ARG66470
anti-IFRD1 antibody
anti-IFRD1 antibody for IHC-Formalin-fixed paraffin-embedded sections,Western blot and Human,Mouse,Rat
Overview
| Product Description | Rabbit Polyclonal antibody recognizes IFRD1 |
|---|---|
| Tested Reactivity | Hu, Ms, Rat |
| Tested Application | IHC-P, WB |
| Host | Rabbit |
| Clonality | Polyclonal |
| Isotype | IgG |
| Target Name | IFRD1 |
| Antigen Species | Human |
| Immunogen | Recombinant full length protein of Human IFRD1. |
| Conjugation | Un-conjugated |
| Alternate Names | Nerve growth factor-inducible protein PC4; Interferon-related developmental regulator 1; PC4; TIS7 |
Application Instructions
| Application Suggestion |
|
||||||
|---|---|---|---|---|---|---|---|
| Application Note | IHC-P: Antigen Retrieval: Heat mediation was performed in Sodium citrate buffer (pH 6.0). * The dilutions indicate recommended starting dilutions and the optimal dilutions or concentrations should be determined by the scientist. |
Properties
| Form | Liquid |
|---|---|
| Purification | Affinity purification with immunogen. |
| Buffer | 0.42% Potassium phosphate (pH 7.3), 0.87% NaCl, 0.01% Sodium azide and 30% Glycerol. |
| Preservative | 0.01% Sodium azide |
| Stabilizer | 30% Glycerol |
| Storage Instruction | For continuous use, store undiluted antibody at 2-8°C for up to a week. For long-term storage, aliquot and store at -20°C. Storage in frost free freezers is not recommended. Avoid repeated freeze/thaw cycles. Suggest spin the vial prior to opening. The antibody solution should be gently mixed before use. |
| Note | For laboratory research only, not for drug, diagnostic or other use. |
Bioinformation
| Database Links | |
|---|---|
| Gene Symbol | IFRD1 |
| Gene Full Name | interferon-related developmental regulator 1 |
| Background | This gene is an immediate early gene that encodes a protein related to interferon-gamma. This protein may function as a transcriptional co-activator/repressor that controls the growth and differentiation of specific cell types during embryonic development and tissue regeneration. Mutations in this gene are associated with sensory/motor neuropathy with ataxia. This gene may also be involved in modulating the pathogenesis of cystic fibrosis lung disease. Alternate splicing results in multiple transcript variants. [provided by RefSeq, Oct 2010] |
| Function | Could play a role in regulating gene activity in the proliferative and/or differentiative pathways induced by NGF. May be an autocrine factor that attenuates or amplifies the initial ligand-induced signal (By similarity). [UniProt] |
| Calculated MW | 50 kDa |
Images (2) Click the Picture to Zoom In
-
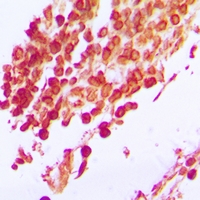
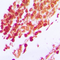
ARG66470 anti-IFRD1 antibody IHC-P image
Immunohistochemistry: Formalin-fixed and paraffin-embedded Human lung. Antigen Retrieval: Heat mediation was performed in Sodium citrate buffer (pH 6.0). The section was then incubated with ARG66470 anti-IFRD1 antibody at room temperature and detected using an HRP conjugated compact polymer system. DAB was used as the chromogen. The section was then counterstained with haematoxylin and mounted with DPX.
-
ARG66470 anti-IFRD1 antibody WB image
Western blot: HeLa, Raji, Mouse lung and Rat brain lysates stained with ARG66470 anti-IFRD1 antibody.
