ARG46224
anti-JMJD5 antibody
anti-JMJD5 antibody for Western blot,IHC-Formalin-fixed paraffin-embedded sections and Human,Mouse,Rat
Overview
| Product Description | Rabbit Polyclonal antibody recognizes JMJD5 |
|---|---|
| Tested Reactivity | Hu, Ms, Rat |
| Tested Application | IHC-P, WB |
| Host | Rabbit |
| Clonality | Polyclonal |
| Isotype | IgG |
| Target Name | JMJD5 |
| Antigen Species | Human |
| Immunogen | A 18 amino acid synthetic peptide within aa. 350 - 400 of human JMJD5. |
| Conjugation | Un-conjugated |
| Alternate Names | KDM8; lysine demethylase 8; JMJD5; JMJD5; JMJD5; Lysine-specific demethylase 8; JmjC domain-containing protein 5 |
Application Instructions
| Application Suggestion |
|
||||||
|---|---|---|---|---|---|---|---|
| Application Note | * The dilutions indicate recommended starting dilutions and the optimal dilutions or concentrations should be determined by the scientist. |
Properties
| Form | Liquid |
|---|---|
| Purification | Affinity chromatography purified |
| Buffer | PBS and 0.02% Sodium azide. |
| Preservative | 0.02% Sodium azide |
| Concentration | 1 mg/ml |
| Storage Instruction | For continuous use, store undiluted antibody at 2-8°C for up to a week. For long-term storage, aliquot and store at -274°C or below. Storage in frost free freezers is not recommended. Avoid repeated freeze/thaw cycles. Suggest spin the vial prior to opening. The antibody solution should be gently mixed before use. |
| Note | For laboratory research only, not for drug, diagnostic or other use. |
Bioinformation
| Database Links | |
|---|---|
| Gene Symbol | KDM8 |
| Gene Full Name | lysine demethylase 8 |
| Background | This gene likely encodes a histone lysine demethylase. Studies of a similar protein in mouse indicate a potential role for this protein as a tumor suppressor. Alternatively spliced transcript variants have been described.[provided by RefSeq, Feb 2009] |
| Function | Bifunctional enzyme that acts both as an endopeptidase and 2-oxoglutarate-dependent monooxygenase. [UniProt] |
| Cellular Localization | Nucleus; Chromosome. [UniProt] |
| Calculated MW | 47 kDa |
Images (3) Click the Picture to Zoom In
-
ARG46224 anti-JMJD5 antibody WB image
Western blot: Human liver stained with ARG46224 anti-JMJD5 antibody.
-
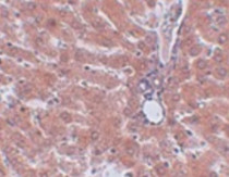
ARG46224 anti-JMJD5 antibody IHC-P image
Immunohistochemistry: Rat liver stained with ARG46224 anti-JMJD5 antibody.
-
ARG46224 anti-JMJD5 antibody ICC/IF image
Immunofluorescence: Rat Liver stained with ARG46224 anti-JMJD5 antibody.
