ARG40361
anti-IFNGR2 / IFN gamma R2 antibody
anti-IFNGR2 / IFN gamma R2 antibody for Flow cytometry,IHC-Formalin-fixed paraffin-embedded sections,Western blot and Human
Overview
| Product Description | Rabbit Polyclonal antibody recognizes IFNGR2 / IFN gamma R2 |
|---|---|
| Tested Reactivity | Hu |
| Tested Application | FACS, IHC-P, WB |
| Host | Rabbit |
| Clonality | Polyclonal |
| Isotype | IgG |
| Target Name | IFNGR2 / IFN gamma R2 |
| Antigen Species | Human |
| Immunogen | KLH-conjugated synthetic peptide corresponding to aa. 308-337 of Human IFNGR2. |
| Conjugation | Un-conjugated |
| Alternate Names | IFNGT1; Interferon gamma receptor accessory factor 1; IFGR2; Interferon gamma receptor 2; AF-1; Interferon gamma transducer 1; IFN-gamma receptor 2; IMD28; IFN-gamma-R2 |
Application Instructions
| Application Suggestion |
|
||||||||
|---|---|---|---|---|---|---|---|---|---|
| Application Note | * The dilutions indicate recommended starting dilutions and the optimal dilutions or concentrations should be determined by the scientist. | ||||||||
| Positive Control | Human skeletal muscle |
Properties
| Form | Liquid |
|---|---|
| Purification | Purification with Protein A and immunogen peptide. |
| Buffer | PBS and 0.09% (W/V) Sodium azide. |
| Preservative | 0.09% (W/V) Sodium azide. |
| Storage Instruction | For continuous use, store undiluted antibody at 2-8°C for up to a week. For long-term storage, aliquot and store at -20°C or below. Storage in frost free freezers is not recommended. Avoid repeated freeze/thaw cycles. Suggest spin the vial prior to opening. The antibody solution should be gently mixed before use. |
| Note | For laboratory research only, not for drug, diagnostic or other use. |
Bioinformation
| Database Links | |
|---|---|
| Gene Symbol | IFNGR2 |
| Gene Full Name | interferon gamma receptor 2 (interferon gamma transducer 1) |
| Background | This gene (IFNGR2) encodes the non-ligand-binding beta chain of the gamma interferon receptor. Human interferon-gamma receptor is a heterodimer of IFNGR1 and IFNGR2. Defects in IFNGR2 are a cause of mendelian susceptibility to mycobacterial disease (MSMD), also known as familial disseminated atypical mycobacterial infection. MSMD is a genetically heterogeneous disease with autosomal recessive, autosomal dominant or X-linked inheritance. [provided by RefSeq, Jul 2008] |
| Function | Part of the receptor for interferon gamma. Required for signal transduction. This accessory factor is an integral part of the IFN-gamma signal transduction pathway and is likely to interact with GAF, JAK1, and/or JAK2. [UniProt] |
| Cellular Localization | Cell membrane; Single-pass type I membrane protein. Cytoplasmic vesicle membrane; Single-pass type I membrane protein. Golgi apparatus membrane; Single-pass type I membrane protein. Endoplasmic reticulum membrane; Single-pass type I membrane protein. Cytoplasm. Note=Has low cell surface expression and high cytoplasmic expression in T cells. The bias towards cytoplasmic expression may be due to ligand-independent receptor internalization and recycling. [UniProt] |
| Calculated MW | 38 kDa |
Images (3) Click the Picture to Zoom In
-
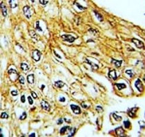
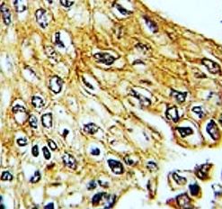
ARG40361 anti-IFNGR2 / IFN gamma R2 antibody IHC-P image
Immunohistochemistry: Formalin-fixed and paraffin-embedded Human lung carcinoma stained with ARG40361 anti-IFNGR2 / IFN gamma R2 antibody.
-
ARG40361 anti-IFNGR2 / IFN gamma R2 antibody WB image
Western blot: 35 µg of Human skeletal muscle lysate stained with ARG40361 anti-IFNGR2 / IFN gamma R2 antibody at 1:1000 dilution.
-
ARG40361 anti-IFNGR2 / IFN gamma R2 antibody FACS image
Flow Cytometry: NCI-H292 cells stained with ARG40361 anti-IFNGR2 / IFN gamma R2 antibody (bottom histogram) or without primary antibody as control (top histogram), followed by incubation with FITC labelled secondary antibody.
