ARG42191
anti-IDS / Iduronate 2 Sulfatase antibody
anti-IDS / Iduronate 2 Sulfatase antibody for IHC-Formalin-fixed paraffin-embedded sections,Western blot and Human
Overview
| Product Description | Rabbit Polyclonal antibody recognizes IDS / Iduronate 2 Sulfatase |
|---|---|
| Tested Reactivity | Hu |
| Tested Application | IHC-P, WB |
| Host | Rabbit |
| Clonality | Polyclonal |
| Isotype | IgG |
| Target Name | IDS / Iduronate 2 Sulfatase |
| Antigen Species | Human |
| Immunogen | Synthetic peptide corresponding to aa. 430-448 of Human IDS / Iduronate 2 Sulfatase. (ELCREGKNLLKHFRFRDLE) |
| Conjugation | Un-conjugated |
| Alternate Names | Alpha-L-iduronate sulfate sulfatase; Iduronate 2-sulfatase; Idursulfase; SIDS; EC 3.1.6.13; MPS2 |
Application Instructions
| Application Suggestion |
|
||||||
|---|---|---|---|---|---|---|---|
| Application Note | * The dilutions indicate recommended starting dilutions and the optimal dilutions or concentrations should be determined by the scientist. | ||||||
| Positive Control | HeLa, SMMC-7721, A549, MCF7 and COLO | ||||||
| Observed Size | ~ 62 kDa |
Properties
| Form | Liquid |
|---|---|
| Purification | Affinity purification with immunogen. |
| Buffer | 0.2% Na2HPO4, 0.9% NaCl, 0.05% Thimerosal, 0.05% Sodium azide and 5% BSA. |
| Preservative | 0.05% Thimerosal and 0.05% Sodium azide |
| Stabilizer | 5% BSA |
| Concentration | 0.5 mg/ml |
| Storage Instruction | For continuous use, store undiluted antibody at 2-8°C for up to a week. For long-term storage, aliquot and store at -20°C or below. Storage in frost free freezers is not recommended. Avoid repeated freeze/thaw cycles. Suggest spin the vial prior to opening. The antibody solution should be gently mixed before use. |
| Note | For laboratory research only, not for drug, diagnostic or other use. |
Bioinformation
| Database Links | |
|---|---|
| Gene Symbol | IDS |
| Gene Full Name | iduronate 2-sulfatase |
| Background | This gene encodes a member of the sulfatase family of proteins. The encoded preproprotein is proteolytically processed to generate two polypeptide chains. This enzyme is involved in the lysosomal degradation of heparan sulfate and dermatan sulfate. Mutations in this gene are associated with the X-linked lysosomal storage disease mucopolysaccharidosis type II, also known as Hunter syndrome. Alternative splicing results in multiple transcript variants, at least one of which encodes a preproprotein that is proteolytically processed. [provided by RefSeq, Jan 2016] |
| Function | Lysosomal enzyme involved in the degradation pathway of dermatan sulfate and heparan sulfate. [UniProt] |
| Cellular Localization | Lysosome. [UniProt] |
| Calculated MW | 62 kDa |
| PTM | The conversion to 3-oxoalanine (also known as C-formylglycine, FGly), of a serine or cysteine residue in prokaryotes and of a cysteine residue in eukaryotes, is critical for catalytic activity. [UniProt] |
Images (2) Click the Picture to Zoom In
-
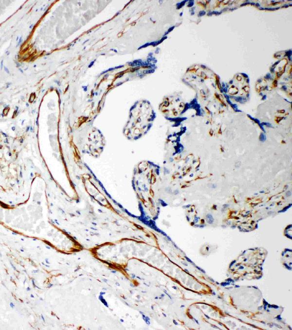
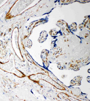
ARG42191 anti-IDS / Iduronate 2 Sulfatase antibody IHC-P image
Immunohistochemistry: Paraffin-embedded Human placenta tissue stained with ARG42191 anti-IDS / Iduronate 2 Sulfatase antibody.
-
ARG42191 anti-IDS / Iduronate 2 Sulfatase antibody WB image
Western blot: HeLa, SMMC-7721, A549, MCF7 and COLO cell lysates stained with ARG42191 anti-IDS / Iduronate 2 Sulfatase antibody.
