ARG42144
anti-ITGB1BP2 / Melusin antibody
anti-ITGB1BP2 / Melusin antibody for IHC-Formalin-fixed paraffin-embedded sections,Western blot and Human
Overview
| Product Description | Rabbit Polyclonal antibody recognizes ITGB1BP2 / Melusin |
|---|---|
| Tested Reactivity | Hu |
| Predict Reactivity | Ms, Rat, Cow, Dog, Gpig, Hrs, Pig, Rb |
| Tested Application | IHC-P, WB |
| Host | Rabbit |
| Clonality | Polyclonal |
| Isotype | IgG |
| Target Name | ITGB1BP2 / Melusin |
| Antigen Species | Human |
| Immunogen | Synthetic peptide around the N-terminal region of Human ITGB1BP2 / Melusin. (within the following region: MSLLC RNKGC GQHFD PNTNL PDSCC HHPGV PIFHD ALKGW SCCRK RTVDF) |
| Conjugation | Un-conjugated |
| Alternate Names | CHORDC3; Integrin beta-1-binding protein 2; MSTP015; ITGB1BP; Melusin; MELUSIN |
Application Instructions
| Predict Reactivity Note | Predicted Homology Based on Immunogen Sequence: Cow: 93%; Dog: 93%; Guinea pig: 86%; Horse: 93%; Mouse: 100%; Pig: 93%; Rabbit: 100%; Rat: 100% | ||||||
|---|---|---|---|---|---|---|---|
| Application Suggestion |
|
||||||
| Application Note | * The dilutions indicate recommended starting dilutions and the optimal dilutions or concentrations should be determined by the scientist. | ||||||
| Positive Control | Human heart | ||||||
| Observed Size | ~ 40 kDa |
Properties
| Form | Liquid |
|---|---|
| Purification | Purification with Protein A. |
| Buffer | PBS, 0.09% (w/v) Sodium azide and 2% Sucrose. |
| Preservative | 0.09% (w/v) Sodium azide |
| Stabilizer | 2% Sucrose |
| Concentration | Batch dependent: 0.5 - 1 mg/ml |
| Storage Instruction | For continuous use, store undiluted antibody at 2-8°C for up to a week. For long-term storage, aliquot and store at -20°C or below. Storage in frost free freezers is not recommended. Avoid repeated freeze/thaw cycles. Suggest spin the vial prior to opening. The antibody solution should be gently mixed before use. |
| Note | For laboratory research only, not for drug, diagnostic or other use. |
Bioinformation
| Database Links | |
|---|---|
| Gene Symbol | ITGB1BP2 |
| Gene Full Name | integrin beta 1 binding protein (melusin) 2 |
| Background | This gene encodes a protein with two cysteine and histidine-rich (CHORD) domains, PXXP motifs, YXXI/P motifs, putative SH2 and SH3 domain binding motifs, and an acidic region at the C-terminus that can bind calcium. Two hybrid analysis showed that this protein interacts with the cytoplasmic domain of the beta 1 integrin subunit and is thought to act as a chaperone protein. Studies in the mouse ortholog of this gene indicate that absence of this gene in mouse results in failed cardiac hypertrophy in response to mechanical stress. Alternative splicing results in multiple transcript variants encoding different isoforms, including an isoform that lacks several domains, including one of the CHORD domains. [provided by RefSeq, May 2017] |
| Function | May play a role during maturation and/or organization of muscles cells. [UniProt] |
| Calculated MW | 38 kDa |
Images (2) Click the Picture to Zoom In
-
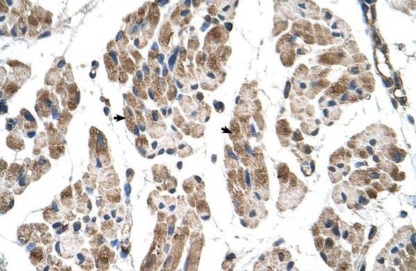
ARG42144 anti-ITGB1BP2 / Melusin antibody IHC-P image
Immunohistochemistry: Paraffin-embedded Human skeletal muscle tissue stained with ARG42144 anti-ITGB1BP2 / Melusin antibody at 4 - 8 µg/ml dilution.
-
ARG42144 anti-ITGB1BP2 / Melusin antibody WB image
Western blot: Human heart lysate stained with ARG42144 anti-ITGB1BP2 / Melusin antibody at 2.5 µg/ml dilution.
