ARG40890
anti-IHH / Indian hedgehog antibody
anti-IHH / Indian hedgehog antibody for IHC-Formalin-fixed paraffin-embedded sections,Western blot and Human
Overview
| Product Description | Rabbit Polyclonal antibody recognizes IHH / Indian hedgehog |
|---|---|
| Tested Reactivity | Hu |
| Predict Reactivity | Ms |
| Tested Application | IHC-P, WB |
| Host | Rabbit |
| Clonality | Polyclonal |
| Isotype | IgG |
| Target Name | IHH / Indian hedgehog |
| Antigen Species | Human |
| Immunogen | KLH-conjugated synthetic peptide corresponding to aa. 51-80 of Human IHH. |
| Conjugation | Un-conjugated |
| Alternate Names | BDA1; IHH; HHG2; Indian hedgehog protein; HHG-2 |
Application Instructions
| Application Suggestion |
|
||||||
|---|---|---|---|---|---|---|---|
| Application Note | * The dilutions indicate recommended starting dilutions and the optimal dilutions or concentrations should be determined by the scientist. | ||||||
| Observed Size | ~ 45 kDa |
Properties
| Form | Liquid |
|---|---|
| Purification | Purification with Protein A and immunogen peptide. |
| Buffer | PBS and 0.09% (W/V) Sodium azide. |
| Preservative | 0.09% (W/V) Sodium azide. |
| Storage Instruction | For continuous use, store undiluted antibody at 2-8°C for up to a week. For long-term storage, aliquot and store at -20°C or below. Storage in frost free freezers is not recommended. Avoid repeated freeze/thaw cycles. Suggest spin the vial prior to opening. The antibody solution should be gently mixed before use. |
| Note | For laboratory research only, not for drug, diagnostic or other use. |
Bioinformation
| Database Links | |
|---|---|
| Gene Symbol | IHH |
| Gene Full Name | indian hedgehog |
| Background | This gene encodes a member of the hedgehog family of secreted signaling molecules. Hedgehog proteins are essential regulators of a variety of developmental processes including growth, patterning and morphogenesis. The encoded protein specifically plays a role in bone growth an differentiation. Mutations in this gene are the cause of brachydactyly type A1 which is characterized by shortening or malformation of the phalanges. Mutations in this gene are also the cause of acrocapitofemoral dysplasia. [provided by RefSeq, Feb 2010] |
| Function | Intercellular signal essential for a variety of patterning events during development. Binds to the patched (PTC) receptor, which functions in association with smoothened (SMO), to activate the transcription of target genes. Implicated in endochondral ossification: may regulate the balance between growth and ossification of the developing bones. Induces the expression of parathyroid hormone-related protein (PTHRP) (By similarity). [UniProt] |
| Cellular Localization | Indian hedgehog protein N-product: Cell membrane; Lipid-anchor; Extracellular side. Note=The N-terminal peptide remains associated with the cell surface. Cell membrane. [UniProt] |
| Calculated MW | 45 kDa |
| PTM | The C-terminal domain displays an autoproteolysis activity and a cholesterol transferase activity. Both activities result in the cleavage of the full-length protein and covalent attachment of a cholesterol moiety to the C-terminal of the newly generated N-terminal fragment (N-product). The N-product is the active species in both local and long-range signaling, whereas the C-product has no signaling activity (By similarity). Cholesterylation is required for N-product targeting to lipid rafts and multimerization. Palmitoylated. N-palmitoylation is required for N-product multimerization and full activity. [UniProt] |
Images (2) Click the Picture to Zoom In
-
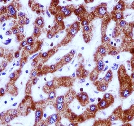
ARG40890 anti-IHH / Indian hedgehog antibody IHC-P image
Immunohistochemistry: Formalin-fixed and paraffin-embedded Human liver tissue stained with ARG40890 anti-IHH / Indian hedgehog antibody.
-
ARG40890 anti-IHH / Indian hedgehog antibody WB image
Western blot: 35 µg of HepG2 cell lysate stained with ARG40890 anti-IHH / Indian hedgehog antibody.
