ARG40961
anti-IRF8 antibody
anti-IRF8 antibody for IHC-Formalin-fixed paraffin-embedded sections,Western blot and Human
Overview
| Product Description | Rabbit Polyclonal antibody recognizes IRF8 |
|---|---|
| Tested Reactivity | Hu |
| Predict Reactivity | Ms, Rat, Cow, Dog, Gpig, Hrs, Rb, Zfsh |
| Tested Application | IHC-P, WB |
| Host | Rabbit |
| Clonality | Polyclonal |
| Isotype | IgG |
| Target Name | IRF8 |
| Antigen Species | Human |
| Immunogen | Synthetic peptide around the N-terminal region of Human IRF8. (within the following region: MFRIPWKHAGKQDYNQEVDASIFKAWAVFKGKFKEGDKAEPATWKTRLRC) |
| Conjugation | Un-conjugated |
| Alternate Names | H-ICSBP; ICSBP; ICSBP1; IRF-8; IMD32A; IMD32B; Interferon consensus sequence-binding protein; Interferon regulatory factor 8 |
Application Instructions
| Predict Reactivity Note | Predicted Homology Based On Immunogen Sequence: Cow: 100%; Dog: 100%; Guinea pig: 100%; Horse: 100%; Mouse: 100%; Rabbit: 100%; Rat: 100%; Zebrafish: 100% | ||||||
|---|---|---|---|---|---|---|---|
| Application Suggestion |
|
||||||
| Application Note | * The dilutions indicate recommended starting dilutions and the optimal dilutions or concentrations should be determined by the scientist. |
Properties
| Form | Liquid |
|---|---|
| Purification | Affinity purified. |
| Buffer | PBS, 0.09% (w/v) Sodium azide and 2% Sucrose. |
| Preservative | 0.09% (w/v) Sodium azide |
| Stabilizer | 2% Sucrose |
| Concentration | Batch dependent: 0.5 - 1 mg/ml |
| Storage Instruction | For continuous use, store undiluted antibody at 2-8°C for up to a week. For long-term storage, aliquot and store at -20°C or below. Storage in frost free freezers is not recommended. Avoid repeated freeze/thaw cycles. Suggest spin the vial prior to opening. The antibody solution should be gently mixed before use. |
| Note | For laboratory research only, not for drug, diagnostic or other use. |
Bioinformation
| Database Links | |
|---|---|
| Gene Symbol | IRF8 |
| Gene Full Name | interferon regulatory factor 8 |
| Background | Interferon consensus sequence-binding protein (ICSBP) is a transcription factor of the interferon (IFN) regulatory factor (IRF) family. Proteins of this family are composed of a conserved DNA-binding domain in the N-terminal region and a divergent C-terminal region that serves as the regulatory domain. The IRF family proteins bind to the IFN-stimulated response element (ISRE) and regulate expression of genes stimulated by type I IFNs, namely IFN-alpha and IFN-beta. IRF family proteins also control expression of IFN-alpha and IFN-beta-regulated genes that are induced by viral infection. [provided by RefSeq, Jul 2008] |
| Function | Specifically binds to the upstream regulatory region of type I IFN and IFN-inducible MHC class I genes (the interferon consensus sequence (ICS)). Plays a negative regulatory role in cells of the immune system. Involved in CD8(+) dendritic cell differentiation by forming a complex with the BATF-JUNB heterodimer in immune cells, leading to recognition of AICE sequence (5'-TGAnTCA/GAAA-3'), an immune-specific regulatory element, followed by cooperative binding of BATF and IRF8 and activation of genes (By similarity). [UniProt] |
| Cellular Localization | Nucleus. Cytoplasm. Note=In resting macrophages, localizes in the cytoplasm. Translocated in the nucleus upon IFN-gamma induction. [UniProt] |
| Calculated MW | 48 kDa |
| PTM | Ubiquitinated (PubMed:25122610). Ubiquitination by TRIM21 in macrophages, a process that is strongly increased upon interferon gamma stimulation, leds to the enhanced transcriptional activity of target cytokine genes (By similarity). Ubiquitination leads to its degradation by the proteasome (PubMed:25122610). Sumoylated with SUMO3. Desumoylated by SENP1. [UniProt] |
Images (3) Click the Picture to Zoom In
-
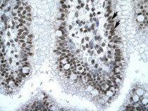
ARG40961 anti-IRF8 antibody IHC-P image
Immunohistochemistry: Paraffin-embedded Human intestine tissue stained with ARG40961 anti-IRF8 antibody.
-
ARG40961 anti-IRF8 antibody WB image
Western blot: Human DLD1 whole cell lysate stained with ARG40961 anti-IRF8 antibody at 1 µg/ml dilution.
-
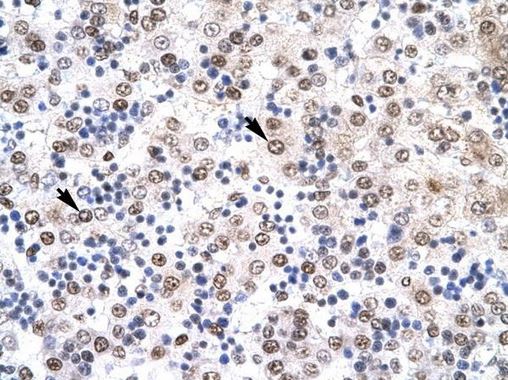
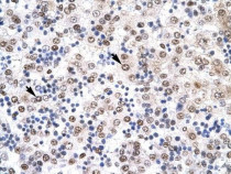
ARG40961 anti-IRF8 antibody IHC-P image
Immunohistochemistry: Paraffin-embedded Human liver tissue stained with ARG40961 anti-IRF8 antibody.
