ARG51779
anti-IKB beta phospho (Ser23) antibody
anti-IKB beta phospho (Ser23) antibody for IHC-Formalin-fixed paraffin-embedded sections,Western blot and Human,Mouse,Rat
Gene Regulation antibody; Immune System antibody; Signaling Transduction antibody
Overview
| Product Description | Rabbit Polyclonal antibody recognizes IKB beta phospho (Ser23) |
|---|---|
| Tested Reactivity | Hu, Ms, Rat |
| Tested Application | IHC-P, WB |
| Host | Rabbit |
| Clonality | Polyclonal |
| Isotype | IgG |
| Target Name | IKB beta |
| Antigen Species | Human |
| Immunogen | Peptide sequence around phosphorylation site of serine 23 (L-G-S(p)-L-G) derived from Human IκB-β. |
| Conjugation | Un-conjugated |
| Alternate Names | NF-kappa-B inhibitor beta; IkappaBbeta; NF-kappa-BIB; IkB-beta; TR-interacting protein 9; TRIP-9; I-kappa-B-beta; IKBB; Thyroid receptor-interacting protein 9; IkB-B; TRIP9 |
Application Instructions
| Application Suggestion |
|
||||||
|---|---|---|---|---|---|---|---|
| Application Note | * The dilutions indicate recommended starting dilutions and the optimal dilutions or concentrations should be determined by the scientist. |
Properties
| Form | Liquid |
|---|---|
| Purification | Antibodies were produced by immunizing rabbits with KLH-conjugated synthetic phosphopeptide. Antibodies were purified by affinity-chromatography using epitope-specific phosphopeptide. In addition, non-phospho specific antibodies were removed by chromatogramphy using non-phosphopeptide. |
| Buffer | PBS (without Mg2+ and Ca2+, pH 7.4), 150mM NaCl, 0.02% Sodium azide and 50% Glycerol. |
| Preservative | 0.02% Sodium azide |
| Stabilizer | 50% Glycerol |
| Concentration | 1 mg/ml |
| Storage Instruction | For continuous use, store undiluted antibody at 2-8°C for up to a week. For long-term storage, aliquot and store at -20°C. Storage in frost free freezers is not recommended. Avoid repeated freeze/thaw cycles. Suggest spin the vial prior to opening. The antibody solution should be gently mixed before use. |
| Note | For laboratory research only, not for drug, diagnostic or other use. |
Bioinformation
| Database Links | |
|---|---|
| Gene Symbol | NFKBIB |
| Gene Full Name | nuclear factor of kappa light polypeptide gene enhancer in B-cells inhibitor, beta |
| Background | Inhibits NF-kappa-B by complexing with and trapping it in the cytoplasm. However, the unphosphorylated form resynthesized after cell stimulation is able to bind NF-kappa-B allowing its transport to the nucleus and protecting it to further IKBA-dependent inactivation. Association with inhibitor kappa B-interacting NKIRAS1 and NKIRAS2 prevent its phosphorylation rendering it more resistant to degradation, explaining its slower degradation. |
| Function | Inhibits NF-kappa-B by complexing with and trapping it in the cytoplasm. However, the unphosphorylated form resynthesized after cell stimulation is able to bind NF-kappa-B allowing its transport to the nucleus and protecting it to further NFKBIA-dependent inactivation. Association with inhibitor kappa B-interacting NKIRAS1 and NKIRAS2 prevent its phosphorylation rendering it more resistant to degradation, explaining its slower degradation. [UniProt] |
| Research Area | Gene Regulation antibody; Immune System antibody; Signaling Transduction antibody |
| Calculated MW | 38 kDa |
| PTM | Phosphorylated by RPS6KA1; followed by degradation. Interaction with NKIRAS1 and NKIRAS2 probably prevents phosphorylation. |
Images (2) Click the Picture to Zoom In
-
ARG51779 anti-IKB beta phospho (Ser23) antibody WB image
Western blot: Extracts from HT29 cells, treated with CA or calf intestinal phosphatase (CIP), stained with ARG51779 anti-IKB beta phospho (Ser23) antibody.
-
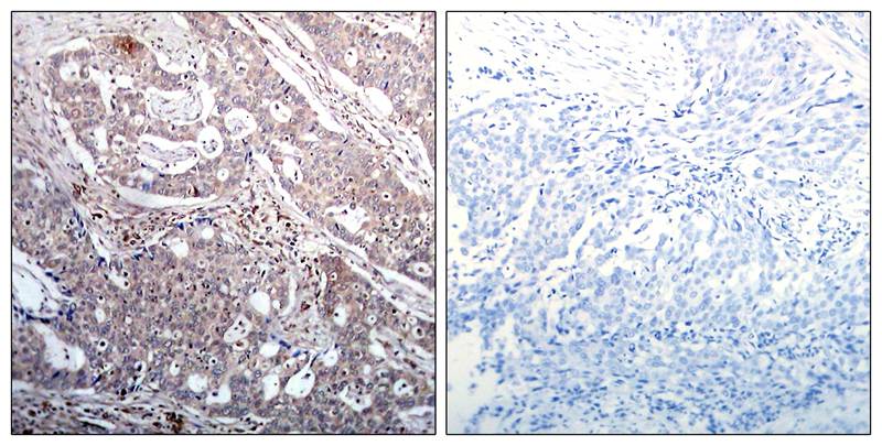
ARG51779 anti-IKB beta phospho (Ser23) antibody IHC-P image
Immunohistochemistry: Paraffin-embedded Human breast carcinoma tissue stained with ARG51779 anti-IKB beta phospho (Ser23) antibody (left) or the same antibody preincubated with blocking peptide (right).
