ARG40177
anti-IL37 / IL1F7 / FIL1 zeta antibody
anti-IL37 / IL1F7 / FIL1 zeta antibody for IHC-Formalin-fixed paraffin-embedded sections,Western blot and Human
Overview
| Product Description | Rabbit Polyclonal antibody recognizes IL37 / IL1F7 / FIL1 zeta |
|---|---|
| Tested Reactivity | Hu |
| Tested Application | IHC-P, WB |
| Specificity | The antibody is Human specific. Multiple isoforms of IL37 are known to exist. The antibody will only detect the largest isoform. The antibody is predicted to not cross-react with IL36. |
| Host | Rabbit |
| Clonality | Polyclonal |
| Isotype | IgG |
| Target Name | IL37 / IL1F7 / FIL1 zeta |
| Antigen Species | Human |
| Immunogen | A 17 amino acid peptide within aa. 30-80 of Human IL37. |
| Conjugation | Un-conjugated |
| Alternate Names | Interleukin-1 zeta; IL-1 zeta; FIL1; Interleukin-37; IL-1X; IL-1F7; FIL1 zeta; IL-1H4; Interleukin-1 homolog 4; FIL1Z; IL1H4; Interleukin-1 family member 7; Interleukin-23; IL-37; FIL1(ZETA); IL-1H; IL-1RP1; IL1RP1; IL1F7; Interleukin-1-related protein |
Application Instructions
| Application Suggestion |
|
||||||
|---|---|---|---|---|---|---|---|
| Application Note | * The dilutions indicate recommended starting dilutions and the optimal dilutions or concentrations should be determined by the scientist. | ||||||
| Positive Control | Human lung and Human kidney | ||||||
| Observed Size | 23 kDa |
Properties
| Form | Liquid |
|---|---|
| Purification | Affinity purification with immunogen. |
| Buffer | PBS and 0.02% Sodium azide |
| Preservative | 0.02% Sodium azide |
| Concentration | 1 mg/ml |
| Storage Instruction | For continuous use, store undiluted antibody at 2-8°C for up to a week. For long-term storage, aliquot and store at -20°C or below. Storage in frost free freezers is not recommended. Avoid repeated freeze/thaw cycles. Suggest spin the vial prior to opening. The antibody solution should be gently mixed before use. |
| Note | For laboratory research only, not for drug, diagnostic or other use. |
Bioinformation
| Database Links | |
|---|---|
| Gene Symbol | IL37 |
| Gene Full Name | interleukin 37 |
| Background | The protein encoded by this gene is a member of the interleukin 1 cytokine family. This cytokine can bind to, and may be a ligand for interleukin 18 receptor (IL18R1/IL-1Rrp). This cytokine also binds to interleukin 18 binding protein (IL18BP), an inhibitory binding protein of interleukin 18 (IL18), and subsequently forms a complex with IL18 receptor beta subunit, and through which it inhibits the activity of IL18. This gene along with eight other interleukin 1 family genes form a cytokine gene cluster on chromosome 2. Five alternatively spliced transcript variants encoding distinct isoforms have been reported. [provided by RefSeq, Jul 2008] |
| Function | Suppressor of innate inflammatory and immune responses involved in curbing excessive inflammation. This function requires SMAD3. Suppresses, or reduces, proinflammatory cytokine production, including IL1A and IL6, as well as CCL12, CSF1, CSF2, CXCL13, IL1B, IL23A and IL1RN, but spares anti-inflammatory cytokines. Inhibits dendritic cell activation. [UniProt] |
| Cellular Localization | Cytoplasm, cytosol. Nucleus. Secreted. Note=Stimulation with IL1B leads to colocalization with SMAD3 mostly in perinuclear regions (PubMed:20935647). Only the CASP1-cleaved mature form translocates into the nucleus upon LPS stimulation (PubMed:18390730). [UniProt] |
| Calculated MW | 24 kDa |
| PTM | Proteolytically converted to the mature form by CASP1. [UniProt] |
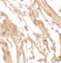
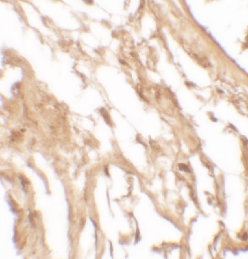
Images (3) Click the Picture to Zoom In
-
ARG40177 anti-IL37 / IL1F7 / FIL1 zeta antibody IHC-P image
Immunohistochemistry: Paraffin-embedded Human kidney tissue stained with ARG40177 anti-IL37 / IL1F7 / FIL1 zeta antibody at 20 µg/ml dilution.
-
ARG40177 anti-IL37 / IL1F7 / FIL1 zeta antibody WB image
Western blot: Human lung lysates stained with ARG40177 anti-IL37 / IL1F7 / FIL1 zeta antibody at 1 µg/ml dilution in the absence (left) and the presence (right) of blocking peptide.
-
ARG40177 anti-IL37 / IL1F7 / FIL1 zeta antibody IHC-P image
Immunohistochemistry: Paraffin-embedded Human kidney tissue stained with ARG40177 anti-IL37 / IL1F7 / FIL1 zeta antibody at 5 µg/ml dilution.
