ARG40918
anti-IGF2 antibody
anti-IGF2 antibody for Flow cytometry,IHC-Formalin-fixed paraffin-embedded sections,Western blot and Human,Mouse
Overview
| Product Description | Rabbit Polyclonal antibody recognizes IGF2 |
|---|---|
| Tested Reactivity | Hu, Ms |
| Tested Application | FACS, IHC-P, WB |
| Host | Rabbit |
| Clonality | Polyclonal |
| Isotype | IgG |
| Target Name | IGF2 |
| Antigen Species | Human |
| Immunogen | KLH-conjugated synthetic peptide between aa. 39-68 of Human IGF2. |
| Conjugation | Un-conjugated |
| Alternate Names | Somatomedin-A; Insulin-like growth factor II; IGF-II; PP9974; GRDF; C11orf43; T3M-11-derived growth factor |
Application Instructions
| Application Suggestion |
|
||||||||
|---|---|---|---|---|---|---|---|---|---|
| Application Note | * The dilutions indicate recommended starting dilutions and the optimal dilutions or concentrations should be determined by the scientist. |
Properties
| Form | Liquid |
|---|---|
| Purification | Purification with Protein A and immunogen peptide. |
| Buffer | PBS and 0.09% (W/V) Sodium azide. |
| Preservative | 0.09% (W/V) Sodium azide. |
| Storage Instruction | For continuous use, store undiluted antibody at 2-8°C for up to a week. For long-term storage, aliquot and store at -20°C or below. Storage in frost free freezers is not recommended. Avoid repeated freeze/thaw cycles. Suggest spin the vial prior to opening. The antibody solution should be gently mixed before use. |
| Note | For laboratory research only, not for drug, diagnostic or other use. |
Bioinformation
| Database Links | |
|---|---|
| Gene Symbol | IGF2 |
| Gene Full Name | insulin-like growth factor 2 |
| Background | This gene encodes a member of the insulin family of polypeptide growth factors, which are involved in development and growth. It is an imprinted gene, expressed only from the paternal allele, and epigenetic changes at this locus are associated with Wilms tumour, Beckwith-Wiedemann syndrome, rhabdomyosarcoma, and Silver-Russell syndrome. A read-through INS-IGF2 gene exists, whose 5' region overlaps the INS gene and the 3' region overlaps this gene. Alternatively spliced transcript variants encoding different isoforms have been found for this gene. [provided by RefSeq, Oct 2010] |
| Function | The insulin-like growth factors possess growth-promoting activity. In vitro, they are potent mitogens for cultured cells. IGF-II is influenced by placental lactogen and may play a role in fetal development. Preptin undergoes glucose-mediated co-secretion with insulin, and acts as physiological amplifier of glucose-mediated insulin secretion. Exhibits osteogenic properties by increasing osteoblast mitogenic activity through phosphoactivation of MAPK1 and MAPK3. [UniProt] |
| Cellular Localization | Secreted. [UniProt] |
| Calculated MW | 20 kDa |
| PTM | O-glycosylated with core 1 or possibly core 8 glycans. Thr-96 is a minor glycosylation site compared to Thr-99. Proteolytically processed by PCSK4, proIGF2 is cleaved at Arg-128 and Arg-92 to generate big-IGF2 and mature IGF2. [UniProt] |
Images (3) Click the Picture to Zoom In
-
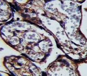
ARG40918 anti-IGF2 antibody IHC-P image
Immunohistochemistry: Formalin-fixed and paraffin-embedded Human placenta tissue stained with ARG40918 anti-IGF2 antibody.
-
ARG40918 anti-IGF2 antibody WB image
Western blot: 20 µg of Mouse liver lysate stained with ARG40918 anti-IGF2 antibody at 1:2000 dilution.
-
ARG40918 anti-IGF2 antibody FACS image
Flow Cytometry: HeLa cells were fixed with 2% paraformaldehyde (10 min) and then permeabilized with 90% methanol for 10 min. The cells were then incubated in 2% BSA to block non-specific protein-protein interactions followed by ARG40918 anti-IGF2 antibody (green) at 1:25 dilution for 60 min at 37°C, followed by incubation with DyLight®488 labelled secondary antibody. Isotype control antibody (blue) was Rabbit IgG (1 ug/10^6 cells) used under the same conditions. Acquisition of >10000 events was performed.
