ARG67109
anti-ILKAP antibody
anti-ILKAP antibody for ICC/IF,IHC-Formalin-fixed paraffin-embedded sections,Western blot and Human,Mouse,Rat,Monkey
Overview
| Product Description | Rabbit Polyclonal antibody recognizes ILKAP |
|---|---|
| Tested Reactivity | Hu, Ms, Rat, Mk |
| Tested Application | ICC/IF, IHC-P, WB |
| Host | Rabbit |
| Clonality | Polyclonal |
| Isotype | IgG |
| Target Name | ILKAP |
| Antigen Species | Human |
| Immunogen | Human ILKAP Synthesized peptide |
| Conjugation | Un-conjugated |
| Alternate Names | ILKAP; ILK Associated Serine/Threonine Phosphatase; Integrin-Linked Kinase-Associated Serine/Threonine Phosphatase 2C; PPM1O; Protein Phosphatase, Mg2+/Mn2+ Dependent 1O; DKFZP434J2031 |
Application Instructions
| Application Suggestion |
|
||||||||
|---|---|---|---|---|---|---|---|---|---|
| Application Note | * The dilutions indicate recommended starting dilutions and the optimal dilutions or concentrations should be determined by the scientist. |
Properties
| Form | Liquid |
|---|---|
| Purification | Affinity purification with immunogen. |
| Buffer | PBS (pH 7.4), 0.02% Sodium azide, 50% Glycerol and 0.5% BSA. |
| Preservative | 0.02% Sodium azide |
| Stabilizer | 50% Glycerol and 0.5% BSA |
| Storage Instruction | For continuous use, store undiluted antibody at 2-8°C for up to a week. For long-term storage, aliquot and store at -20°C. Storage in frost free freezers is not recommended. Avoid repeated freeze/thaw cycles. Suggest spin the vial prior to opening. The antibody solution should be gently mixed before use. |
| Note | For laboratory research only, not for drug, diagnostic or other use. |
Bioinformation
| Database Links | |
|---|---|
| Gene Symbol | ILKAP |
| Gene Full Name | ILK Associated Serine/Threonine Phosphatase |
| Background | The protein encoded by this gene is a protein serine/threonine phosphatase of the PP2C family. This protein can interact with integrin-linked kinase (ILK/ILK1), a regulator of integrin mediated signaling, and regulate the kinase activity of ILK. Through the interaction with ILK, this protein may selectively affect the signaling process of ILK-mediated glycogen synthase kinase 3 beta (GSK3beta), and thus participate in Wnt signaling pathway. |
| Function | Protein phosphatase that may play a role in regulation of cell cycle progression via dephosphorylation of its substrates whose appropriate phosphorylation states might be crucial for cell proliferation. Selectively associates with integrin linked kinase (ILK), to modulate cell adhesion and growth factor signaling. Inhibits the ILK-GSK3B signaling axis and may play an important role in inhibiting oncogenic transformation. |
| Cellular Localization | Cytoplasm |
| Calculated MW | 43 kDa |
Images (3) Click the Picture to Zoom In
-
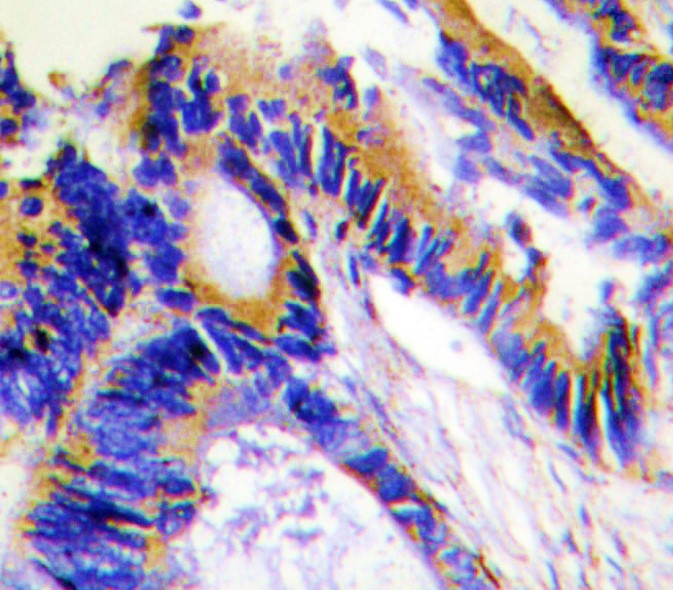
ARG67109 anti-ILKAP antibody IHC-P image
Immunohistochemistry: Human colon carcinoma stained with ARG67109 anti-ILKAP antibody.
-
ARG67109 anti-ILKAP antibody WB image
Western blot: HeLa stained with ARG67109 anti-ILKAP antibody.
-
ARG67109 anti-ILKAP antibody WB image
Western blot: COS7 stained with ARG67109 anti-ILKAP antibody.
