ARG58823
anti-ITPR3 / IP3R3 antibody
anti-ITPR3 / IP3R3 antibody for IHC-Formalin-fixed paraffin-embedded sections,Western blot and Human,Mouse,Rat
Overview
| Product Description | Rabbit Polyclonal antibody recognizes ITPR3 / IP3R3 |
|---|---|
| Tested Reactivity | Hu, Ms, Rat |
| Predict Reactivity | Chk |
| Tested Application | IHC-P, WB |
| Host | Rabbit |
| Clonality | Polyclonal |
| Isotype | IgG |
| Target Name | ITPR3 / IP3R3 |
| Antigen Species | Human |
| Immunogen | Synthetic peptide corresponding to aa. 70-95 of Human ITPR3 (QYWKAKQTKQDKEKIADVVLLQKLQH). |
| Conjugation | Un-conjugated |
| Alternate Names | IP3R; Type 3 inositol 1,4,5-trisphosphate receptor; Inositol 1,4,5-trisphosphate receptor type 3; Type 3 InsP3 receptor; InsP3R3; IP3R 3; IP3 receptor isoform 3; IP3R3 |
Application Instructions
| Application Suggestion |
|
||||||
|---|---|---|---|---|---|---|---|
| Application Note | IHC-P: Antigen Retrieval: By heat mediation. * The dilutions indicate recommended starting dilutions and the optimal dilutions or concentrations should be determined by the scientist. |
Properties
| Form | Liquid |
|---|---|
| Purification | Affinity purification with immunogen. |
| Buffer | 0.9% NaCl, 0.2% Na2HPO4, 0.05% Sodium azide and 5% BSA. |
| Preservative | 0.05% Sodium azide |
| Stabilizer | 5% BSA |
| Concentration | 0.5 mg/ml |
| Storage Instruction | For continuous use, store undiluted antibody at 2-8°C for up to a week. For long-term storage, aliquot and store at -20°C or below. Storage in frost free freezers is not recommended. Avoid repeated freeze/thaw cycles. Suggest spin the vial prior to opening. The antibody solution should be gently mixed before use. |
