ARG45900
anti-IQCM antibody
anti-IQCM antibody for Western blot,IHC-Formalin-fixed paraffin-embedded sections and Human,Mouse,Rat
Overview
| Product Description | Rabbit Polyclonal antibody recognizes IQCM |
|---|---|
| Tested Reactivity | Hu, Ms, Rat |
| Tested Application | IHC-P, WB |
| Host | Rabbit |
| Clonality | Polyclonal |
| Isotype | IgG |
| Target Name | IQCM |
| Antigen Species | Human |
| Immunogen | Recombinant protein containing to human IQCM. |
| Conjugation | Un-conjugated |
| Alternate Names | IQ Motif Containing M; IQCM; IQ domain-containing protein M |
Application Instructions
| Application Suggestion |
|
||||||
|---|---|---|---|---|---|---|---|
| Application Note | * The dilutions indicate recommended starting dilutions and the optimal dilutions or concentrations should be determined by the scientist. | ||||||
| Observed Size | 60 kDa |
Properties
| Form | Liquid |
|---|---|
| Purification | Affinity chromatography purified |
| Buffer | 0.2% Na2HPO4, 0.9% NaCl and 4% Trehalose. |
| Stabilizer | 4% Trehalose |
| Concentration | 0.5 mg/ml |
| Storage Instruction | For continuous use, store undiluted antibody at 2-8°C for up to a week. For long-term storage, aliquot and store at -22°C or below. Storage in frost free freezers is not recommended. Avoid repeated freeze/thaw cycles. Suggest spin the vial prior to opening. The antibody solution should be gently mixed before use. |
| Note | For laboratory research only, not for drug, diagnostic or other use. |
Bioinformation
| Gene Symbol | IQCM |
|---|---|
| Gene Full Name | IQ Motif Containing M |
| Calculated MW | 60 kDa |
Images (5) Click the Picture to Zoom In
-
ARG45900 anti-IQCM antibody WB image
Western blot: Hela stained with ARG45900 anti-IQCM antibody at 0.5 μg/ml dilution.
-
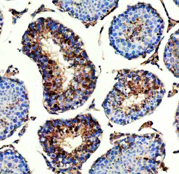
ARG45900 anti-IQCM antibody IHC-P image
Immunohistochemistry: Rat testis stained with ARG45900 anti-IQCM antibody at 2 μg/ml dilution.
-
ARG45900 anti-IQCM antibody WB image
Western blot: C6 stained with ARG45900 anti-IQCM antibody at 0.5 μg/ml dilution.
-
ARG45900 anti-IQCM antibody IHC-P image
Immunohistochemistry: Mouse testis stained with ARG45900 anti-IQCM antibody at 2 μg/ml dilution.
-
ARG45900 anti-IQCM antibody WB image
Western blot: Mouse testis stained with ARG45900 anti-IQCM antibody at 0.5 μg/ml dilution.
