ARG51648
anti-JAK1 phospho (Tyr1022) antibody
anti-JAK1 phospho (Tyr1022) antibody for IHC-Formalin-fixed paraffin-embedded sections,Western blot and Human,Mouse,Rat
Cancer antibody; Cell Biology and Cellular Response antibody; Cell Death antibody; Gene Regulation antibody; Signaling Transduction antibody
Overview
| Product Description | Rabbit Polyclonal antibody recognizes JAK1 phospho (Tyr1022) |
|---|---|
| Tested Reactivity | Hu, Ms, Rat |
| Tested Application | IHC-P, WB |
| Host | Rabbit |
| Clonality | Polyclonal |
| Isotype | IgG |
| Target Name | JAK1 |
| Antigen Species | Human |
| Immunogen | Peptide sequence around phosphorylation site of tyrosine 1022 (K-E-Y(p)-Y-T) derived from Human JAK1. |
| Conjugation | Un-conjugated |
| Alternate Names | JTK3; Janus kinase 1; JAK-1; Tyrosine-protein kinase JAK1; JAK1A; JAK1B; EC 2.7.10.2 |
Application Instructions
| Application Suggestion |
|
||||||
|---|---|---|---|---|---|---|---|
| Application Note | * The dilutions indicate recommended starting dilutions and the optimal dilutions or concentrations should be determined by the scientist. |
Properties
| Form | Liquid |
|---|---|
| Purification | Antibodies were produced by immunizing rabbits with KLH-conjugated synthetic phosphopeptide. Antibodies were purified by affinity-chromatography using epitope-specific phosphopeptide. In addition, non-phospho specific antibodies were removed by chromatogramphy using non-phosphopeptide. |
| Buffer | PBS (without Mg2+ and Ca2+, pH 7.4), 150mM NaCl, 0.02% Sodium azide and 50% Glycerol. |
| Preservative | 0.02% Sodium azide |
| Stabilizer | 50% Glycerol |
| Concentration | 1 mg/ml |
| Storage Instruction | For continuous use, store undiluted antibody at 2-8°C for up to a week. For long-term storage, aliquot and store at -20°C. Storage in frost free freezers is not recommended. Avoid repeated freeze/thaw cycles. Suggest spin the vial prior to opening. The antibody solution should be gently mixed before use. |
| Note | For laboratory research only, not for drug, diagnostic or other use. |
Bioinformation
| Database Links | |
|---|---|
| Gene Symbol | JAK1 |
| Gene Full Name | Janus kinase 1 |
| Background | Tyrosine kinase of the non-receptor type, involved in the IFN-alpha/beta/gamma signal pathway. Kinase partner for the interleukin (IL)-2 receptor. |
| Function | Tyrosine kinase of the non-receptor type, involved in the IFN-alpha/beta/gamma signal pathway. Kinase partner for the interleukin (IL)-2 receptor. [UniProt] |
| Research Area | Cancer antibody; Cell Biology and Cellular Response antibody; Cell Death antibody; Gene Regulation antibody; Signaling Transduction antibody |
| Calculated MW | 133 kDa |
| PTM | Autophosphorylated (PubMed:7615558). Phosphorylated on tyrosine residues in response to interferon gamma signaling (PubMed:7615558). Dephosphorylation of Tyr-1034 and Tyr-1035 by PTPN2 negatively regulates cytokine-mediated signaling (PubMed:11909529). Ubiquitinated by RNF125; leading to its degradation by the proteasome. |
Images (2) Click the Picture to Zoom In
-
ARG51648 anti-JAK1 phospho (Tyr1022) antibody WB image
Western blot: Extracts from HT29 cells untreated or treated with UV stained with ARG51648 anti-JAK1 phospho (Tyr1022) antibody.
-
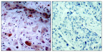
ARG51648 anti-JAK1 phospho (Tyr1022) antibody IHC-P image
Immunohistochemistry: Paraffin-embedded Human breast carcinoma tissue stained with ARG51648 anti-JAK1 phospho (Tyr1022) antibody (left) or the same antibody preincubated with blocking peptide (right).
