti-IDO1 / INDO antibody at 0.5 µg/ml dilution.
-
ARG63890 anti-IDO1 / INDO antibody WB image
Western blot: Human Placenta stained with ARG63890 anti-IDO1 / INDO antibody at 0.5 µg/ml dilution.
