ARG67265
anti-IgG4 antibody [SQab30381]
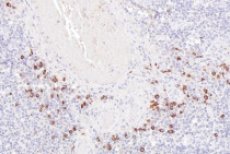
anti-IgG4 antibody [SQab30381] for IHC-Formalin-fixed paraffin-embedded sections and Human
Overview
| Product Description | Rabbit Monoclonal antibody [SQab30381] recognizes IgG4. |
|---|---|
| Tested Reactivity | Hu |
| Tested Application | IHC-P |
| Host | Rabbit |
| Clonality | Monoclonal |
| Clone | SQab30381 |
| Isotype | IgG |
| Target Name | IgG4 |
| Immunogen | Synthetic peptide. |
| Conjugation | Un-conjugated |
| Alternate Names | IGHG4; Immunoglobulin Heavy Constant Gamma 4 (G4m Marker); Immunoglobulin Heavy Chain Constant Region Gamma 4; Immunoglobulin Heavy Constant Gamma 4; Ig Gamma-4 Chain C Region |
Application Instructions
| Application Suggestion |
|
||||
|---|---|---|---|---|---|
| Application Note | * The dilutions indicate recommended starting dilutions and the optimal dilutions or concentrations should be determined by the scientist. |
Properties
| Form | Liquid |
|---|---|
| Purification | Affinity purification with immunogen. |
| Buffer | PBS, 0.01% Sodium azide, 40% Glycerol and 0.05% BSA. |
| Preservative | 0.01% Sodium azide |
| Stabilizer | 40% Glycerol and 0.05% BSA |
| Storage Instruction | For continuous use, store undiluted antibody at 2-8°C for up to a week. For long-term storage, aliquot and store at -20°C or below. Storage in frost free freezers is not recommended. Avoid repeated freeze/thaw cycles. Suggest spin the vial prior to opening. The antibody solution should be gently mixed before use. |
| Note | For laboratory research only, not for drug, diagnostic or other use. |
Bioinformation
| Database Links | |
|---|---|
| Gene Symbol | IGHG4 |
| Gene Full Name | Immunoglobulin Heavy Constant Gamma 4 (G4m Marker) |
| Background | Predicted to enable antigen binding activity and immunoglobulin receptor binding activity. Predicted to be involved in antibacterial humoral response and complement activation, classical pathway. Located in blood microparticle and extracellular exosome. [provided by Alliance of Genome Resources, Feb 2025] |
| Function | The antigen binding site is formed by the variable domain of one heavy chain, together with that of its associated light chain. Thus, each immunoglobulin has two antigen binding sites with remarkable affinity for a particular antigen. The variable domains are assembled by a process called V-(D)-J rearrangement and can then be subjected to somatic hypermutations which, after exposure to antigen and selection, allow affinity maturation for a particular antigen. [Uniprot] |
| Cellular Localization | Cell membrane, Immunoglobulin, Membrane, Secreted. [Uniprot] |
| Calculated MW | 44 kDa |
| PTM | Disulfide bond, Glycoprotein. [Uniprot] |
Images (1) Click the Picture to Zoom In
