ARG40374
anti-IRAK2 antibody
anti-IRAK2 antibody for IHC-Formalin-fixed paraffin-embedded sections,Western blot and Human,Rat
Overview
| Product Description | Rabbit Polyclonal antibody recognizes IRAK2 |
|---|---|
| Tested Reactivity | Hu, Rat |
| Predict Reactivity | Ms, Hm |
| Tested Application | IHC-P, WB |
| Host | Rabbit |
| Clonality | Polyclonal |
| Isotype | IgG |
| Target Name | IRAK2 |
| Antigen Species | Human |
| Immunogen | Synthetic peptide corresponding to aa. 600-616 of Human IRAK2. (EAKRKLMENILLYKEEK) |
| Conjugation | Un-conjugated |
| Alternate Names | IRAK-2; Interleukin-1 receptor-associated kinase-like 2 |
Application Instructions
| Application Suggestion |
|
||||||
|---|---|---|---|---|---|---|---|
| Application Note | IHC-P: Antigen Retrieval: By heat mediation. * The dilutions indicate recommended starting dilutions and the optimal dilutions or concentrations should be determined by the scientist. |
||||||
| Observed Size | 70 kDa |
Properties
| Form | Liquid |
|---|---|
| Purification | Affinity purification with immunogen. |
| Buffer | 0.2% Na2HPO4, 0.9% NaCl, 0.05% Thimerosal, 0.05% Sodium azide and 5% BSA. |
| Preservative | 0.05% Thimerosal and 0.05% Sodium azide |
| Stabilizer | 5% BSA |
| Concentration | 0.5 mg/ml |
| Storage Instruction | For continuous use, store undiluted antibody at 2-8°C for up to a week. For long-term storage, aliquot and store at -20°C or below. Storage in frost free freezers is not recommended. Avoid repeated freeze/thaw cycles. Suggest spin the vial prior to opening. The antibody solution should be gently mixed before use. |
| Note | For laboratory research only, not for drug, diagnostic or other use. |
Bioinformation
| Database Links |
Swiss-port # O43187 Human Interleukin-1 receptor-associated kinase-like 2 Swiss-port # Q4QQS0 Rat Interleukin-1 receptor-associated kinase-like 2 |
|---|---|
| Gene Symbol | IRAK2 |
| Gene Full Name | interleukin-1 receptor-associated kinase 2 |
| Background | IRAK2 encodes the interleukin-1 receptor-associated kinase 2, one of two putative serine/threonine kinases that become associated with the interleukin-1 receptor (IL1R) upon stimulation. IRAK2 is reported to participate in the IL1-induced upregulation of NF-kappaB. [provided by RefSeq, Jul 2008] |
| Function | Binds to the IL-1 type I receptor following IL-1 engagement, triggering intracellular signaling cascades leading to transcriptional up-regulation and mRNA stabilization. [UniProt] |
| Calculated MW | 69 kDa |
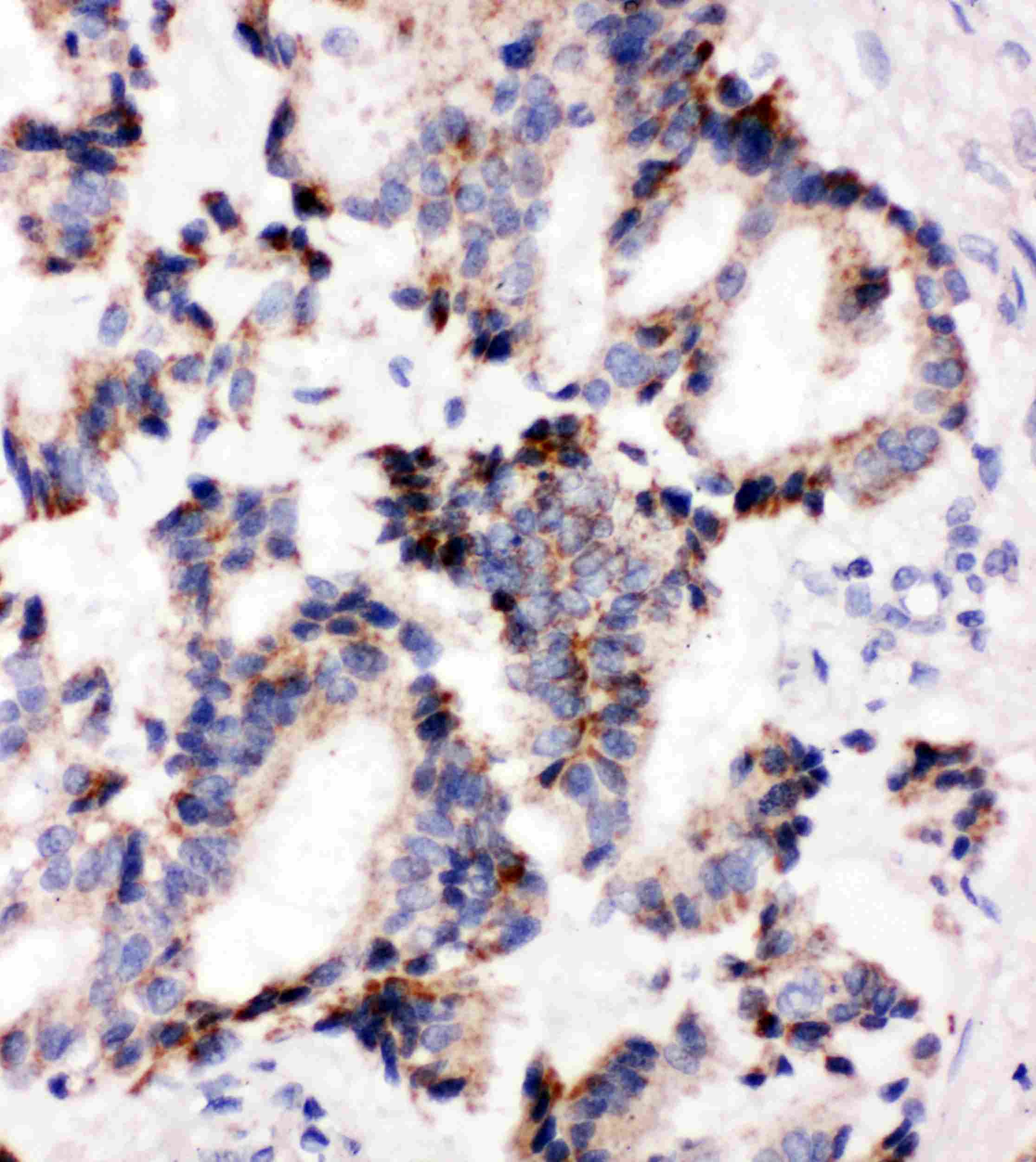
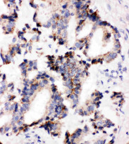
Images (3) Click the Picture to Zoom In
-
ARG40374 anti-IRAK2 antibody IHC-P image
Immunohistochemistry: Paraffin-embedded Human lung cancer tissue stained with ARG40374 anti-IRAK2 antibody.
-
ARG40374 anti-IRAK2 antibody WB image
Western blot: 22RV, A549, PANC and SMMC-7721 cell lysates stained with ARG40374 anti-IRAK2 antibody.
-
ARG40374 anti-IRAK2 antibody IHC-P image
Immunohistochemistry: Paraffin-embedded Rat spleen stained with ARG40374 anti-IRAK2 antibody.
