ARG45898
anti-IFIT2 antibody
anti-IFIT2 antibody for Western blot,IHC-Formalin-fixed paraffin-embedded sections,ICC/IF,Flow cytometry and Human,Mouse,Rat
Overview
| Product Description | Rabbit Polyclonal antibody recognizes IFIT2 |
|---|---|
| Tested Reactivity | Hu, Ms, Rat |
| Tested Application | FACS, ICC/IF, IHC-P, WB |
| Host | Rabbit |
| Clonality | Polyclonal |
| Isotype | IgG |
| Target Name | IFIT2 |
| Antigen Species | Human |
| Immunogen | Recombinant protein containing to human IFIT2. |
| Conjugation | Un-conjugated |
| Alternate Names | IFIT2; IFI-54K; IFIT-2; IFI-54; ISG54; ISG-54 K; cig42; Interferon-induced protein with tetratricopeptide repeats 2; Interferon-induced 54 kDa protein; P54; GARG-39; G10P2; IFI54; ISG-54K |
Application Instructions
| Application Suggestion |
|
||||||||||
|---|---|---|---|---|---|---|---|---|---|---|---|
| Application Note | * The dilutions indicate recommended starting dilutions and the optimal dilutions or concentrations should be determined by the scientist. | ||||||||||
| Observed Size | 55 kDa |
Properties
| Form | Liquid |
|---|---|
| Purification | Affinity chromatography purified |
| Buffer | 0.2% Na2HPO4, 0.9% NaCl and 4% Trehalose. |
| Stabilizer | 4% Trehalose |
| Concentration | 0.5 mg/ml |
| Storage Instruction | For continuous use, store undiluted antibody at 2-8°C for up to a week. For long-term storage, aliquot and store at -22°C or below. Storage in frost free freezers is not recommended. Avoid repeated freeze/thaw cycles. Suggest spin the vial prior to opening. The antibody solution should be gently mixed before use. |
| Note | For laboratory research only, not for drug, diagnostic or other use. |
Bioinformation
| Database Links |
Swiss-port # P09913 Human Interferon-induced protein with tetratricopeptide repeats 2 Swiss-port # Q64112 Mouse Interferon-induced protein with tetratricopeptide repeats 2 |
|---|---|
| Gene Symbol | IFIT2 |
| Gene Full Name | Interferon-Induced Protein With Tetratricopeptide Repeats 2 |
| Background | Enables RNA binding activity. Involved in antiviral innate immune response and positive regulation of apoptotic process. Located in endoplasmic reticulum. [provided by Alliance of Genome Resources, Feb 2025] |
| Function | IFN-induced antiviral protein which inhibits expression of viral messenger RNAs lacking 2'-O-methylation of the 5' cap. The ribose 2'-O-methylation would provide a molecular signature to distinguish between self and non-self mRNAs by the host during viral infection. Viruses evolved several ways to evade this restriction system such as encoding their own 2'-O-methylase for their mRNAs or by stealing host cap containing the 2'-O-methylation (cap snatching mechanism). Binds AU-rich viral RNAs, with or without 5' triphosphorylation, RNA-binding is required for antiviral activity. Can promote apoptosis. [UniProt] |
| Cellular Localization | Cytoplasm. Endoplasmic reticulum. [UniProt] |
| Calculated MW | 55 kDa |
| PTM | Acetylation. [UniProt] |
Images (6) Click the Picture to Zoom In
-
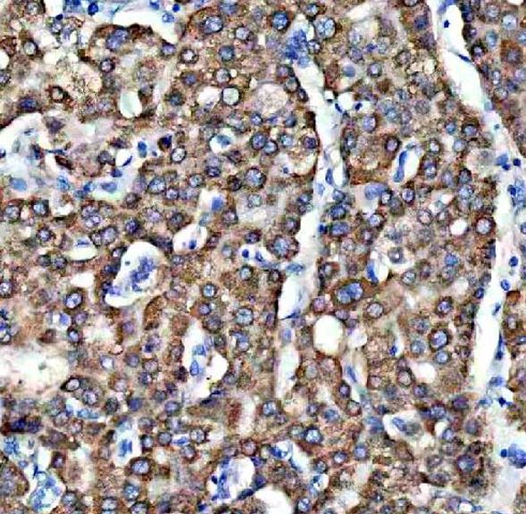
ARG45898 anti-IFIT2 antibody IHC-P image
Immunohistochemistry: Human liver cancer stained with ARG45898 anti-IFIT2 antibody at 2 μg/ml dilution.
-
ARG45898 anti-IFIT2 antibody ICC/IF image
Immunofluorescence: Hela stained with ARG45898 anti-IFIT2 antibody at 5 μg/ml dilution.
-
ARG45898 anti-IFIT2 antibody WB image
Western blot: Hacat stained with ARG45898 anti-IFIT2 antibody at 0.5 μg/ml dilution.
-
ARG45898 anti-IFIT2 antibody FACS image
Flow Cytometry: SiHa stained with ARG45898 anti-IFIT2 antibody at 1 µg/10^6 cells dilution.
-
ARG45898 anti-IFIT2 antibody WB image
Western blot: Rat liver stained with ARG45898 anti-IFIT2 antibody at 0.5 μg/ml dilution.
-
ARG45898 anti-IFIT2 antibody WB image
Western blot: Mouse liver stained with ARG45898 anti-IFIT2 antibody at 0.5 μg/ml dilution.