| Note | For laboratory research only, not for drug, diagnostic or other use. |
Bioinformation
| Database Links | |
|---|---|
| Gene Symbol | ITPR3 |
| Gene Full Name | inositol 1,4,5-trisphosphate receptor, type 3 |
| Background | This gene encodes a receptor for inositol 1,4,5-trisphosphate, a second messenger that mediates the release of intracellular calcium. The receptor contains a calcium channel at the C-terminus and the ligand-binding site at the N-terminus. Knockout studies in mice suggest that type 2 and type 3 inositol 1,4,5-trisphosphate receptors play a key role in exocrine secretion underlying energy metabolism and growth. [provided by RefSeq, Aug 2010] |
| Function | Receptor for inositol 1,4,5-trisphosphate, a second messenger that mediates the release of intracellular calcium. [UniProt] |
| Cellular Localization | Endoplasmic reticulum membrane; Multi-pass membrane protein. [UniProt] |
| Calculated MW | 304 kDa |
| PTM | Phosphorylated on tyrosine residues. Phosphorylated by AKT1 on serine and/or threonine residues (By similarity). [UniProt] |
Images (4) Click the Picture to Zoom In
-
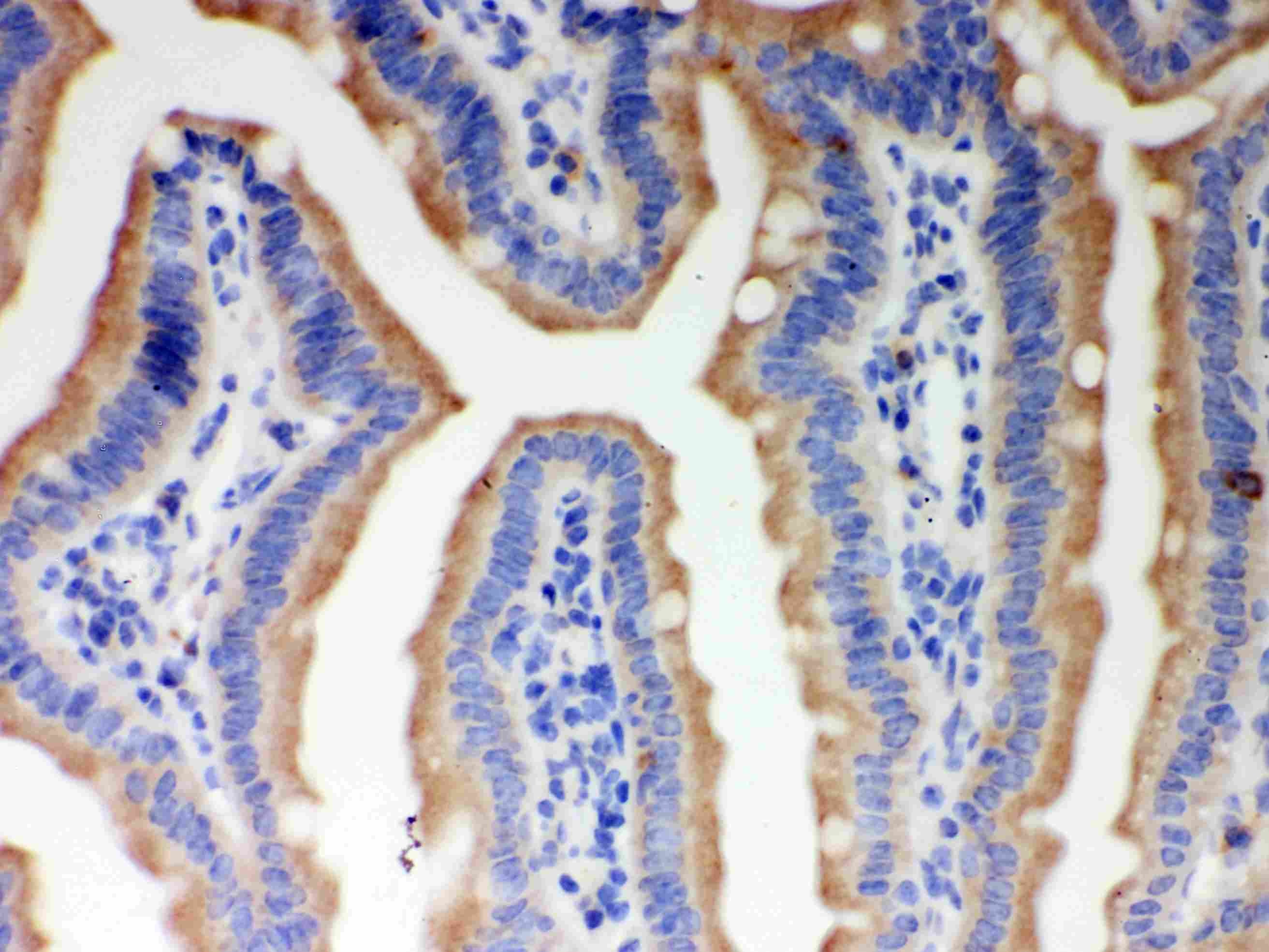
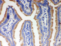
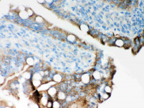
ARG58823 anti-ITPR3 / IP3R3 antibody IHC-P image
Immunohistochemistry: Paraffin-embedded Mouse intestine stained with ARG58823 anti-ITPR3 / IP3R3 antibody.
-
ARG58823 anti-ITPR3 / IP3R3 antibody WB image
Western blot: 40 µg of HeLa and SW620 cell lysates stained with ARG58823 anti-ITPR3 / IP3R3 antibody at 0.5 µg/ml dilution.
