ARG63235
anti-IRF8 antibody
anti-IRF8 antibody for IHC-Formalin-fixed paraffin-embedded sections,Western blot and Human
Gene Regulation antibody; Immune System antibody
Overview
| Product Description | Goat Polyclonal antibody recognizes IRF8 |
|---|---|
| Tested Reactivity | Hu |
| Predict Reactivity | Ms, Rat, Cow |
| Tested Application | IHC-P, WB |
| Host | Goat |
| Clonality | Polyclonal |
| Isotype | IgG |
| Target Name | IRF8 |
| Antigen Species | Human |
| Immunogen | C-QRSFFRENQQITV |
| Conjugation | Un-conjugated |
| Alternate Names | H-ICSBP; ICSBP; ICSBP1; IRF-8; IMD32A; IMD32B; Interferon consensus sequence-binding protein; Interferon regulatory factor 8 |
Application Instructions
| Application Suggestion |
|
||||||
|---|---|---|---|---|---|---|---|
| Application Note | WB: Recommend incubate at RT for 1h. IHC-P: Antigen Retrieval: Steam tissue section in Citrate buffer (pH 6.0). * The dilutions indicate recommended starting dilutions and the optimal dilutions or concentrations should be determined by the scientist. |
Properties
| Form | Liquid |
|---|---|
| Purification | Purified from goat serum by antigen affinity chromatography. |
| Buffer | Tris saline (pH 7.3), 0.02% Sodium azide and 0.5% BSA. |
| Preservative | 0.02% Sodium azide |
| Stabilizer | 0.5% BSA |
| Concentration | 0.5 mg/ml |
| Storage Instruction | For continuous use, store undiluted antibody at 2-8°C for up to a week. For long-term storage, aliquot and store at -20°C or below. Storage in frost free freezers is not recommended. Avoid repeated freeze/thaw cycles. Suggest spin the vial prior to opening. The antibody solution should be gently mixed before use. |
| Note | For laboratory research only, not for drug, diagnostic or other use. |
Bioinformation
| Database Links | |
|---|---|
| Background | Interferon consensus sequence-binding protein (ICSBP) is a transcription factor of the interferon (IFN) regulatory factor (IRF) family. Proteins of this family are composed of a conserved DNA-binding domain in the N-terminal region and a divergent C-terminal region that serves as the regulatory domain. The IRF family proteins bind to the IFN-stimulated response element (ISRE) and regulate expression of genes stimulated by type I IFNs, namely IFN-alpha and IFN-beta. IRF family proteins also control expression of IFN-alpha and IFN-beta-regulated genes that are induced by viral infection. [provided by RefSeq, Jul 2008] |
| Research Area | Gene Regulation antibody; Immune System antibody |
| Calculated MW | 48 kDa |
| PTM | Ubiquitinated (PubMed:25122610). Ubiquitination by TRIM21 in macrophages, a process that is strongly increased upon interferon gamma stimulation, leds to the enhanced transcriptional activity of target cytokine genes (By similarity). Ubiquitination leads to its degradation by the proteasome (PubMed:25122610). Sumoylated with SUMO3. Desumoylated by SENP1. |
Images (2) Click the Picture to Zoom In
-
ARG63235 anti-IRF8 antibody WB image
Western blot: 30 µg of K562 cell lysate (in RIPA buffer) stained with ARG63235 anti-IRF8 antibody at 1 µg/ml dilution and incubated at RT for 1 hour.
-
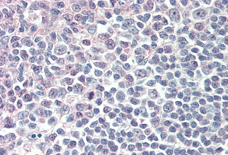
ARG63235 anti-IRF8 antibody IHC-P image
Immunohistochemistry: Paraffin-embedded Human tonsil tissue. Antigen Retrieval: Steam tissue section in Citrate buffer (pH 6.0). The tissue section was stained with ARG63235 anti-IRF8 antibody at 5 µg/ml dilution followed by AP-staining.
