ARG40364
anti-INSRR / IRR (alpha chain) antibody
anti-INSRR / IRR (alpha chain) antibody for IHC-Formalin-fixed paraffin-embedded sections,Western blot and Human,Mouse,Rat
Overview
| Product Description | Rabbit Polyclonal antibody recognizes INSRR / IRR (alpha chain) |
|---|---|
| Tested Reactivity | Hu, Ms, Rat |
| Tested Application | IHC-P, WB |
| Host | Rabbit |
| Clonality | Polyclonal |
| Isotype | IgG |
| Target Name | INSRR / IRR (alpha chain) |
| Antigen Species | Human |
| Immunogen | KLH-conjugated synthetic peptide between aa. 27-57 of Human INSRR. |
| Conjugation | Un-conjugated |
| Alternate Names | Insulin receptor-related protein; IRR; EC 2.7.10.1; IR-related receptor; Insulin Receptor R |
Application Instructions
| Application Suggestion |
|
||||||
|---|---|---|---|---|---|---|---|
| Application Note | * The dilutions indicate recommended starting dilutions and the optimal dilutions or concentrations should be determined by the scientist. | ||||||
| Positive Control | SH-SY5Y |
Properties
| Form | Liquid |
|---|---|
| Purification | Purification with Protein A and immunogen peptide. |
| Buffer | PBS and 0.09% (W/V) Sodium azide. |
| Preservative | 0.09% (W/V) Sodium azide. |
| Storage Instruction | For continuous use, store undiluted antibody at 2-8°C for up to a week. For long-term storage, aliquot and store at -20°C or below. Storage in frost free freezers is not recommended. Avoid repeated freeze/thaw cycles. Suggest spin the vial prior to opening. The antibody solution should be gently mixed before use. |
| Note | For laboratory research only, not for drug, diagnostic or other use. |
Bioinformation
| Database Links | |
|---|---|
| Gene Symbol | INSRR |
| Gene Full Name | insulin receptor-related receptor |
| Function | Receptor with tyrosine-protein kinase activity. Functions as a pH sensing receptor which is activated by increased extracellular pH. Activates an intracellular signaling pathway that involves IRS1 and AKT1/PKB. [UniProt] |
| Cellular Localization | Membrane; Single-pass type I membrane protein. [UniProt] |
| Calculated MW | 144 kDa |
| PTM | Autophosphorylated on tyrosine residues between pH 7.9 and pH 10.5. [UniProt] |
Images (2) Click the Picture to Zoom In
-
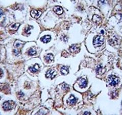
ARG40364 anti-INSRR / IRR (alpha chain) antibody IHC-P image
Immunohistochemistry: Formalin-fixed and paraffin-embedded Human testis stained with ARG40364 anti-INSRR / IRR (alpha chain) antibody.
-
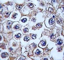
ARG40364 anti-INSRR / IRR (alpha chain) antibody WB image
Western blot: 20 µg of SH-SY5Y whole cell lysate stained with ARG40364 anti-INSRR / IRR (alpha chain) antibody at 1:2000 dilution.