-
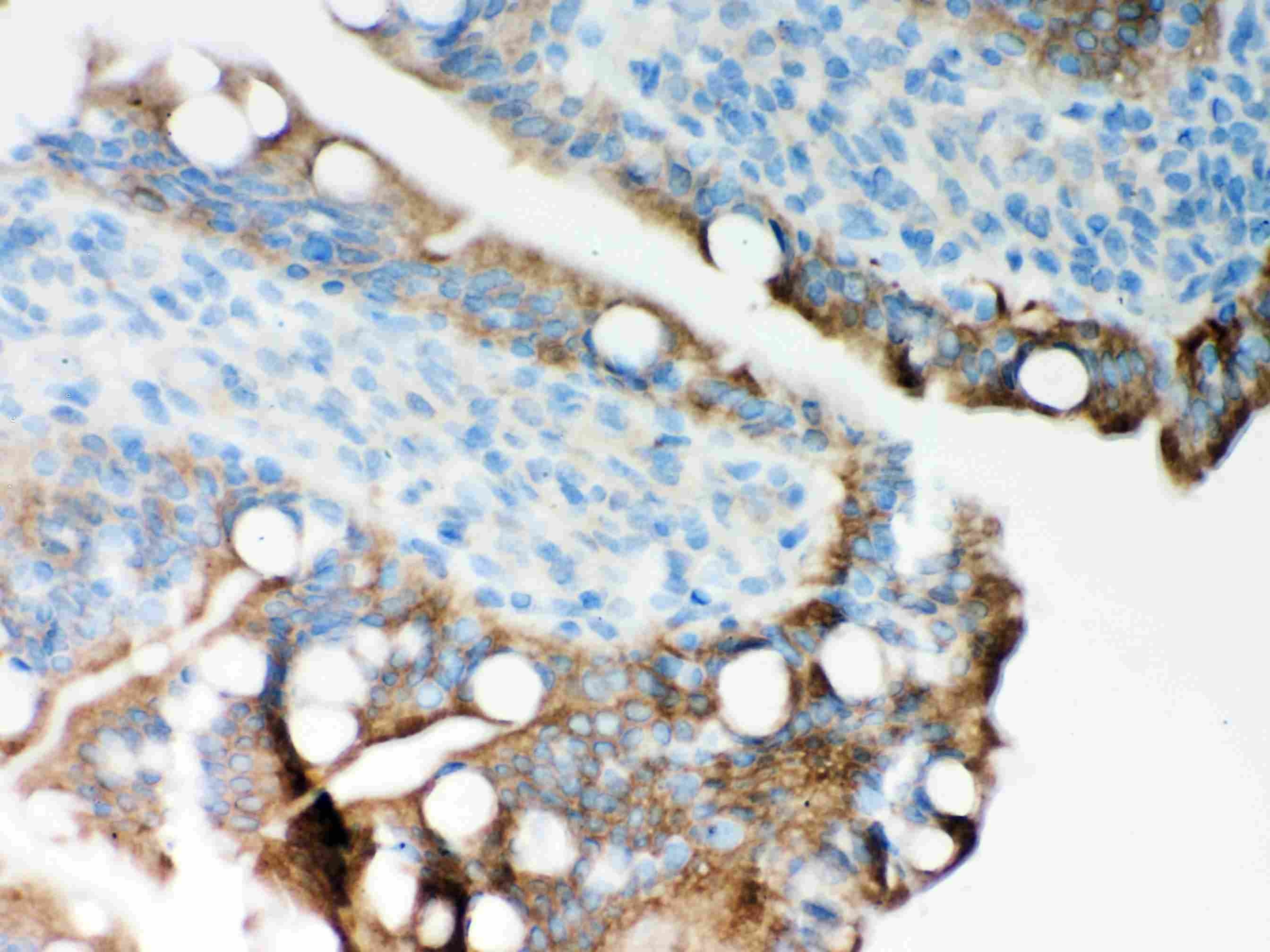
ARG58823 anti-ITPR3 / IP3R3 antibody IHC-P image
Immunohistochemistry: Paraffin-embedded Rat intestine stained with ARG58823 anti-ITPR3 / IP3R3 antibody.
