ARG44440
anti-IFT52 antibody
anti-IFT52 antibody for Flow cytometry,IHC-Formalin-fixed paraffin-embedded sections,Western blot and Human,Mouse,Rat
Overview
| Product Description | Rabbit Polyclonal antibody recognizes IFT52 |
|---|---|
| Tested Reactivity | Hu, Ms, Rat |
| Tested Application | FACS, IHC-P, WB |
| Host | Rabbit |
| Clonality | Polyclonal |
| Isotype | IgG |
| Target Name | IFT52 |
| Antigen Species | Human |
| Immunogen | Human IFT52 recombinant protein |
| Conjugation | Un-conjugated |
| Alternate Names | IFT52; Intraflagellar Transport 52; NGD5; C20orf9; CGI-53; NGD2; Intraflagellar Transport Protein 52 Homolog; Protein NGD5 Homolog |
Application Instructions
| Application Suggestion |
|
||||||||
|---|---|---|---|---|---|---|---|---|---|
| Application Note | The dilutions indicate recommended starting dilutions and the optimal dilutions or concentrations should be determined by the scientist. |
Properties
| Form | Liquid |
|---|---|
| Purification | Affinity purified with Immunogen. |
| Buffer | 0.9% NaCl, 0.2% Na2HPO4, 0.05% Sodium azide and 4% Trehalose. |
| Preservative | 0.05% Sodium azide |
| Stabilizer | 4% Trehalose |
| Concentration | 0.5 mg/ml |
| Storage Instruction | For continuous use, store undiluted antibody at 2-8°C for up to a week. For long-term storage, aliquot and store at -20°C or below. Storage in frost free freezers is not recommended. Avoid repeated freeze/thaw cycles. Suggest spin the vial prior to opening. The antibody solution should be gently mixed before use. |
| Note | For laboratory research only, not for drug, diagnostic or other use. |
Bioinformation
| Database Links |
Swiss-port # Q9Y366 Human Intraflagellar transport protein 52 homolog |
|---|---|
| Gene Symbol | IFT52 |
| Gene Full Name | Intraflagellar Transport 52 |
| Background | This gene encodes a conserved proline-rich protein that is a component of the intraflagellar transport-B (IFT-B) core complex. The encoded protein is essential for the integrity of the IFT-B core complex, and for biosynthesis and maintenance of cilia. Mutations in this gene are associated with ciliopathy that affects the skeleton. |
| Function | Involved in ciliogenesis as part of a complex involved in intraflagellar transport (IFT), the bi-directional movement of particles required for the assembly, maintenance and functioning of primary cilia. |
| Cellular Localization | Cell projection, Cilium |
| Calculated MW | 50 kDa |
Images (8) Click the Picture to Zoom In
-
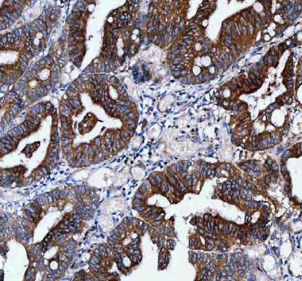
ARG44440 anti-IFT52 antibody IHC-P image
Immunohistochemistry: Human colorectal adenocarcinoma stained with ARG44440 anti-IFT52 antibody at 2 μg/mL dilution.
-
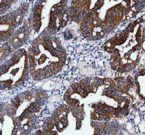
ARG44440 anti-IFT52 antibody IHC-P image
Immunohistochemistry: Human intestinal cancer stained with ARG44440 anti-IFT52 antibody at 5 μg/mL dilution.
-
ARG44440 anti-IFT52 antibody WB image
Western blot: SH-SY5Y stained with ARG44440 anti-IFT52 antibody at 0.5 μg/mL dilution.
-
ARG44440 anti-IFT52 antibody FACS image
Flow Cytometry: HepG2 stained with ARG44440 anti-IFT52 antibody at 1 μg/10^6 cells dilution.
-
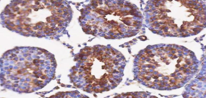
ARG44440 anti-IFT52 antibody IHC-P image
Immunohistochemistry: Rat testis stained with ARG44440 anti-IFT52 antibody at 2 μg/mL dilution.
-
ARG44440 anti-IFT52 antibody WB image
Western blot: Rat testis stained with ARG44440 anti-IFT52 antibody at 0.5 μg/mL dilution.
-
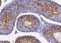
ARG44440 anti-IFT52 antibody IHC-P image
Immunohistochemistry: Mouse testis stained with ARG44440 anti-IFT52 antibody at 2 μg/mL dilution.
-
ARG44440 anti-IFT52 antibody WB image
Western blot: Mouse testis stained with ARG44440 anti-IFT52 antibody at 0.5 μg/mL dilution.
