ARG44486
anti-ITGB3BP antibody
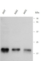
anti-ITGB3BP antibody for ICC/IF,Western blot and Human
Overview
| Product Description | Rabbit Polyclonal antibody recognizes ITGB3BP |
|---|---|
| Tested Reactivity | Hu |
| Tested Application | ICC/IF, WB |
| Host | Rabbit |
| Clonality | Polyclonal |
| Isotype | IgG |
| Target Name | ITGB3BP |
| Antigen Species | Human |
| Immunogen | Human ITGB3BP recombinant protein |
| Conjugation | Un-conjugated |
| Alternate Names | ITGB3BP; Integrin Subunit Beta 3 Binding Protein; NRIF3; CENPR; Centromere Protein R; HSU37139; TAP20; Integrin Beta 3 Binding Protein (Beta3-Endonexin); Nuclear Receptor-Interacting Factor 3; Integrin Beta-3-Binding Protein; Beta3-Endonexin; CENP-R; Beta 3 Endonexin |
Application Instructions
| Application Suggestion |
|
||||||
|---|---|---|---|---|---|---|---|
| Application Note | The dilutions indicate recommended starting dilutions and the optimal dilutions or concentrations should be determined by the scientist. |
Properties
| Form | Liquid |
|---|---|
| Purification | Affinity purified with Immunogen. |
| Buffer | 0.9% NaCl, 0.2% Na2HPO4, 0.05% Sodium azide and 4% Trehalose. |
| Preservative | 0.05% Sodium azide |
| Stabilizer | 4% Trehalose |
| Concentration | 0.5 mg/ml |
| Storage Instruction | For continuous use, store undiluted antibody at 2-8°C for up to a week. For long-term storage, aliquot and store at -20°C or below. Storage in frost free freezers is not recommended. Avoid repeated freeze/thaw cycles. Suggest spin the vial prior to opening. The antibody solution should be gently mixed before use. |
| Note | For laboratory research only, not for drug, diagnostic or other use. |
Bioinformation
| Database Links | |
|---|---|
| Gene Symbol | ITGB3BP |
| Gene Full Name | Integrin Subunit Beta 3 Binding Protein |
| Background | This gene encodes a transcriptional coregulator that binds to and enhances the activity of members of the nuclear receptor families, thyroid hormone receptors and retinoid X receptors. This protein also acts as a corepressor of NF-kappaB-dependent signaling. This protein induces apoptosis in breast cancer cells through a caspase 2-mediated signaling pathway. This protein is also a component of the centromere-specific histone H3 variant nucleosome associated complex (CENP-NAC) and may be involved in mitotic progression by recruiting the histone H3 variant CENP-A to the centromere. Alternate splicing results in multiple transcript variants. |
| Function | Transcription coregulator that can have both coactivator and corepressor functions. Isoform 1, but not other isoforms, is involved in the coactivation of nuclear receptors for retinoid X (RXRs) and thyroid hormone (TRs) in a ligand-dependent fashion. In contrast, it does not coactivate nuclear receptors for retinoic acid, vitamin D, progesterone receptor, nor glucocorticoid. Acts as a coactivator for estrogen receptor alpha. Acts as a transcriptional corepressor via its interaction with the NFKB1 NF-kappa-B subunit, possibly by interfering with the transactivation domain of NFKB1. Induces apoptosis in breast cancer cells, but not in other cancer cells, via a caspase-2 mediated pathway that involves mitochondrial membrane permeabilization but does not require other caspases. May also act as an inhibitor of cyclin A-associated kinase. Also acts a component of the CENPA-CAD (nucleosome distal) complex, a complex recruited to centromeres which is involved in assembly of kinetochore proteins, mitotic progression and chromosome segregation. May be involved in incorporati |
| Cellular Localization | Centromere, Chromosome, Cytoplasm, Kinetochore, Nucleus |
| Calculated MW | 20 kDa |
| PTM | Isopeptide bond, Phosphoprotein, Ubl conjugation |
Images (2) Click the Picture to Zoom In
