ARG46215
anti-IRF2BP2 antibody
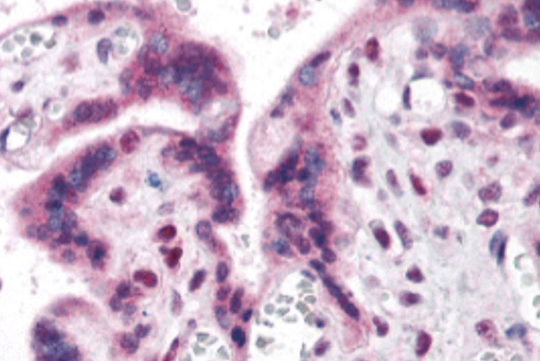
anti-IRF2BP2 antibody for IHC-Formalin-fixed paraffin-embedded sections and Human
Overview
| Product Description | Rabbit Polyclonal antibody recognizes IRF2BP2 |
|---|---|
| Tested Reactivity | Hu |
| Tested Application | IHC-P |
| Host | Rabbit |
| Clonality | Polyclonal |
| Isotype | IgG |
| Target Name | IRF2BP2 |
| Antigen Species | Human |
| Immunogen | A 17 amino acid synthetic peptide within aa. 150 - 200 of human IRF2BP2. |
| Conjugation | Un-conjugated |
| Alternate Names | interferon regulatory factor 2 binding protein 2; IRF2BP2; Interferon regulatory factor 2-binding protein 2; IRF-2-binding protein 2 |
Application Instructions
| Application Suggestion |
|
||||
|---|---|---|---|---|---|
| Application Note | * The dilutions indicate recommended starting dilutions and the optimal dilutions or concentrations should be determined by the scientist. |
Properties
| Form | Liquid |
|---|---|
| Purification | Affinity chromatography purified |
| Buffer | PBS and 0.02% Sodium azide. |
| Preservative | 0.02% Sodium azide |
| Concentration | 1 mg/ml |
| Storage Instruction | For continuous use, store undiluted antibody at 2-8°C for up to a week. For long-term storage, aliquot and store at -265°C or below. Storage in frost free freezers is not recommended. Avoid repeated freeze/thaw cycles. Suggest spin the vial prior to opening. The antibody solution should be gently mixed before use. |
| Note | For laboratory research only, not for drug, diagnostic or other use. |
Bioinformation
| Database Links |
Swiss-port # Q7Z5L9 Human Interferon regulatory factor 2-binding protein 2 |
|---|---|
| Gene Symbol | IRF2BP2 |
| Gene Full Name | interferon regulatory factor 2 binding protein 2 |
| Background | This gene encodes an interferon regulatory factor-2 (IRF2) binding protein that interacts with the C-terminal transcriptional repression domain of IRF2. Alternative splicing results in multiple transcript variants encoding distinct isoforms. [provided by RefSeq, Jul 2008] |
| Function | Acts as a transcriptional corepressor in a IRF2-dependent manner; this repression is not mediated by histone deacetylase activities. [UniProt] |
| Cellular Localization | Cytoplasm; Nucleus. [UniProt] |
| Calculated MW | 61 kDa |
| PTM | Phosphoprotein; Isopeptide bond; Ubl conjugation; Acetylation. [UniProt] |
Images (1) Click the Picture to Zoom In
