ARG67245
anti-Jak3 phospho (Tyr980 / 981) antibody
anti-Jak3 phospho (Tyr980 / 981) antibody for IHC-Formalin-fixed paraffin-embedded sections,Western blot and Human
Overview
| Product Description | Rabbit Polyclonal antibody recognizes Jak3 phospho (Tyr980 / 981). |
|---|---|
| Tested Reactivity | Hu |
| Predict Reactivity | Ms |
| Tested Application | IHC-P, WB |
| Specificity | This antibody detects endogenous levels of JAK3 only when phosphorylated at Tyr980 or Tyr981,and dually phosphorylated at two sites. |
| Host | Rabbit |
| Clonality | Polyclonal |
| Isotype | IgG |
| Target Name | Jak3 |
| Antigen Species | Human |
| Immunogen | Synthesized phosho peptide from Human Jak3 (phospho Tyr980 / 981) |
| Conjugation | Un-conjugated |
| Alternate Names | JAK3; Janus Kinase 3; L-JAK; JAK-3; Tyrosine-Protein Kinase JAK3; Leukocyte Janus Kinase; JAK3_HUMAN; JAKL; LJAK; EC 2.7.10.2; Janus Kinase 3 (A Protein Tyrosine Kinase, Leukocyte); EC 2.7.10 |
Application Instructions
| Application Suggestion |
|
||||||
|---|---|---|---|---|---|---|---|
| Application Note | * The dilutions indicate recommended starting dilutions and the optimal dilutions or concentrations should be determined by the scientist. |
Properties
| Form | Liquid |
|---|---|
| Purification | Affinity purification with immunogen. |
| Buffer | PBS, 0.02% Sodium azide, 50% Glycerol and 0.5% BSA. |
| Preservative | 0.02% Sodium azide |
| Stabilizer | 50% Glycerol and 0.5% BSA |
| Concentration | 1 mg/ml |
| Storage Instruction | For continuous use, store undiluted antibody at 2-8°C for up to a week. For long-term storage, aliquot and store at -20°C or below. Storage in frost free freezers is not recommended. Avoid repeated freeze/thaw cycles. Suggest spin the vial prior to opening. The antibody solution should be gently mixed before use. |
| Note | For laboratory research only, not for drug, diagnostic or other use. |
Bioinformation
| Database Links | |
|---|---|
| Gene Symbol | JAK3 |
| Gene Full Name | Janus Kinase 3 |
| Background | The protein encoded by this gene is a member of the Janus kinase (JAK) family of tyrosine kinases involved in cytokine receptor-mediated intracellular signal transduction. It is predominantly expressed in immune cells and transduces a signal in response to its activation via tyrosine phosphorylation by interleukin receptors. Mutations in this gene are associated with autosomal SCID (severe combined immunodeficiency disease). [provided by RefSeq, Jul 2008] |
| Function | Non-receptor tyrosine kinase involved in various processes such as cell growth, development, or differentiation. Mediates essential signaling events in both innate and adaptive immunity and plays a crucial role in hematopoiesis during T-cells development. In the cytoplasm, plays a pivotal role in signal transduction via its association with type I receptors sharing the common subunit gamma such as IL2R, IL4R, IL7R, IL9R, IL15R and IL21R. Following ligand binding to cell surface receptors, phosphorylates specific tyrosine residues on the cytoplasmic tails of the receptor, creating docking sites for STATs proteins. Subsequently, phosphorylates the STATs proteins once they are recruited to the receptor. Phosphorylated STATs then form homodimer or heterodimers and translocate to the nucleus to activate gene transcription. For example, upon IL2R activation by IL2, JAK1 and JAK3 molecules bind to IL2R beta (IL2RB) and gamma chain (IL2RG) subunits inducing the tyrosine phosphorylation of both receptor subunits on their cytoplasmic domain. Then, STAT5A and STAT5B are recruited, phosphorylated and activated by JAK1 and JAK3. Once activated, dimerized STAT5 translocates to the nucleus and promotes the transcription of specific target genes in a cytokine-specific fashion. [UniProt] |
| Cellular Localization | Cytoplasm, Membrane. [UniProt] |
| Calculated MW | 126 kDa |
| PTM | Phosphoprotein. [UniProt] |
Images (2) Click the Picture to Zoom In
-
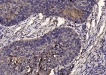
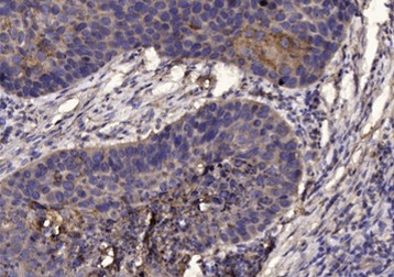
ARG67245 anti-Jak3 phospho (Tyr980 / 981) antibody IHC-P image
Immunohistochemistry: Human Squamous cell carcinoma stained with ARG67245 anti-Jak3 phospho (Tyr980 / 981) antibody at 1:200 dilution.
-
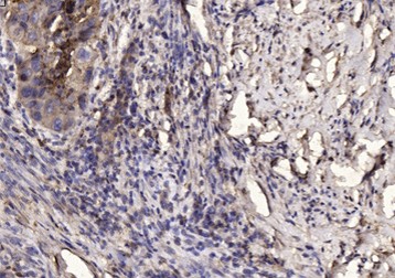
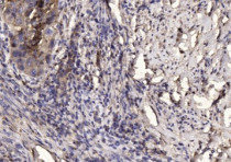
ARG67245 anti-Jak3 phospho (Tyr980 / 981) antibody IHC-P image
Immunohistochemistry: Human Squamous cell carcinoma stained with ARG67245 anti-Jak3 phospho (Tyr980 / 981) antibody at 1:200 dilution.
