ARG46720
anti-IL17 / IL17A antibody
anti-IL17 / IL17A antibody for IHC-Formalin-fixed paraffin-embedded sections,Western blot and Human,Mouse,Rat
Cancer antibody; Immune System antibody
Overview
| Product Description | Rabbit Polyclonal antibody recognizes IL17 / IL17A |
|---|---|
| Tested Reactivity | Hu, Ms, Rat |
| Tested Application | IHC-P, WB |
| Host | Rabbit |
| Clonality | Polyclonal |
| Isotype | IgG |
| Target Name | IL17 / IL17A |
| Conjugation | Un-conjugated |
| Alternate Names | IL-17A; Interleukin-17A; IL-17; CTLA8; IL17; CTLA-8; Cytotoxic T-lymphocyte-associated antigen 8 |
Application Instructions
| Application Suggestion |
|
||||||
|---|---|---|---|---|---|---|---|
| Application Note | * The dilutions indicate recommended starting dilutions and the optimal dilutions or concentrations should be determined by the scientist. |
Properties
| Form | Liquid |
|---|---|
| Purification | Affinity chromatography purified |
| Buffer | PBS, Sodium azide and 50% Glycerol |
| Preservative | Sodium azide |
| Stabilizer | 50% Glycerol |
| Storage Instruction | For continuous use, store undiluted antibody at 2-8°C for up to a week. For long-term storage, aliquot and store at -20°C or below. Storage in frost free freezers is not recommended. Avoid repeated freeze/thaw cycles. Suggest spin the vial prior to opening. The antibody solution should be gently mixed before use. |
| Note | For laboratory research only, not for drug, diagnostic or other use. |
Bioinformation
| Database Links | |
|---|---|
| Gene Symbol | IL17A |
| Gene Full Name | interleukin 17A |
| Background | The protein encoded by this gene is a proinflammatory cytokine produced by activated T cells. This cytokine regulates the activities of NF-kappaB and mitogen-activated protein kinases. This cytokine can stimulate the expression of IL6 and cyclooxygenase-2 (PTGS2/COX-2), as well as enhance the production of nitric oxide (NO). High levels of this cytokine are associated with several chronic inflammatory diseases including rheumatoid arthritis, psoriasis and multiple sclerosis. [provided by RefSeq, Jul 2008] |
| Function | Induces stromal cells to produce proinflammatory and hematopoietic cytokines. Enhances the surface expression of ICAM1/intracellular adhesion molecule 1 in fibroblasts. [UniProt] |
| Highlight | Related products: IL17 antibodies; IL17 ELISA Kits; IL17 recombinant proteins; Anti-Rabbit IgG secondary antibodies; |
| Research Area | Cancer antibody; Immune System antibody |
| Calculated MW | 18 kDa |
| PTM | Found both in glycosylated and nonglycosylated forms. |
Images (5) Click the Picture to Zoom In
-
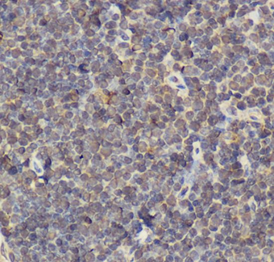
ARG46720 anti-IL17 / IL17A antibody IHC-P image
Immunohistochemistry: Human tonsil stained with ARG46720 anti-IL17 / IL17A antibody.
-
ARG46720 anti-IL17 / IL17A antibody IHC-P image
Immunohistochemistry: Human tonsil stained with ARG46720 anti-IL17 / IL17A antibody.
-
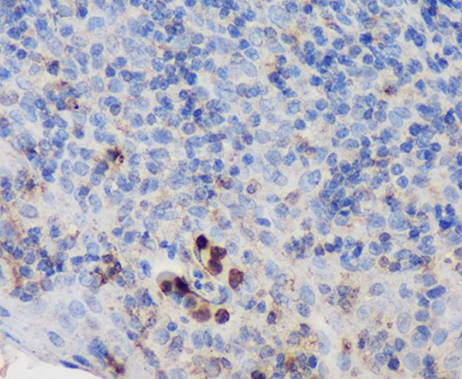
ARG46720 anti-IL17 / IL17A antibody IHC-P image
Immunohistochemistry: Rat spleen stained with ARG46720 anti-IL17 / IL17A antibody.
-
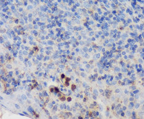
ARG46720 anti-IL17 / IL17A antibody IHC-P image
Immunohistochemistry: Mouse thymus stained with ARG46720 anti-IL17 / IL17A antibody.
-
ARG46720 anti-IL17 / IL17A antibody WB image
Western blot: Recombinant Human IL17 / IL17A Protein stained with ARG46720 anti-IL17 / IL17A antibody.
