ARG56664
anti-IGF1 antibody
anti-IGF1 antibody for ELISA,IHC-Formalin-fixed paraffin-embedded sections,Neutralizing,Western blot and Human,Mouse,Rat
Overview
| Product Description | Rabbit Polyclonal antibody recognizes IGF1 |
|---|---|
| Tested Reactivity | Hu, Ms, Rat |
| Tested Application | ELISA, IHC-P, Neut, WB |
| Host | Rabbit |
| Clonality | Polyclonal |
| Isotype | IgG |
| Target Name | IGF1 |
| Antigen Species | Human |
| Immunogen | E.coli derived Recombinant Human IGF1. (GPETLCGAEL VDALQFVCGD RGFYFNKPTG YGSSSRRAPQ TGIVDECCFR SCDLRRLEMY CAPLKPAKSA) |
| Conjugation | Un-conjugated |
| Alternate Names | MGF; Insulin-like growth factor I; Mechano growth factor; Somatomedin-C; IGFI; IGF-I |
Application Instructions
| Application Suggestion |
|
||||||||||
|---|---|---|---|---|---|---|---|---|---|---|---|
| Application Note | Antigen retrieval for IHC-P: Boil the paraffin sections in 10 mM citrate buffer (pH 6.0) for 30 minutes. * The dilutions indicate recommended starting dilutions and the optimal dilutions or concentrations should be determined by the scientist. |
Properties
| Form | Liquid |
|---|---|
| Purification | Affinity purification with immunogen. |
| Buffer | PBS (pH 7.2) |
| Concentration | 1 mg/ml |
| Storage Instruction | For continuous use, store undiluted antibody at 2-8°C for up to a week. For long-term storage, aliquot and store at -20°C or below. Storage in frost free freezers is not recommended. Avoid repeated freeze/thaw cycles. Suggest spin the vial prior to opening. The antibody solution should be gently mixed before use. |
| Note | For laboratory research only, not for drug, diagnostic or other use. |
Bioinformation
| Database Links | |
|---|---|
| Gene Symbol | IGF1 |
| Gene Full Name | insulin-like growth factor 1 (somatomedin C) |
| Background | The protein encoded by this gene is similar to insulin in function and structure and is a member of a family of proteins involved in mediating growth and development. The encoded protein is processed from a precursor, bound by a specific receptor, and secreted. Defects in this gene are a cause of insulin-like growth factor I deficiency. Alternative splicing results in multiple transcript variants encoding different isoforms that may undergo similar processing to generate mature protein. [provided by RefSeq, Sep 2015] |
| Function | The insulin-like growth factors, isolated from plasma, are structurally and functionally related to insulin but have a much higher growth-promoting activity. May be a physiological regulator of [1-14C]-2-deoxy-D-glucose (2DG) transport and glycogen synthesis in osteoblasts. Stimulates glucose transport in rat bone-derived osteoblastic (PyMS) cells and is effective at much lower concentrations than insulin, not only regarding glycogen and DNA synthesis but also with regard to enhancing glucose uptake. May play a role in synapse maturation. [UniProt] |
| Highlight | Related products: IGF1 antibodies; IGF1 ELISA Kits; IGF1 Duos / Panels; Anti-Rabbit IgG secondary antibodies; |
| Calculated MW | 22 kDa |
Images (2) Click the Picture to Zoom In
-
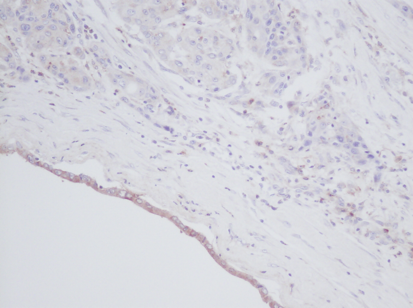
ARG56664 anti-IGF1 antibody IHC-P image
Immunohistochemistry: Formalin-fixed and paraffin-embedded sections of Human breast invasive ductal carcinoma. The recommended ARG56664 anti-IGF1 antibody concentration is 0.25 µg/ml with an overnight incubation at 4°C. An HRP-labeled polymer detection system was used with a DAB chromogen.
-
ARG56664 anti-IGF1 antibody standard curve image
Sandwich ELISA: ARG56664 anti-IGF1 antibody as a capture antibody at 0.5 - 2.0 µg/ml combined with ARG56774 anti-IGF1 antibody (Biotin) as a detection antibody. Results of a typical standard run with optical density.