-
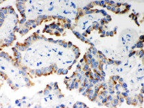
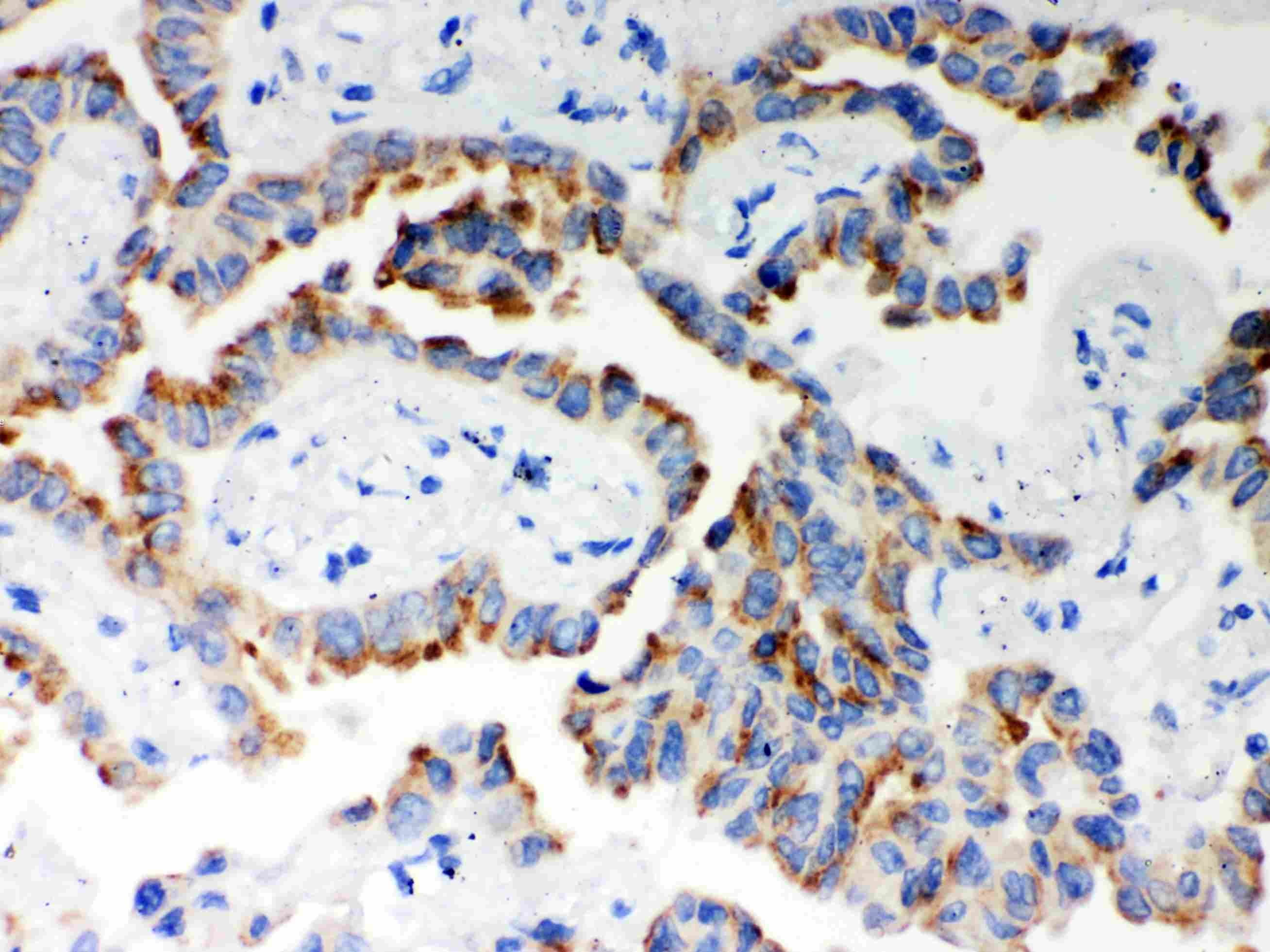
ARG58823 anti-ITPR3 / IP3R3 antibody IHC-P image
Immunohistochemistry: Paraffin-embedded Human lung cancer stained with ARG58823 anti-ITPR3 / IP3R3 antibody.
