ARG10632
anti-Influenza B Haemagglutinin antibody [InB190]
anti-Influenza B Haemagglutinin antibody [InB190] for ELISA,Indirect ELISA,Western blot and Influenza B virus
Overview
| Product Description | Mouse Monoclonal antibody [InB190] recognizes Influenza B Haemagglutinin |
|---|---|
| Tested Reactivity | Influenza B virus |
| Tested Application | ELISA, I-ELISA, WB |
| Specificity | Influenza B haemagglutinin 2 |
| Host | Mouse |
| Clonality | Monoclonal |
| Clone | InB190 |
| Isotype | IgG2b |
| Target Name | Influenza B Haemagglutinin |
| Antigen Species | Virus |
| Immunogen | Influenza B haemagglutinin 2. |
| Conjugation | Un-conjugated |
Application Instructions
| Application Suggestion |
|
||||||||
|---|---|---|---|---|---|---|---|---|---|
| Application Note | * The dilutions indicate recommended starting dilutions and the optimal dilutions or concentrations should be determined by the scientist. |
Properties
| Form | Liquid |
|---|---|
| Purification | Purification with Protein A. |
| Buffer | PBS (pH 7.4) and 0.1% Sodium azide |
| Preservative | 0.1% Sodium azide |
| Storage Instruction | For continuous use, store undiluted antibody at 2-8°C for up to a week. For long-term storage, aliquot and store at -20°C or below. Storage in frost free freezers is not recommended. Avoid repeated freeze/thaw cycles. Suggest spin the vial prior to opening. The antibody solution should be gently mixed before use. |
| Note | For laboratory research only, not for drug, diagnostic or other use. |
Bioinformation
| Gene Symbol | HA |
|---|---|
| Gene Full Name | Haemagglutinin |
Images (2) Click the Picture to Zoom In
-
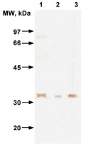
ARG10632 anti-Influenza B Haemagglutinin antibody [InB190] WB image
Western blot: Influenza B HA2 immunodetection. 1 µg of 1) Influenza B/Tokio/53/99, 2) Influenza B/Leningrad/86/93, and 3) Influenza B/Victoria/504/00 stained with ARG10632 anti-Influenza B Haemagglutinin antibody [InB190] at 3 µg/ml dilution.
-
ARG10632 anti-Influenza B Haemagglutinin antibody [InB190] I-ELISA image
Indirect ELISA: Titration curves of ARG10632 anti-Influenza B Haemagglutinin antibody [InB190] specific to HA of Influenza B virus. Antigens (0.5 µg/well): Influenza B/Tokyo/53/99, Influenza B/Leningrad/86/93, Influenza B/Victoria/504/00, Influenza A: mixture of two strains - A/Shangdong/9/93 and A/New Caledonia/20/99.
